ISO 9001:2015 Certified
Live Customer Support
4.5/5 on Trustpilot
100% Quality Guarantee

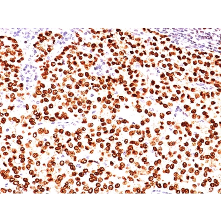
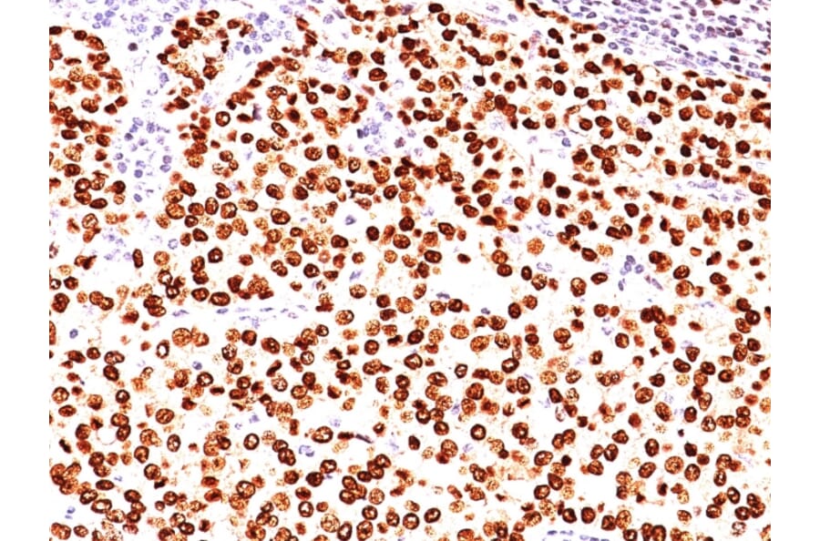
Anti-Progesterone Receptor Antibody [SPM566] - BSA and Azide free (A252796)

Mouse monoclonal [SPM566] antibody to Progesterone Receptor for WB and IHC-P.

Alternative Formats and ConjugatesAlternative Formats

Shipping Information

$40
Dispatched from St. Louis, MO.
Lead Time: 5-8 business days.
Name
Anti-Progesterone Receptor Antibody [SPM566] - BSA and Azide free
Description
Mouse monoclonal [SPM566] antibody to Progesterone Receptor.
Specificity
This antibody is specific to progesterone receptor and shows minimal cross-reaction with other members of the family. Progesterone receptor is expressed as two major isoforms, PR-A (81kDa) and PR-B (116kDa). Expression of PgR has been suggested to reflect a intact estrogen regulatory machinery and therefore, predict better clinical response to endocrine therapy than ER alone. It is excellent for immunohistochemical staining of formalin/paraffin tissues.
Applications
WB, IHC-P
Dilutions
WB: 1-2 µg/ml, IHC-P: 1-2 µg/ml
Reactivity
Human
Immunogen
Recombinant full-length human Progesterone Receptor protein.
Host
Mouse
Clonality
Monoclonal
Clone ID
SPM566
Isotype
IgG1
Light Chains
kappa
Conjugate

Unconjugated

Purification
Protein A/G chromatography.
Concentration
1 mg/ml
Molecular Weight
PR-A (81 kDa) / PR-B (116 kDa)
Product Form
Liquid
Formulation
Supplied in 10mM Phosphate Buffered Saline; without Sodium Azide and carrier free.
Storage
Shipped at 4°C. Upon delivery aliquot and store at -20°C. Avoid freeze / thaw cycles.
General Notes
This monoclonal antibody is also available in a different formulation with BSA and Sodium Azide - Anti-Progesterone Receptor Antibody [SPM566] (A249616).
Synonyms
NR3C3, Nuclear receptor subfamily 3 group C member 3, PGR, PR
Disclaimer
This product is for research use only. It is not intended for diagnostic or therapeutic use.
Publishing research using Anti-Progesterone Receptor Antibody [SPM566] - BSA and Azide free (A252796)? Please let us know so that we can list the citation on this page.

Alternative products to Anti-Progesterone Receptor Antibody [SPM566] - BSA and Azide free (A252796)

Proteins predicted to interact with Progesterone Receptor

Predicted protein interactions based upon String database. Revelancy score correlates with probability of interaction.
99.7% Relevancy Score
99.3% Relevancy Score
99.2% Relevancy Score
99% Relevancy Score
98.6% Relevancy Score
98% Relevancy Score
97.8% Relevancy Score
97.7% Relevancy Score
97.7% Relevancy Score