Primary Antibodies
Secondary Antibodies
Proteins & Peptides
ELISA Kits
About Us
Contact Us
Sign In/Register
0
ISO 9001:2015 Certified
Live Customer Support
4.5/5 on Trustpilot
100% Quality Guarantee
Home
Primary Antibodies
Prostaglandin I2 Receptor Antibodies
Anti-PTGIR Antibody (A38251)
Anti-PTGIR Antibody (A38251)
Overview
Specifications
Images
Enlarge Image
Enlarge Image
$405
Rabbit polyclonal antibody to PTGIR for WB and IHC.
100% Guarantee
Price Match Guarantee
Product Size:
100µl
Quantity:
1
2
3
4
5
6
7
8
9
10
Add To Cart
Request a Quotation
Custom or Bulk Request
Shipping Information
Freight/Packing Charges:
$40
Dispatched from St. Louis, MO.
Lead Time: 6-9 business days.
Specifications
Name
Anti-PTGIR Antibody
Description
Rabbit polyclonal antibody to PTGIR
Specificity
The antibody detects endogenous levels of total PTGIR protein.
Applications
WB
,
IHC
Reactivity
Human, Mouse
Immunogen
Fusion protein of human PTGIR
Host
Rabbit
Clonality
Polyclonal
Conjugate
Unconjugated
Purification
Antigen affinity purification.
Concentration
1 mg/ml
Formulation
Rabbit IgG in pH7.4 PBS, 0.05% NaN3, 40% Glycerol.
Storage
Store at -20˚C
Synonyms
PGI receptor, PGI2 receptor, PRIPR, Prostacyclin receptor, Prostanoid IP receptor
Suitable Secondaries
Goat Anti-Rabbit IgG H&L Antibody (AP) (A294874)
Goat Anti-Rabbit IgG H&L Antibody (Biotin) (A294795)
Goat Anti-Rabbit IgG H&L Antibody (FITC) (A294887)
Goat Anti-Rabbit IgG H&L Antibody (HRP) (A294888)
See all Anti-Rabbit IgG Secondaries →
Disclaimer
This product is for research use only. It is not intended for diagnostic or therapeutic use.
Scientific Validation Data
Validation Data
(2)
Enlarge Image
Anti-PTGIR Antibody (A38251)
Gel: 8% SDS-PAGE Lysate: 40 μg Lane: Mouse spleen tissue Primary antibody: 1/400 dilution Secondary antibody: Goat anti rabbit IgG at 1/8000 dilution Exposure time: 20 seconds
Enlarge Image
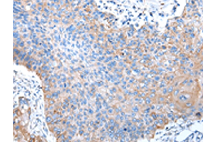
Immunohistochemistry - Anti-PTGIR Antibody (A38251)
Immunohistochemical analysis of paraffin-embedded Human oesophagus cancer tissue using #43008 at dilution 1/20. (Original magnification: ¡Á200)
Publishing research using Anti-PTGIR Antibody (A38251)? Please
let us know
so that we can list the citation on this page.
Alternative products to Anti-PTGIR Antibody (A38251)
(3)
A11486
Anti-Prostacyclin receptor Antibody
Rabbit polyclonal antibody to Prostacyclin receptor for WB and IHC.
(2)
A95275
Anti-Prostacyclin Receptor Antibody
Rabbit polyclonal antibody to Prostacyclin Receptor for WB, IF and ELISA.
A43302
Anti-PTGIR Antibody
Rabbit polyclonal antibody to PTGIR for WB.
A95953
Anti-Prostacyclin Receptor Antibody
Rabbit polyclonal antibody to Prostacyclin Receptor for WB and ELISA.
(3)
A11486
Anti-Prostacyclin receptor Antibody
Rabbit polyclonal antibody to Prostacyclin receptor for WB and IHC.
(2)
A95275
Anti-Prostacyclin Receptor Antibody
Rabbit polyclonal antibody to Prostacyclin Receptor for WB, IF and ELISA.
A43302
Anti-PTGIR Antibody
Rabbit polyclonal antibody to PTGIR for WB.
A95953
Anti-Prostacyclin Receptor Antibody
Rabbit polyclonal antibody to Prostacyclin Receptor for WB and ELISA.
Proteins predicted to interact with Prostaglandin I2 Receptor
Predicted protein interactions based upon String database. Revelancy score correlates with probability of interaction.
G Protein alpha S Antibodies
99.1% Relevancy Score
GNAS Antibodies
99.1% Relevancy Score
PTGIS Antibodies
83.2% Relevancy Score
TBXA2R Antibodies
82.5% Relevancy Score
COX1 Antibodies
75.3% Relevancy Score
GBG8 Antibodies
68.7% Relevancy Score
COX2 Antibodies
67.2% Relevancy Score
PDZK1 Antibodies
62.2% Relevancy Score
Src Antibodies
62% Relevancy Score
Top