ISO 9001:2015 Certified
Live Customer Support
4.5/5 on Trustpilot
100% Quality Guarantee

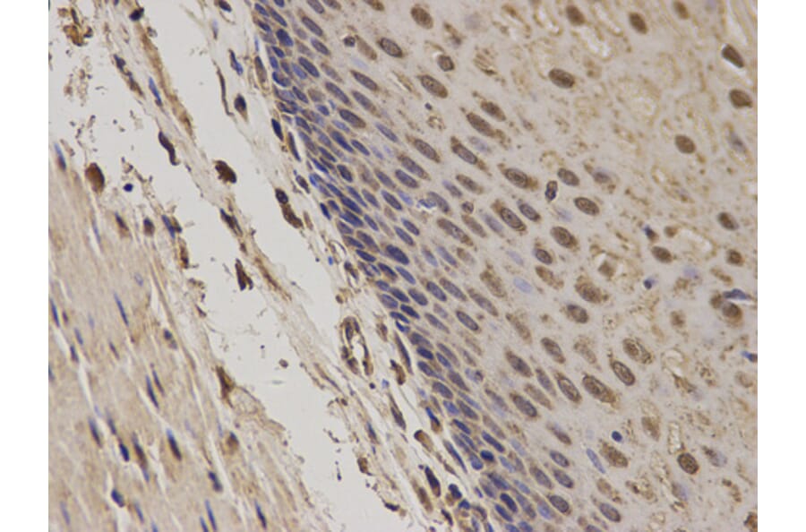
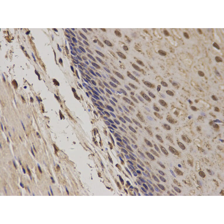
Anti-POLR2E Antibody (A30401)

$435

Rabbit polyclonal antibody to POLR2E for WB and IHC.

Shipping Information

$40
Dispatched from St. Louis, MO.
Lead Time: 7-10 business days.
Name
Anti-POLR2E Antibody
Description
Rabbit polyclonal antibody to POLR2E
Specificity
POLR2E pAb detects endogenous levels of POLR2E protein.
Applications
WB, IHC
Reactivity
Human, Mouse, Rat
Immunogen
Recombinant full length Human POLR2E.
Host
Rabbit
Clonality
Polyclonal
Conjugate

Unconjugated

Molecular Weight
~ 25 kDa
Purity
The antibody was affinity-purified from rabbit antiserum by affinity-chromatography using epitope-specific immunogen and the purity is > 95% (by SDS-PAGE).
Product Form
1mg/ml in PBS with 0.1% Sodium Azide, 50% Glycerol.
Synonyms
DNA-directed RNA polymerase II 23 kDa polypeptide, DNA-directed RNA polymerase II subunit E, DNA-directed RNA polymerases I, II, and III subunit RPABC1, RNA polymerases I, II, and III subunit ABC1, RPB5 homolog, XAP4
Disclaimer
This product is for research use only. It is not intended for diagnostic or therapeutic use.
Publishing research using Anti-POLR2E Antibody (A30401)? Please let us know so that we can list the citation on this page.

Alternative products to Anti-POLR2E Antibody (A30401)

Proteins predicted to interact with RPB5

Predicted protein interactions based upon String database. Revelancy score correlates with probability of interaction.
99.9% Relevancy Score
99.9% Relevancy Score
99.9% Relevancy Score
99.9% Relevancy Score
99.9% Relevancy Score
99.9% Relevancy Score