Primary Antibodies
Secondary Antibodies
Proteins & Peptides
ELISA Kits
About Us
Contact Us
Sign In/Register
0
ISO 9001:2015 Certified
Live Customer Support
4.5/5 on Trustpilot
100% Quality Guarantee
Home
Primary Antibodies
PKM2 Antibodies
Anti-PKM Antibody (A47249)
Anti-PKM Antibody (A47249)
Overview
Specifications
Images
Enlarge Image
Enlarge Image
$430
Product Datasheet
Rabbit polyclonal antibody to PKM for IHC.
100% Guarantee
Price Match Guarantee
Product Size:
100µl
Quantity:
1
2
3
4
5
6
7
8
9
10
Add To Cart
Request a Quotation
Custom or Bulk Request
Shipping Information
Freight/Packing Charges:
$40
Dispatched from St. Louis, MO.
Lead Time: 6-9 business days.
Specifications
Name
Anti-PKM Antibody
Description
Rabbit polyclonal antibody to PKM
Specificity
The antibody detects endogenous levels of total PKM protein.
Applications
IHC
Reactivity
Human, Mouse
Immunogen
Synthetic peptide of human pyruvate kinase, muscle
Host
Rabbit
Clonality
Polyclonal
Conjugate
Unconjugated
Purification
Antigen affinity purification.
Concentration
1.7 mg/mL
Formulation
Rabbit IgG in pH7.4 PBS, 0.05% NaN3, 40% Glycerol.
Storage
Shipped at 4°C. Upon delivery aliquot and store at -20°C. Avoid freeze/thaw cycles.
Synonyms
CTHBP, Cytosolic thyroid hormone-binding protein, OIP-3, OIP3, Opa-interacting protein 3, PK2, PK3, Pyruvate kinase 2/3, Pyruvate kinase muscle isozyme, Pyruvate kinase PKM, Threonine-protein kinase PKM2
