Primary Antibodies
Secondary Antibodies
Proteins & Peptides
ELISA Kits
About Us
Contact Us
Sign In/Register
0
ISO 9001:2015 Certified
Live Customer Support
4.5/5 on Trustpilot
100% Quality Guarantee
Home
Primary Antibodies
RASD2 Antibodies
Anti-RASD2 Antibody (A46322)
Anti-RASD2 Antibody (A46322)
Overview
Specifications
Images
Enlarge Image
Enlarge Image
$405
Rabbit polyclonal antibody to RASD2 for IHC.
100% Guarantee
Price Match Guarantee
Product Size:
100µl
Quantity:
1
2
3
4
5
6
7
8
9
10
Add To Cart
Request a Quotation
Custom or Bulk Request
Shipping Information
Freight/Packing Charges:
$40
Dispatched from St. Louis, MO.
Lead Time: 6-9 business days.
Specifications
Name
Anti-RASD2 Antibody
Description
Rabbit polyclonal antibody to RASD2
Specificity
The antibody detects endogenous levels of total RASD2 protein.
Applications
IHC
Reactivity
Human, Mouse
Immunogen
Full length fusion protein
Host
Rabbit
Clonality
Polyclonal
Conjugate
Unconjugated
Purification
Antigen affinity purification.
Concentration
1.4 mg/ml
Formulation
Rabbit IgG in pH7.4 PBS, 0.05% NaN3, 40% Glycerol.
Storage
Store at -20˚C
Synonyms
GTP-binding protein Rhes, Ras homolog enriched in striatum, TEM2, Tumor endothelial marker 2
Suitable Secondaries
Goat Anti-Rabbit IgG H&L Antibody (AP) (A294874)
Goat Anti-Rabbit IgG H&L Antibody (Biotin) (A294795)
Goat Anti-Rabbit IgG H&L Antibody (FITC) (A294887)
Goat Anti-Rabbit IgG H&L Antibody (HRP) (A294888)
See all Anti-Rabbit IgG Secondaries →
Disclaimer
This product is for research use only. It is not intended for diagnostic or therapeutic use.
Scientific Validation Data
Validation Data
(2)
Enlarge Image
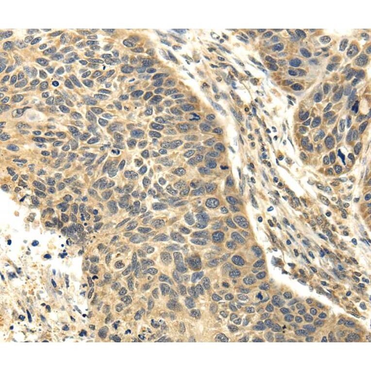
Immunohistochemistry - Anti-RASD2 Antibody (A46322)
Immunohistochemical analysis of paraffin-embedded Human oesophagus cancer tissue using #40139 at dilution 1/25.
Enlarge Image
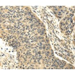
Immunohistochemistry - Anti-RASD2 Antibody (A46322)
Immunohistochemical analysis of paraffin-embedded Human prostate cancer tissue using #40139 at dilution 1/25.
Publishing research using Anti-RASD2 Antibody (A46322)? Please
let us know
so that we can list the citation on this page.
Alternative products to Anti-RASD2 Antibody (A46322)
(4)
A54901
Anti-RASD2 Antibody
Rabbit polyclonal antibody to RASD2 for ELISA, IHC ,IP and WB.
(2)
A48389
Anti-TEM2 Antibody
Rabbit polyclonal antibody to TEM2 for E, WB and IHC.
(2)
A48388
Anti-TEM2 Antibody
Rabbit polyclonal antibody to TEM2 for E, WB and IHC.
A97298
Anti-RASD2 Antibody
Rabbit polyclonal antibody to RASD2 for WB and ELISA.
A97297
Anti-RASD2 Antibody
Rabbit polyclonal antibody to RASD2 for WB and ELISA.
A92698
Anti-RASD2 Antibody
Rabbit polyclonal antibody to RASD2 for WB.
(4)
A54901
Anti-RASD2 Antibody
Rabbit polyclonal antibody to RASD2 for ELISA, IHC ,IP and WB.
(2)
A48389
Anti-TEM2 Antibody
Rabbit polyclonal antibody to TEM2 for E, WB and IHC.
(2)
A48388
Anti-TEM2 Antibody
Rabbit polyclonal antibody to TEM2 for E, WB and IHC.
A97298
Anti-RASD2 Antibody
Rabbit polyclonal antibody to RASD2 for WB and ELISA.
A97297
Anti-RASD2 Antibody
Rabbit polyclonal antibody to RASD2 for WB and ELISA.
A92698
Anti-RASD2 Antibody
Rabbit polyclonal antibody to RASD2 for WB.
See all RASD2 Antibodies
Proteins predicted to interact with RASD2
Predicted protein interactions based upon String database. Revelancy score correlates with probability of interaction.
Huntingtin Antibodies
94.7% Relevancy Score
Beclin 1 Antibodies
91.2% Relevancy Score
TEM1 Antibodies
88.9% Relevancy Score
TEM7 Antibodies
77.7% Relevancy Score
Raf1 Antibodies
67.4% Relevancy Score
OXA1L Antibodies
66.8% Relevancy Score
DARPP32 Antibodies
66.5% Relevancy Score
VAPA Antibodies
61.3% Relevancy Score
Karyopherin beta 3 Antibodies
58.7% Relevancy Score
Top