ISO 9001:2015 Certified
Live Customer Support
4.5/5 on Trustpilot
100% Quality Guarantee

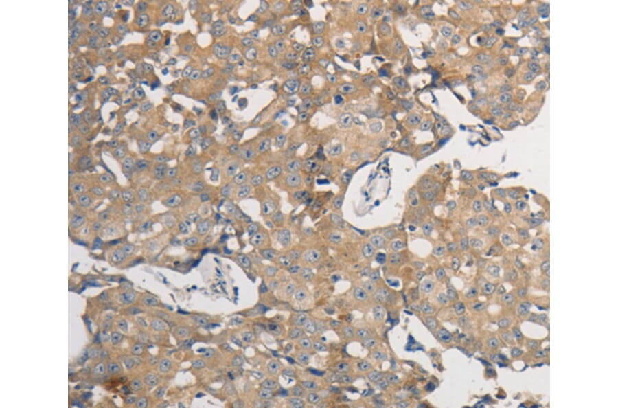
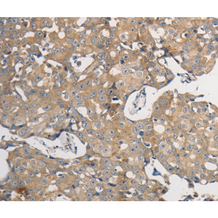
Anti-PPP2CB Antibody (A30702)

$435

Rabbit polyclonal antibody to PPP2CB for WB and IHC.

Shipping Information

$40
Dispatched from St. Louis, MO.
Lead Time: 7-10 business days.
Name
Anti-PPP2CB Antibody
Description
Rabbit polyclonal antibody to PPP2CB
Specificity
PPP2CB pAb detects endogenous levels of PPP2CB protein.
Applications
WB, IHC
Reactivity
Human, Mouse, Rat
Immunogen
Recombinant full length Human PPP2CB.
Host
Rabbit
Clonality
Polyclonal
Conjugate

Unconjugated

Molecular Weight
~36 kDa
Purity
The antibody was affinity-purified from rabbit antiserum by affinity-chromatography using epitope-specific immunogen and the purity is > 95% (by SDS-PAGE).
Product Form
1mg/ml in PBS with 0.1% Sodium Azide, 50% Glycerol.
Synonyms
PP2A-beta, Serine/threonine-protein phosphatase 2A catalytic subunit beta isoform
Disclaimer
This product is for research use only. It is not intended for diagnostic or therapeutic use.
Publishing research using Anti-PPP2CB Antibody (A30702)? Please let us know so that we can list the citation on this page.

Alternative products to Anti-PPP2CB Antibody (A30702)

Proteins predicted to interact with PPP2CB

Predicted protein interactions based upon String database. Revelancy score correlates with probability of interaction.
99.9% Relevancy Score
99.9% Relevancy Score
99.9% Relevancy Score
99.9% Relevancy Score
99.8% Relevancy Score
99.7% Relevancy Score
99.7% Relevancy Score
99.6% Relevancy Score
99.5% Relevancy Score