ISO 9001:2015 Certified
Live Customer Support
4.5/5 on Trustpilot
100% Quality Guarantee

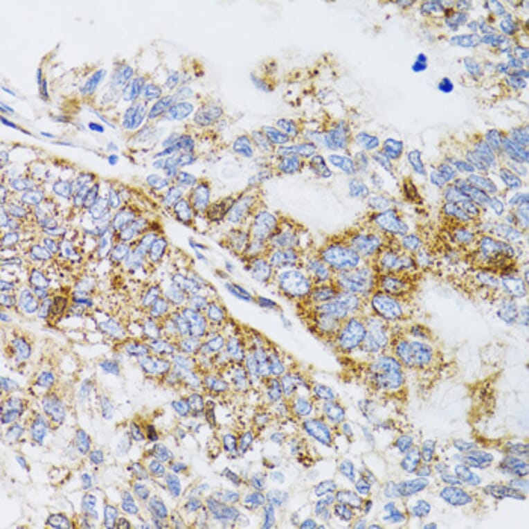
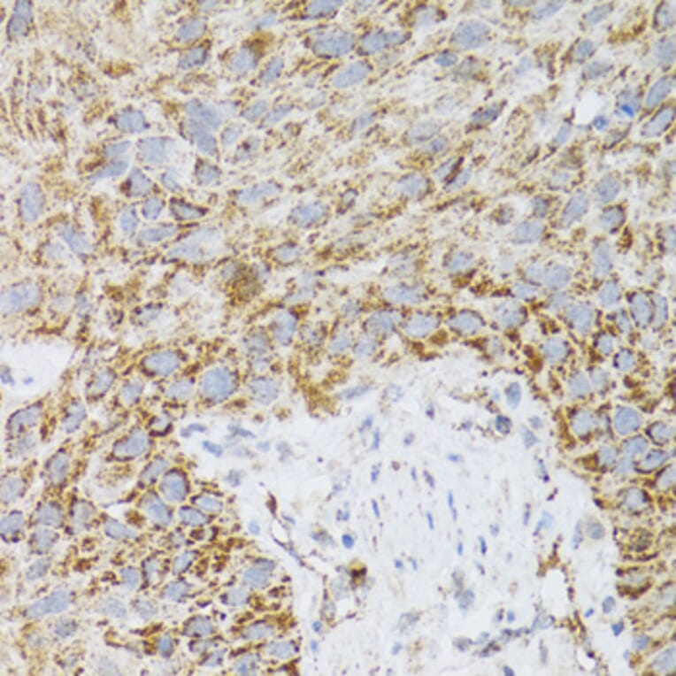
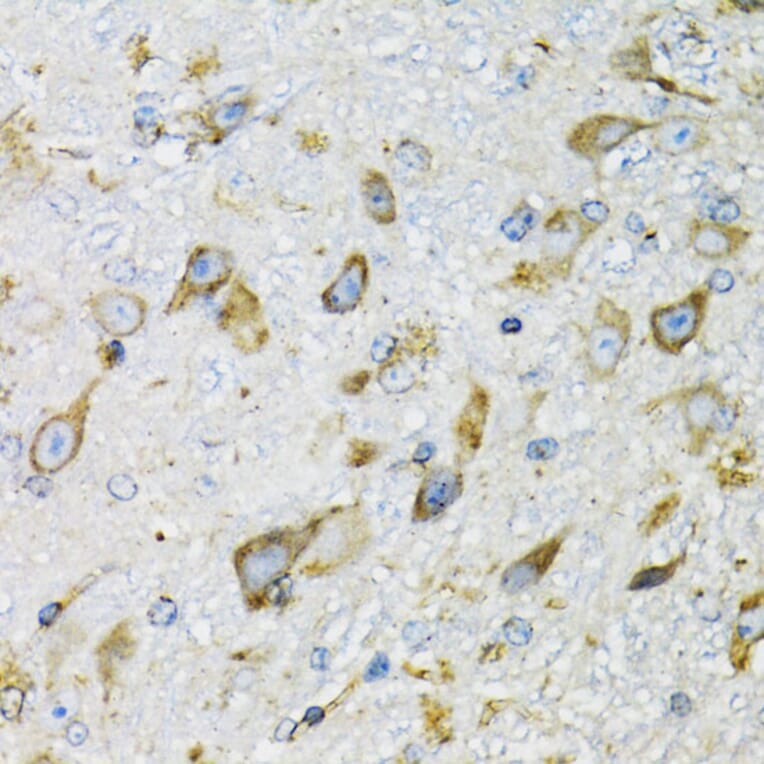
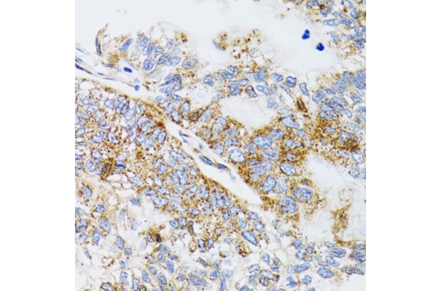
Anti-ProDynorphin Antibody (A9754)

Rabbit polyclonal antibody to ProDynorphin for WB and IHC.

Shipping Information

$40
Dispatched from St. Louis, MO.
Lead Time: 7-10 business days.
Name
Anti-ProDynorphin Antibody
Description
Rabbit polyclonal antibody to ProDynorphin.
Applications
WB, IHC
Dilutions
WB: 1:500-1:2,000, IHC: 1:50-1:200
Reactivity
Human, Mouse, Rat
Immunogen
Recombinant fusion protein containing a sequence corresponding to amino acids 21-254 of human PDYN (NP_077722.1).
Sequence
DCLSRCSLCAVKTQDGPKPINPLICSLQCQAALLPSEEWERCQSFLSFFTPSTLGLNDKEDLGSKSVGEGPYSELAKLSGSFLKELEKSKFLPSISTKENTLSKSLEEKLRGLSDGFREGAESELMRDAQLNDGAMETGTLYLAEEDPKEQVKRYGGFLRKYPKRSSEVAGEGDGDSMGHEDLYKRYGGFLRRIRPKLKWDNQKRYGGFLRRQFKVVTRSQEDPNAYSGELFDA
Host
Rabbit
Clonality
Polyclonal
Isotype
IgG
Conjugate

Unconjugated

Purification
Affinity purification.
Concentration
Lot Specific
Molecular Weight
28 kDa
Product Form
Liquid
Formulation
Supplied in Phosphate Buffered Saline, pH 7.3, with 50% Glycerol and 0.02% Sodium Azide.
Storage
Shipped at 4°C. Upon delivery aliquot and store at -20°C. Avoid freeze/thaw cycles.
Synonyms
Beta-neoendorphin-dynorphin, PDYN, Preprodynorphin, Proenkephalin-B
Disclaimer
This product is for research use only. It is not intended for diagnostic or therapeutic use.
Publishing research using Anti-ProDynorphin Antibody (A9754)? Please let us know so that we can list the citation on this page.

Alternative products to Anti-ProDynorphin Antibody (A9754)

Proteins predicted to interact with ProDynorphin

Predicted protein interactions based upon String database. Revelancy score correlates with probability of interaction.
99.4% Relevancy Score
98.7% Relevancy Score
98.6% Relevancy Score
96.4% Relevancy Score
95.6% Relevancy Score
94% Relevancy Score
93.7% Relevancy Score