Suitable Secondaries
Goat Anti-Rabbit IgG H&L Antibody (AP) (A294874)
Goat Anti-Rabbit IgG H&L Antibody (Biotin) (A294795)
Goat Anti-Rabbit IgG H&L Antibody (FITC) (A294887)
Goat Anti-Rabbit IgG H&L Antibody (HRP) (A294888)
See all Anti-Rabbit IgG Secondaries →
Disclaimer
This product is for research use only. It is not intended for diagnostic or therapeutic use.
Scientific Validation Data
Validation Data
(2)
Enlarge Image
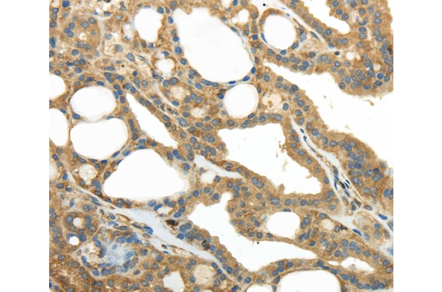
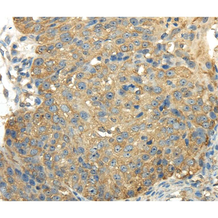
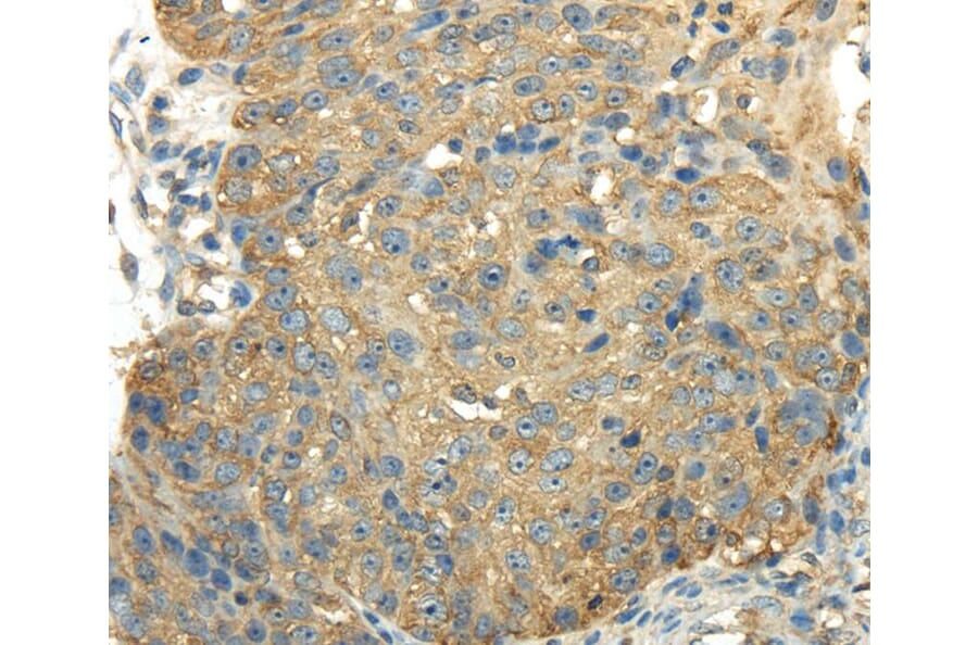
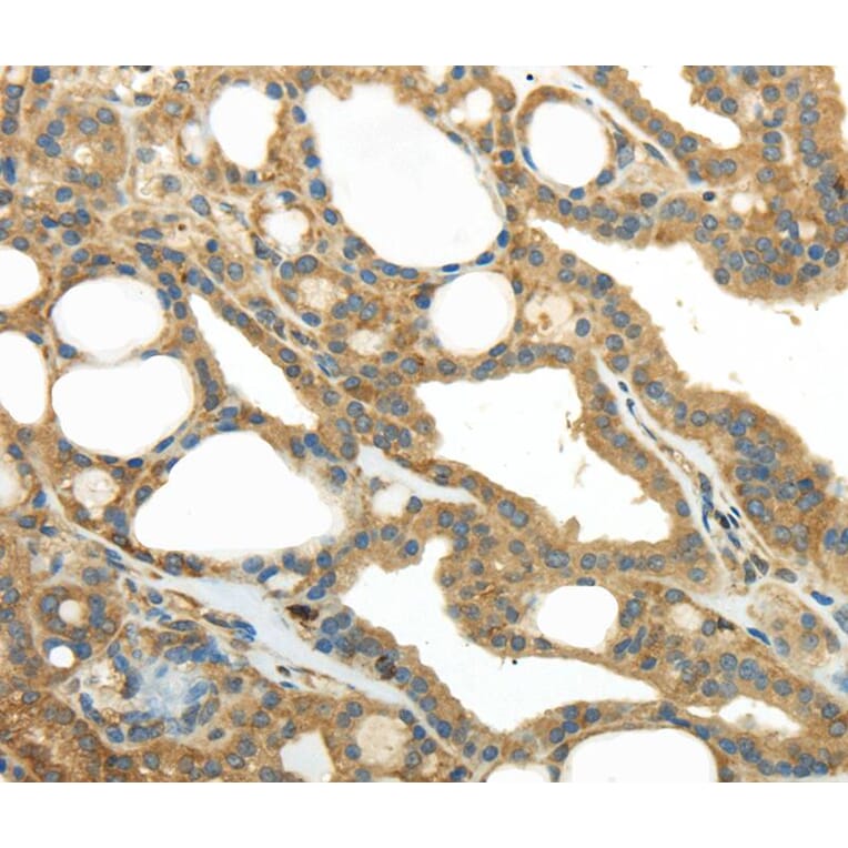
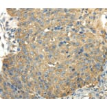
Immunohistochemistry - Anti-PKM Antibody (A47249)
Immunohistochemical analysis of paraffin-embedded Human breast cancer tissue using #40306 at dilution 1/25.
Enlarge Image
Immunohistochemistry - Anti-PKM Antibody (A47249)
Immunohistochemical analysis of paraffin-embedded Human thyroid cancer tissue using #40306 at dilution 1/25.
Publishing research using Anti-PKM Antibody (A47249)? Please
let us know
so that we can list the citation on this page.
Alternative products to Anti-PKM Antibody (A47249)
(6)
A97964
Anti-PKM2 Antibody
Rabbit polyclonal antibody to PKM2 for IF, WB, IHC and ELISA.
