Primary Antibodies
Secondary Antibodies
Proteins & Peptides
ELISA Kits
About Us
Contact Us
Sign In/Register
0
ISO 9001:2015 Certified
Live Customer Support
4.5/5 on Trustpilot
100% Quality Guarantee
Home
Primary Antibodies
PKC delta Antibodies
Anti-PRKCD Antibody (A37876)
Anti-PRKCD Antibody (A37876)
Overview
Specifications
Images
Enlarge Image
Enlarge Image
$430
Product Datasheet
Rabbit polyclonal antibody to PRKCD for WB and IHC.
100% Guarantee
Price Match Guarantee
Product Size:
100µl
Quantity:
1
2
3
4
5
6
7
8
9
10
Add To Cart
Request a Quotation
Custom or Bulk Request
Shipping Information
Freight/Packing Charges:
$40
Dispatched from St. Louis, MO.
Lead Time: 6-9 business days.
Specifications
Name
Anti-PRKCD Antibody
Description
Rabbit polyclonal antibody to PRKCD
Specificity
The antibody detects endogenous levels of total PRKCD protein.
Applications
WB
,
IHC
Reactivity
Human, Mouse
Immunogen
Fusion protein corresponding to residues near the N terminal of human protein kinase C, delta
Host
Rabbit
Clonality
Polyclonal
Conjugate
Unconjugated
Purification
Antigen affinity purification.
Concentration
1.3 mg/mL
Formulation
Supplied in PBS, pH 7.3, containing 0.05% sodium azide and 50% glycerol.
Storage
Shipped at 4°C. Upon delivery aliquot and store at -20°C. Avoid freeze/thaw cycles.
Synonyms
EC:2.7.10.2, nPKC-delta, PKCD, Protein kinase C delta type, Tyrosine-protein kinase PRKCD
Suitable Secondaries
Goat Anti-Rabbit IgG H&L Antibody (AP) (A294874)
Goat Anti-Rabbit IgG H&L Antibody (Biotin) (A294795)
Goat Anti-Rabbit IgG H&L Antibody (FITC) (A294887)
Goat Anti-Rabbit IgG H&L Antibody (HRP) (A294888)
See all Anti-Rabbit IgG Secondaries →
Disclaimer
This product is for research use only. It is not intended for diagnostic or therapeutic use.
Scientific Validation Data
Validation Data
(2)
Enlarge Image
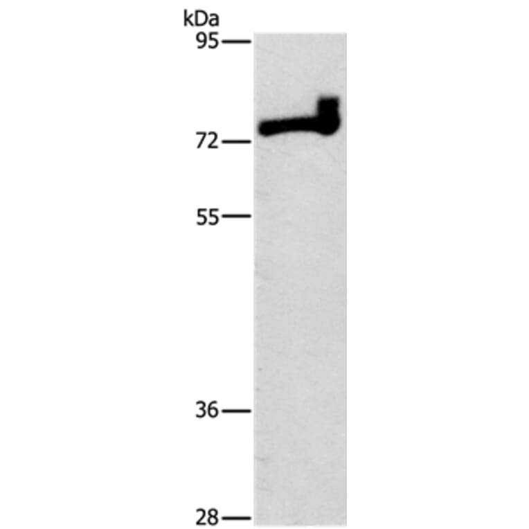
Anti-PRKCD Antibody (A37876)
Gel: 6%SDS-PAGE Lysates (from left to right): Mouse brain tissue Amount of lysate: 40ug per lane Primary antibody: 1/325 dilution Secondary antibody dilution: 1/8000 Exposure time: 20 seconds
Enlarge Image
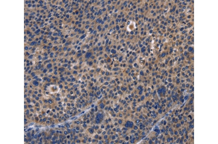
Immunohistochemistry - Anti-PRKCD Antibody (A37876)
Immunohistochemical analysis of paraffin-embedded Human liver cancer tissue using #36186 at dilution 1/30.
Publishing research using Anti-PRKCD Antibody (A37876)? Please
let us know
so that we can list the citation on this page.
Alternative products to Anti-PRKCD Antibody (A37876)
(5)
A8410
Anti-PKC delta Antibody
Rabbit polyclonal antibody to PKC delta for WB, IHC and ICC/IF.
(3)
A93462
Anti-PKC delta (phospho Thr505) Antibody
Rabbit polyclonal antibody to PKC delta (phospho Thr505) for WB, IHC, IF and ELISA.
