ISO 9001:2015 Certified
Live Customer Support
4.5/5 on Trustpilot
100% Quality Guarantee

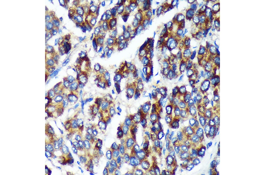
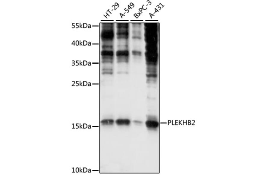
Anti-PLEKHB2 Antibody (A88394)

Rabbit polyclonal antibody to PLEKHB2 for WB and IHC.

Shipping Information

$40
Dispatched from St. Louis, MO.
Lead Time: 7-10 business days.
Name
Anti-PLEKHB2 Antibody
Description
Rabbit polyclonal antibody to PLEKHB2.
Applications
WB, IHC
Dilutions
WB: 1:200-1:2,000, IHC: 1:50-1:200
Reactivity
Human
Immunogen
Recombinant fusion protein containing a sequence corresponding to amino acids 1-222 of human PLEKHB2 (NP_001094093.1).
Sequence
MAFVKSGWLLRQSTILKRWKKNWFDLWSDGHLIYYDDQTRQNIEDKVHMPMDCINIRTGQECRDTQPPDGKSKDCMLQIVCRDGKTISLCAESTDDCLAWKFTLQDSRTNTAYVGSAVMTDETSVVSSPPPYTAYAAPAPEQAYGYGPYGGAYPPGTQVVYAANGQAYAVPYQYPYAGLYGQQPANQVIIRERYRDNDSDLALGMLAGAATGMALGSLFWVF
Host
Rabbit
Clonality
Polyclonal
Isotype
IgG
Conjugate

Unconjugated

Purification
Affinity purification.
Concentration
Lot Specific
Molecular Weight
15 kDa
Product Form
Liquid
Formulation
Supplied in Phosphate Buffered Saline, pH 7.3, with 50% Glycerol and 0.01% Thiomersal.
Storage
Shipped at 4°C. Upon delivery aliquot and store at -20°C. Avoid freeze/thaw cycles.
Synonyms
Evectin-2, EVT2, PH domain-containing family B member 2, Pleckstrin homology domain-containing family B member 2
Disclaimer
This product is for research use only. It is not intended for diagnostic or therapeutic use.
Publishing research using Anti-PLEKHB2 Antibody (A88394)? Please let us know so that we can list the citation on this page.

Proteins predicted to interact with PLEKHB2

Predicted protein interactions based upon String database. Revelancy score correlates with probability of interaction.
60.2% Relevancy Score
59.9% Relevancy Score
37.1% Relevancy Score
35.6% Relevancy Score
35% Relevancy Score
34.7% Relevancy Score
34.7% Relevancy Score
33.5% Relevancy Score
32.6% Relevancy Score