Western blot analysis of extracts of various cell lines, using Anti-Rad21 Antibody (A305614) at 1:1,000 dilution. The secondary antibody was Goat Anti-Rabbit IgG H&L Antibody (HRP) at 1:10,000 dilution. Lysates/proteins were present at 25µg per lane. The blocking buffer used was 3% non-fat dry milk in TBST. Detection was with a ECL Basic Kit. Exposure time: 10s.
Western blot analysis of extracts of C6 cells, using Anti-Rad21 Antibody (A305614) at 1:1,000 dilution. The secondary antibody was Goat Anti-Rabbit IgG H&L Antibody (HRP) at 1:10,000 dilution. Lysates/proteins were present at 25µg per lane. The blocking buffer used was 3% non-fat dry milk in TBST. Detection was with a ECL Enhanced Kit (RM00021). Exposure time: 90s.
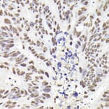
Immunohistochemistry analysis of paraffin-embedded human colon carcinoma tissue using Anti-Rad21 Antibody (A305614) at a dilution of 1:200 (40x lens). Perform high pressure antigen retrieval with 10 mM citrate buffer pH 6.0 before commencing with IHC staining protocol.
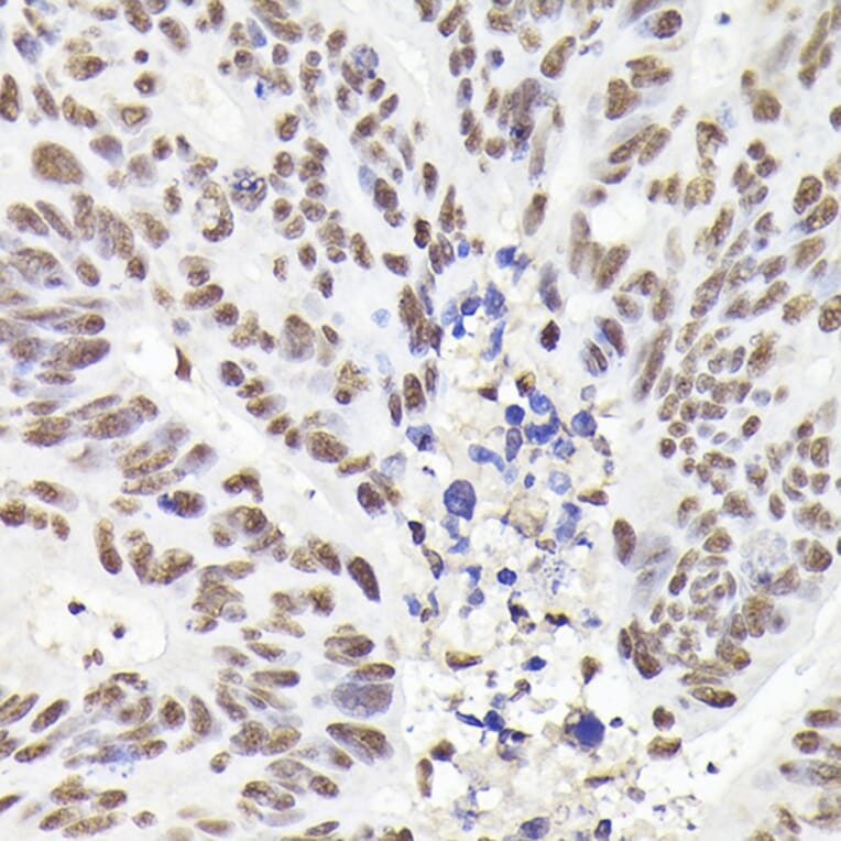
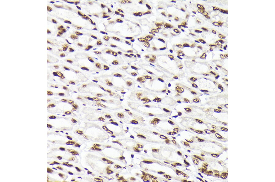
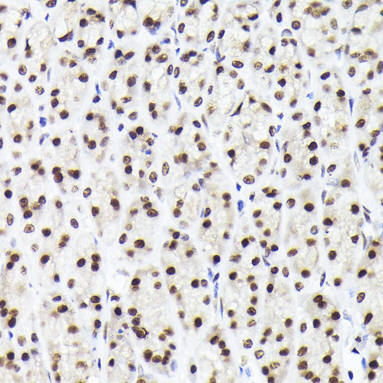
Immunohistochemistry analysis of paraffin-embedded mouse stomach using Anti-Rad21 Antibody (A305614) at a dilution of 1:200 (40x lens). Perform high pressure antigen retrieval with 10 mM citrate buffer pH 6.0 before commencing with IHC staining protocol.
