Western Blot - Anti-PMS2 Antibody [ARC2479] (A309444)
Western blot analysis of extracts of Jurkat cells, using Anti-PMS2 Antibody [ARC2479] (A309444) at 1:1,000 dilution. The secondary antibody was Goat Anti-Rabbit IgG H&L Antibody (HRP) at 1:10,000 dilution. Lysates/proteins were present at 25µg per lane. The blocking buffer used was 3% non-fat dry milk in TBST. Detection was with a ECL Basic Kit. Exposure time: 10s.
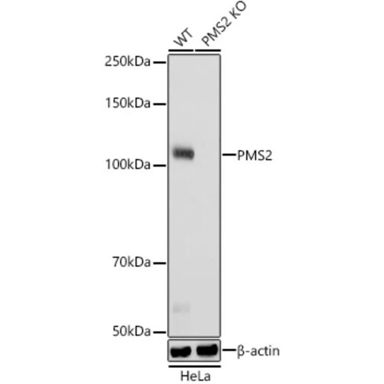
Western Blot - Anti-PMS2 Antibody [ARC2479] (A309444)
Western blot analysis of extracts from wild type (WT) and PMS2 knockout (KO) HeLa cells, using Anti-PMS2 Antibody [ARC2479] (A309444) at 1:1,000 dilution. The secondary antibody was Goat Anti-Rabbit IgG H&L Antibody (HRP) at 1:10,000 dilution. Lysates/proteins were present at 25µg per lane. The blocking buffer used was 3% non-fat dry milk in TBST. Detection was with a ECL Basic Kit. Exposure time: 10s.
Immunohistochemistry analysis of paraffin-embedded human appendix tissue using Anti-PMS2 Antibody [ARC2479] (A309444) at a dilution of 1:200 (40x lens). Perform microwave antigen retrieval with 10 mM Tris/EDTA buffer pH 9.0 before commencing with IHC staining protocol.
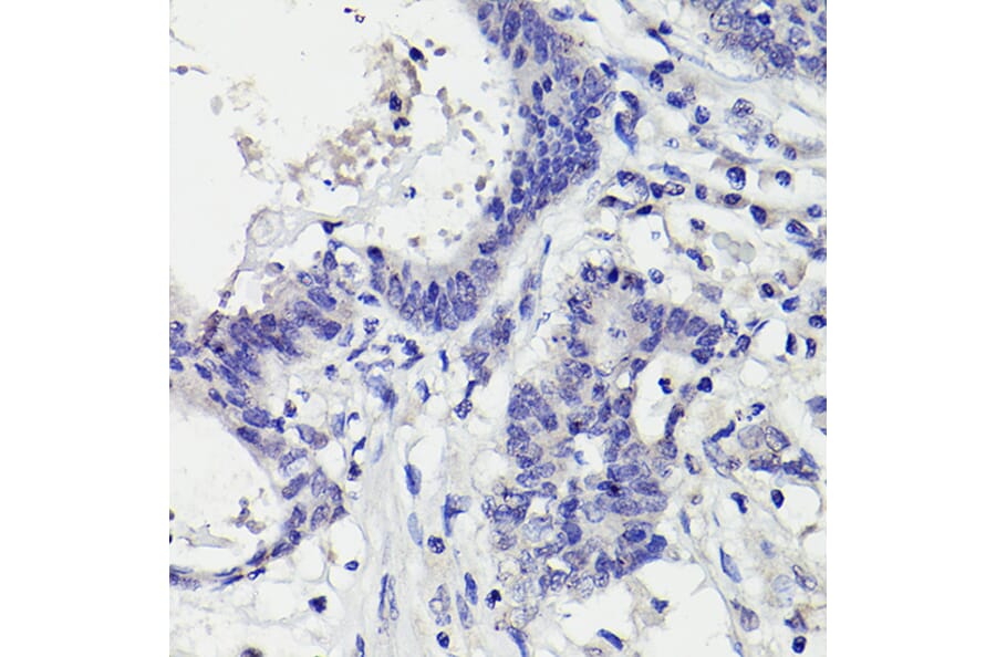
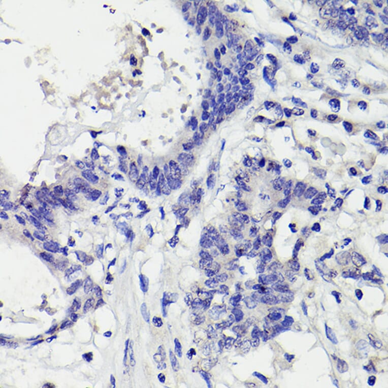
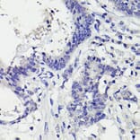
Immunohistochemistry analysis of paraffin-embedded human colon cancer loss of PMS2 expression (negative control samples) using Anti-PMS2 Antibody [ARC2479] (A309444) at a dilution of 1:200 (40x lens). Perform microwave antigen retrieval with 10 mM Tris/EDTA buffer pH 9.0 before commencing with IHC staining protocol.
