ISO 9001:2015 Certified
Live Customer Support
4.5/5 on Trustpilot
100% Quality Guarantee

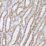
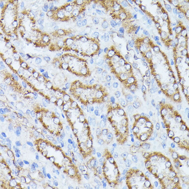
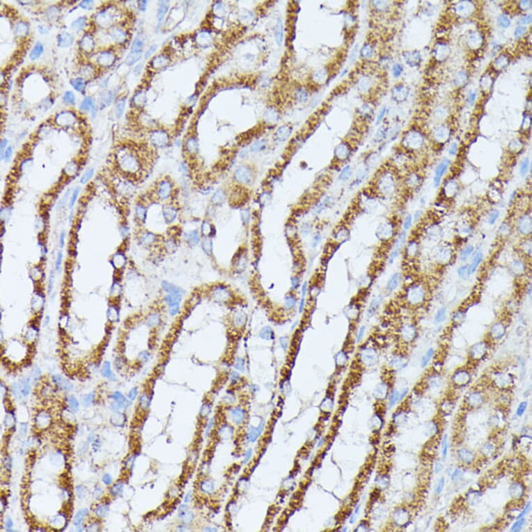
Anti-PPP2CB Antibody (A14364)

Rabbit polyclonal antibody to PPP2CB for WB, IHC and ICC/IF.

Shipping Information

$40
Dispatched from St. Louis, MO.
Lead Time: 7-10 business days.
Name
Anti-PPP2CB Antibody
Description
Rabbit polyclonal antibody to PPP2CB.
Applications
WB, IHC, ICC/IF
Dilutions
WB: 1:500-1:2,000, IHC: 1:100-1:200, ICC/IF: 1:50-1:200
Reactivity
Human, Mouse, Rat
Immunogen
Recombinant fusion protein containing a sequence corresponding to amino acids 1-309 of human PP2A Catalytic ß (NP_001009552.1).
Sequence
MDDKAFTKELDQWVEQLNECKQLNENQVRTLCEKAKEILTKESNVQEVRCPVTVCGDVHGQFHDLMELFRIGGKSPDTNYLFMGDYVDRGYYSVETVTLLVALKVRYPERITILRGNHESRQITQVYGFYDECLRKYGNANVWKYFTDLFDYLPLTALVDGQIFCLHGGLSPSIDTLDHIRALDRLQEVPHEGPMCDLLWSDPDDRGGWGISPRGAGYTFGQDISETFNHANGLTLVSRAHQLVMEGYNWCHDRNVVTIFSAPNYCYRCGNQAAIMELDDTLKYSFLQFDPAPRRGEPHVTRRTPDYFL
Host
Rabbit
Clonality
Polyclonal
Isotype
IgG
Conjugate

Unconjugated

Purification
Affinity purification.
Concentration
Lot Specific
Molecular Weight
36 kDa
Product Form
Liquid
Formulation
Supplied in Phosphate Buffered Saline, pH 7.3, with 50% Glycerol and 0.01% Thiomersal.
Storage
Shipped at 4°C. Upon delivery aliquot and store at -20°C. Avoid freeze/thaw cycles.
Synonyms
PP2A-beta, Serine/threonine-protein phosphatase 2A catalytic subunit beta isoform
Disclaimer
This product is for research use only. It is not intended for diagnostic or therapeutic use.
Publishing research using Anti-PPP2CB Antibody (A14364)? Please let us know so that we can list the citation on this page.

Alternative products to Anti-PPP2CB Antibody (A14364)

Proteins predicted to interact with PPP2CB

Predicted protein interactions based upon String database. Revelancy score correlates with probability of interaction.
99.9% Relevancy Score
99.9% Relevancy Score
99.9% Relevancy Score
99.9% Relevancy Score
99.8% Relevancy Score
99.7% Relevancy Score
99.7% Relevancy Score
99.6% Relevancy Score
99.5% Relevancy Score