(4)
A94472
Anti-PKC delta (phospho Ser645) Antibody
Rabbit polyclonal antibody to PKC delta (phospho Ser645) for WB, IHC, IF and ELISA.
(3)
A94791
Anti-PKC delta (phospho Tyr52) Antibody
Rabbit polyclonal antibody to PKC delta (phospho Tyr52) for WB, IHC, IF and ELISA.
(4)
A308143
Anti-PKC delta Antibody [ARC1434]
Rabbit monoclonal [ARC1434] antibody to PKC delta for WB, IHC and ICC/IF.
(2)
A93461
Anti-PKC delta (phospho Tyr313) Antibody
Rabbit polyclonal antibody to PKC delta (phospho Tyr313) for WB, IHC, IF and ELISA.
(2)
A95176
Anti-PKC delta Antibody
Rabbit polyclonal antibody to PKC delta for WB,IHC-p,IF(paraffin section) and ELISA.
(2)
A98566
Anti-PKC delta Antibody
Rabbit polyclonal antibody to PKC delta for WB, IHC, IF and ELISA.
A8257
Anti-PKC delta Antibody [K15-K]
Rabbit monoclonal (K15-K) antibody to PKC delta for WB, ELISA, IP and ICC.
(3)
A34696
Anti-PKCd (Ab-645) Antibody
Rabbit polyclonal antibody to PKCd (Ab-645) for WB, IHC and ICC/IF.
A94269
Anti-PKCD (phospho Tyr64) Antibody
Rabbit polyclonal antibody to PKCD (phospho Tyr64) for WB and IHC.
(2)
A50469
Anti-PKCd (Phospho-Ser645) Antibody
Rabbit polyclonal antibody to PKCd (Phospho-Ser645) for WB and IHC.
(5)
A8410
Anti-PKC delta Antibody
Rabbit polyclonal antibody to PKC delta for WB, IHC and ICC/IF.
(3)
A93462
Anti-PKC delta (phospho Thr505) Antibody
Rabbit polyclonal antibody to PKC delta (phospho Thr505) for WB, IHC, IF and ELISA.
(4)
A94472
Anti-PKC delta (phospho Ser645) Antibody
Rabbit polyclonal antibody to PKC delta (phospho Ser645) for WB, IHC, IF and ELISA.
(3)
A94791
Anti-PKC delta (phospho Tyr52) Antibody
Rabbit polyclonal antibody to PKC delta (phospho Tyr52) for WB, IHC, IF and ELISA.
(4)
A308143
Anti-PKC delta Antibody [ARC1434]
Rabbit monoclonal [ARC1434] antibody to PKC delta for WB, IHC and ICC/IF.
(2)
A93461
Anti-PKC delta (phospho Tyr313) Antibody
Rabbit polyclonal antibody to PKC delta (phospho Tyr313) for WB, IHC, IF and ELISA.
(2)
A95176
Anti-PKC delta Antibody
Rabbit polyclonal antibody to PKC delta for WB,IHC-p,IF(paraffin section) and ELISA.
(2)
A98566
Anti-PKC delta Antibody
Rabbit polyclonal antibody to PKC delta for WB, IHC, IF and ELISA.
A8257
Anti-PKC delta Antibody [K15-K]
Rabbit monoclonal (K15-K) antibody to PKC delta for WB, ELISA, IP and ICC.
(3)
A34696
Anti-PKCd (Ab-645) Antibody
Rabbit polyclonal antibody to PKCd (Ab-645) for WB, IHC and ICC/IF.
A94269
Anti-PKCD (phospho Tyr64) Antibody
Rabbit polyclonal antibody to PKCD (phospho Tyr64) for WB and IHC.
(2)
A50469
Anti-PKCd (Phospho-Ser645) Antibody
Rabbit polyclonal antibody to PKCd (Phospho-Ser645) for WB and IHC.
See all PRKCD Antibodies
Proteins predicted to interact with PKC delta
Predicted protein interactions based upon String database. Revelancy score correlates with probability of interaction.
Src Antibodies
98.3% Relevancy Score
PKC alpha Antibodies
96.7% Relevancy Score
p47phox Antibodies
96.6% Relevancy Score
PKC beta Antibodies
96.6% Relevancy Score
PI3 Kinase p110 beta Antibodies
96.6% Relevancy Score
IRS1 Antibodies
96.2% Relevancy Score
CARD9 Antibodies
95.5% Relevancy Score
MARCKS Antibodies
95.2% Relevancy Score
RIP4 Antibodies
94.9% Relevancy Score
Top