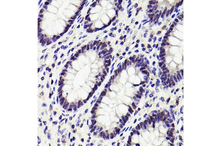
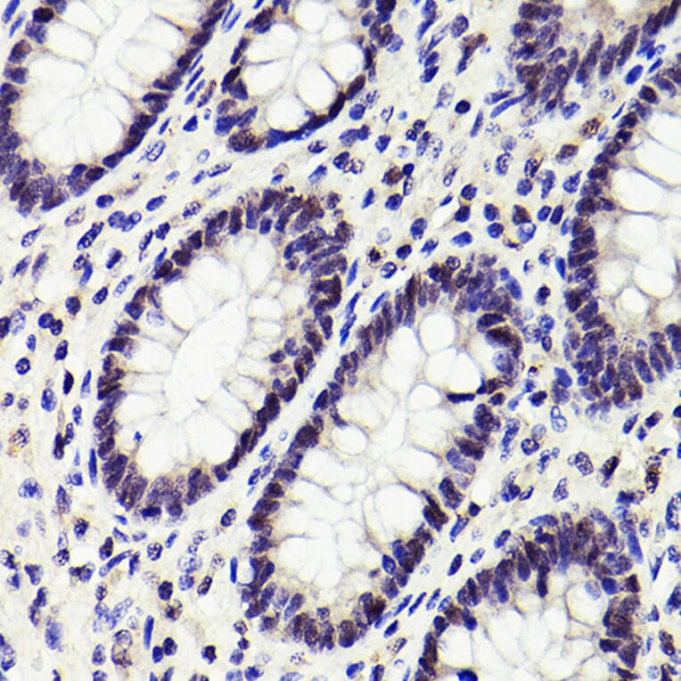
Immunohistochemistry analysis of paraffin-embedded human colon carcinoma tissue using Anti-PMS2 Antibody [ARC2479] (A309444) at a dilution of 1:200 (40x lens). Perform microwave antigen retrieval with 10 mM Tris/EDTA buffer pH 9.0 before commencing with IHC staining protocol.
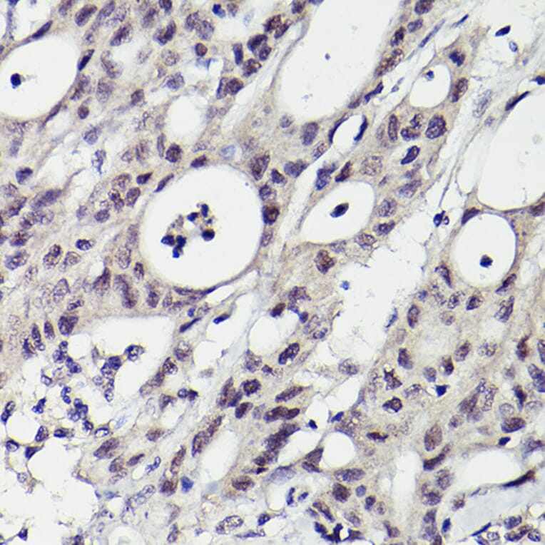
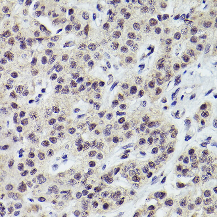
Immunohistochemistry analysis of paraffin-embedded human pancreas using Anti-PMS2 Antibody [ARC2479] (A309444) at a dilution of 1:200 (40x lens). Perform microwave antigen retrieval with 10 mM Tris/EDTA buffer pH 9.0 before commencing with IHC staining protocol.
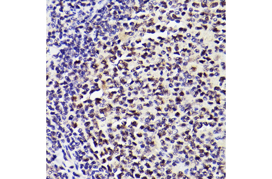
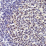
Immunohistochemistry analysis of paraffin-embedded human tonsil using Anti-PMS2 Antibody [ARC2479] (A309444) at a dilution of 1:200 (40x lens). Perform microwave antigen retrieval with 10 mM Tris/EDTA buffer pH 9.0 before commencing with IHC staining protocol.