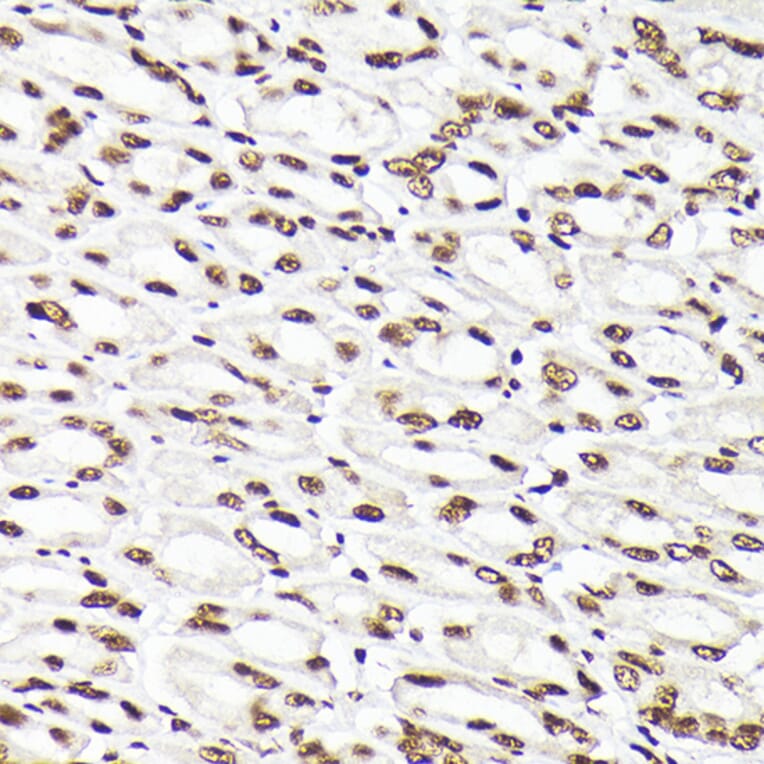
Immunohistochemistry analysis of paraffin-embedded rat stomach using Anti-Rad21 Antibody (A305614) at a dilution of 1:200 (40x lens). Perform high pressure antigen retrieval with 10 mM citrate buffer pH 6.0 before commencing with IHC staining protocol.
Immunofluorescence analysis of U2OS cells using Anti-Rad21 Antibody (A305614) at a dilution of 1:100 (40x lens). DAPI was used to stain the cell nuclei (blue).
Immunoprecipitation analysis of 300µg extracts of Jurkat cells using 3µg of Anti-Rad21 Antibody (A305614). This Western blot was performed on the immunoprecipitate using Anti-Rad21 Antibody (A305614) at a dilution of 1:1000.
Immunoprecipitation analysis of 300µg extracts of Jurkat cells using 3µg of Anti-Rad21 Antibody (A305614). This Western blot was performed on the immunoprecipitate using Anti-Rad21 Antibody (A305614) at a dilution of 1:1000.
Chromatin immunoprecipitation (ChIP) analysis of extracts of A-549 cells, using Anti-Rad21 Antibody (A305614) and Rabbit IgG. The amount of immunoprecipitated DNA was checked by quantitative PCR. Histogram was constructed by the ratios of the immunoprecipitated DNA to the input.
Chromatin immunoprecipitation (ChIP) analysis of extracts of A-549 cells, using Anti-Rad21 Antibody (A305614) and Rabbit IgG. The amount of immunoprecipitated DNA was checked by quantitative PCR. Histogram was constructed by the ratios of the immunoprecipitated DNA to the input.