ISO 9001:2015 Certified
Live Customer Support
4.5/5 on Trustpilot
100% Quality Guarantee

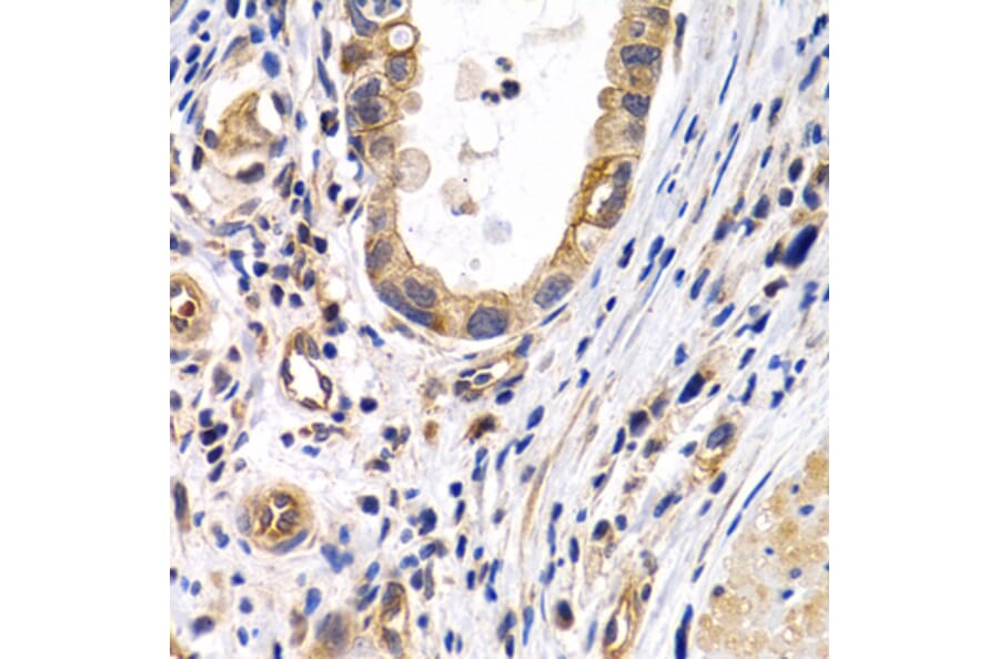
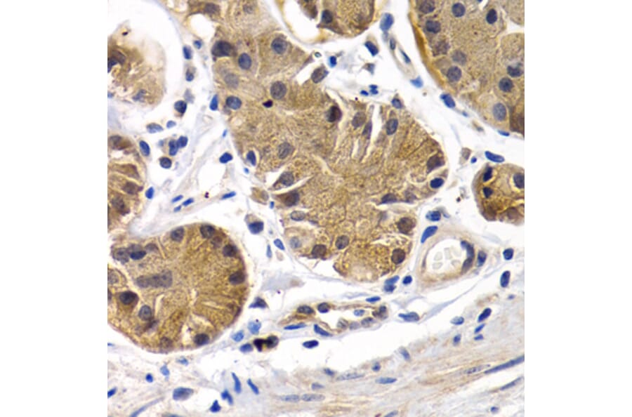
Anti-Prostacyclin receptor Antibody (A11486)

Rabbit polyclonal antibody to Prostacyclin receptor for WB and IHC.

Shipping Information

$40
Dispatched from St. Louis, MO.
Lead Time: 7-10 business days.
Name
Anti-Prostacyclin receptor Antibody
Description
Rabbit polyclonal antibody to Prostacyclin receptor.
Applications
WB, IHC
Dilutions
WB: 1:500-1:2,000, IHC: 1:50-1:200
Reactivity
Human, Mouse, Rat
Immunogen
Recombinant fusion protein containing a sequence corresponding to amino acids 207-386 of human PTGIR (NP_000951.1).
Sequence
TLSLCRMYRQQKRHQGSLGPRPRTGEDEVDHLILLALMTVVMAVCSLPLTIRCFTQAVAPDSSSEMGDLLAFRFYAFNPILDPWVFILFRKAVFQRLKLWVCCLCLGPAHGDSQTPLSQLASGRRDPRAPSAPVGKEGSCVPLSAWGEGQVEPLPPTQQSSGSAVGTSSKAEASVACSLC
Host
Rabbit
Clonality
Polyclonal
Isotype
IgG
Conjugate

Unconjugated

Purification
Affinity purification.
Concentration
Lot Specific
Molecular Weight
41 kDa
Product Form
Liquid
Formulation
Supplied in Phosphate Buffered Saline, pH 7.3, with 50% Glycerol and 0.02% Sodium Azide.
Storage
Shipped at 4°C. Upon delivery aliquot and store at -20°C. Avoid freeze/thaw cycles.
Synonyms
PGI receptor, PGI2 receptor, PRIPR, Prostanoid IP receptor, PTGIR
Disclaimer
This product is for research use only. It is not intended for diagnostic or therapeutic use.
Publishing research using Anti-Prostacyclin receptor Antibody (A11486)? Please let us know so that we can list the citation on this page.

Alternative products to Anti-Prostacyclin receptor Antibody (A11486)

Proteins predicted to interact with Prostaglandin I2 Receptor

Predicted protein interactions based upon String database. Revelancy score correlates with probability of interaction.
99.1% Relevancy Score
99.1% Relevancy Score
83.2% Relevancy Score
82.5% Relevancy Score
75.3% Relevancy Score
68.7% Relevancy Score
67.2% Relevancy Score
62.2% Relevancy Score
62% Relevancy Score