ISO 9001:2015 Certified
Live Customer Support
4.5/5 on Trustpilot
100% Quality Guarantee

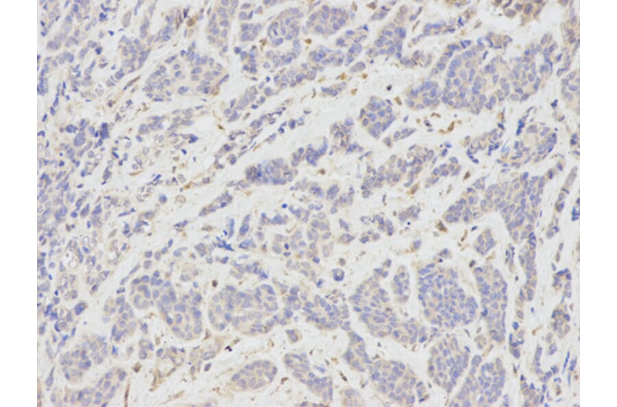
Anti-RANKL Antibody (A30416)

This product is discontinued

Anti-RANKL Antibody (A30416) has been discontinued and is no longer available.

View all RANKL Antibodies.

Name
Anti-RANKL Antibody
Description
Rabbit polyclonal antibody to RANKL
Specificity
RANKL pAb detects endogenous levels of RANKL protein.
Applications
WB, IHC, IF
Reactivity
Human, Mouse, Rat
Immunogen
Recombinant full length Human RANKL.
Host
Rabbit
Clonality
Polyclonal
Conjugate

Unconjugated

Molecular Weight
~ 40 kDa
Purity
The antibody was affinity-purified from rabbit antiserum by affinity-chromatography using epitope-specific immunogen and the purity is > 95% (by SDS-PAGE).
Product Form
1mg/ml in PBS with 0.1% Sodium Azide, 50% Glycerol.
Synonyms
CD254, ODF, OPGL, Osteoclast differentiation factor, Osteoprotegerin ligand, Receptor activator of nuclear factor kappa-B ligand, TNF-related activation-induced cytokine, TNFSF11, TRANCE, Tumor necrosis factor ligand superfamily member 11
Disclaimer
This product is for research use only. It is not intended for diagnostic or therapeutic use.

Alternative products to Anti-RANKL Antibody (A30416)

Proteins predicted to interact with RANKL

Predicted protein interactions based upon String database. Revelancy score correlates with probability of interaction.
99.9% Relevancy Score
99.9% Relevancy Score
98.7% Relevancy Score
98.6% Relevancy Score
96.2% Relevancy Score
94.5% Relevancy Score
92.7% Relevancy Score
92.5% Relevancy Score
91.5% Relevancy Score