(6)
A306113
Anti-PKM Antibody
Rabbit polyclonal antibody to PKM for WB, IHC and ICC/IF.
(6)
A90814
Anti-PKM Antibody
Rabbit polyclonal antibody to PKM for WB, IHC and ICC/IF.
(3)
A29710
Anti-PKM2 Antibody
Rabbit polyclonal antibody to PKM2 for WB, IHC, IF, IP and RIP.
(5)
A35438
Anti-PKM2 Antibody
Rabbit polyclonal antibody to PKM2 for WB, IHC and ICC/IF.
(4)
A306602
Anti-PKM Antibody
Rabbit polyclonal antibody to PKM for WB and ICC/IF.
(2)
A50567
Anti-PKM2 (phospho-Ser37) Antibody
Rabbit polyclonal antibody to PKM2 (phospho-Ser37) for WB and ICC/IF.
(2)
A12588
Anti-PKM2 Antibody
Rabbit polyclonal antibody to PKM2 for WB, ICC/IF and ELISA.
(2)
A32557
Anti-PKM2 (1F2) Antibody
Mouse monoclonal antibody to PKM2 (1F2) for WB and IF.
(2)
A306112
Anti-PKM Antibody [ARC50938]
Rabbit monoclonal [ARC50938] antibody to PKM for WB.
A348615
Anti-PKM2 Antibody [25GB2170]
Recombinant rabbit monoclonal [25GB2170] antibody to PKM2 for WB, Flow Cytometry and ICC/IF.
A348616
Anti-PKM2 Antibody [23GB2920]
Recombinant rabbit monoclonal [23GB2920] antibody to PKM2 for WB, Flow Cytometry and ICC/IF.
(6)
A97964
Anti-PKM2 Antibody
Rabbit polyclonal antibody to PKM2 for IF, WB, IHC and ELISA.
(6)
A306113
Anti-PKM Antibody
Rabbit polyclonal antibody to PKM for WB, IHC and ICC/IF.
(6)
A90814
Anti-PKM Antibody
Rabbit polyclonal antibody to PKM for WB, IHC and ICC/IF.
(3)
A29710
Anti-PKM2 Antibody
Rabbit polyclonal antibody to PKM2 for WB, IHC, IF, IP and RIP.
(5)
A35438
Anti-PKM2 Antibody
Rabbit polyclonal antibody to PKM2 for WB, IHC and ICC/IF.
(4)
A306602
Anti-PKM Antibody
Rabbit polyclonal antibody to PKM for WB and ICC/IF.
(2)
A50567
Anti-PKM2 (phospho-Ser37) Antibody
Rabbit polyclonal antibody to PKM2 (phospho-Ser37) for WB and ICC/IF.
(2)
A12588
Anti-PKM2 Antibody
Rabbit polyclonal antibody to PKM2 for WB, ICC/IF and ELISA.
(2)
A32557
Anti-PKM2 (1F2) Antibody
Mouse monoclonal antibody to PKM2 (1F2) for WB and IF.
(2)
A306112
Anti-PKM Antibody [ARC50938]
Rabbit monoclonal [ARC50938] antibody to PKM for WB.
A348615
Anti-PKM2 Antibody [25GB2170]
Recombinant rabbit monoclonal [25GB2170] antibody to PKM2 for WB, Flow Cytometry and ICC/IF.
A348616
Anti-PKM2 Antibody [23GB2920]
Recombinant rabbit monoclonal [23GB2920] antibody to PKM2 for WB, Flow Cytometry and ICC/IF.
See all PKM Antibodies
Proteins predicted to interact with PKM2
Predicted protein interactions based upon String database. Revelancy score correlates with probability of interaction.
LDHA Antibodies
99.7% Relevancy Score
ENO1 Antibodies
99.7% Relevancy Score
beta Catenin Antibodies
99.6% Relevancy Score
HIF-1 alpha Antibodies
99.6% Relevancy Score
NSE Antibodies
98.9% Relevancy Score
ENO3 Antibodies
98.9% Relevancy Score
GPI Antibodies
98.6% Relevancy Score
Aldolase Antibodies
98.3% Relevancy Score
LDHC Antibodies
98.3% Relevancy Score
Top