ISO 9001:2015 Certified
Live Customer Support
4.5/5 on Trustpilot
100% Quality Guarantee

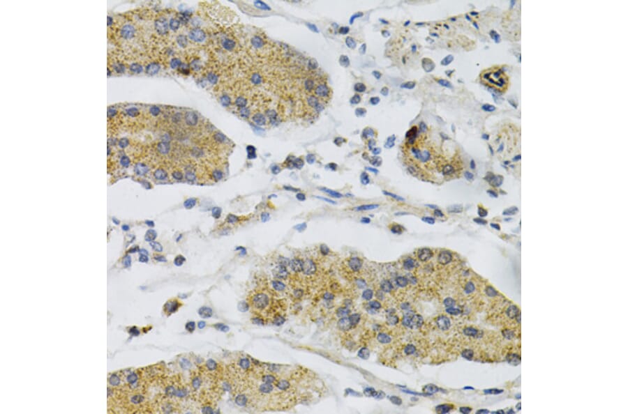
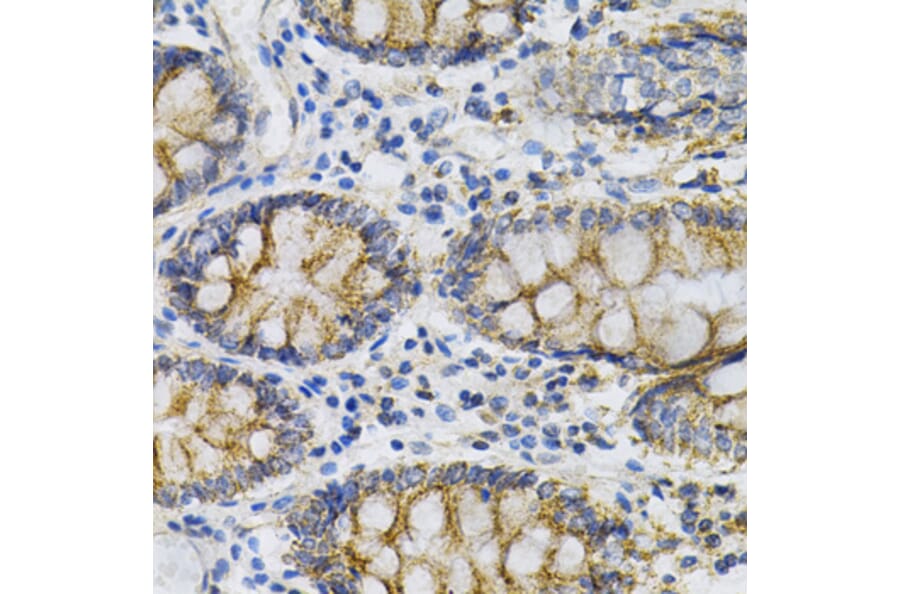
Anti-PTP alpha Antibody (A13782)

Rabbit polyclonal antibody to PTP alpha for WB and IHC.

Shipping Information

$40
Dispatched from St. Louis, MO.
Lead Time: 7-10 business days.
Name
Anti-PTP alpha Antibody
Description
Rabbit polyclonal antibody to PTP alpha.
Applications
WB, IHC
Dilutions
WB: 1:500-1:2,000, IHC: 1:100-1:200
Reactivity
Human, Mouse
Immunogen
Recombinant fusion protein containing a sequence corresponding to amino acids 20-142 of human PTPRA (NP_543031.1).
Sequence
NNATTVAPSVGITRLINSSTAEPVKEEAKTSNPTSSLTSLSVAPTFSPNITLGPTYLTTVNSSDSDNGTTRTASTNSIGITISPNGTWLPDNQFTDARTEPWEGNSSTAATTPETFPPSDETP
Host
Rabbit
Clonality
Polyclonal
Isotype
IgG
Conjugate

Unconjugated

Purification
Affinity purification.
Concentration
Lot Specific
Molecular Weight
120 kDa
Product Form
Liquid
Formulation
Supplied in Phosphate Buffered Saline, pH 7.3, with 50% Glycerol and 0.02% Sodium Azide.
Storage
Shipped at 4°C. Upon delivery aliquot and store at -20°C. Avoid freeze/thaw cycles.
Synonyms
Protein-tyrosine phosphatase alpha, PTPA, PTPRA, PTPRL2, R-PTP-alpha, Receptor-type tyrosine-protein phosphatase alpha
Disclaimer
This product is for research use only. It is not intended for diagnostic or therapeutic use.
Publishing research using Anti-PTP alpha Antibody (A13782)? Please let us know so that we can list the citation on this page.

Alternative products to Anti-PTP alpha Antibody (A13782)

Proteins predicted to interact with PTP alpha

Predicted protein interactions based upon String database. Revelancy score correlates with probability of interaction.
97.4% Relevancy Score
95.7% Relevancy Score
94.9% Relevancy Score
90.9% Relevancy Score
78.7% Relevancy Score
78.4% Relevancy Score
75.6% Relevancy Score
70.3% Relevancy Score
68.5% Relevancy Score