Primary Antibodies
Secondary Antibodies
Proteins & Peptides
ELISA Kits
About Us
Contact Us
Sign In/Register
0
ISO 9001:2015 Certified
Live Customer Support
4.5/5 on Trustpilot
100% Quality Guarantee
Home
Primary Antibodies
RASD2 Antibodies
Anti-TEM2 Antibody (A48388)
Anti-TEM2 Antibody (A48388)
Overview
Specifications
Images
Enlarge Image
Enlarge Image
$780
Product Datasheet
Rabbit polyclonal antibody to TEM2 for ELISA, WB and IHC.
100% Guarantee
Price Match Guarantee
Product Size:
100µl
Quantity:
1
2
3
4
5
6
7
8
9
10
Add To Cart
Request a Quotation
Custom or Bulk Request
Shipping Information
Freight/Packing Charges:
$40
Dispatched from St. Louis, MO.
Lead Time: 6-9 business days.
Specifications
Name
Anti-TEM2 Antibody
Description
Rabbit polyclonal antibody to TEM2
Applications
ELISA
,
WB
,
IHC
Reactivity
Human, Mouse, Rat
Immunogen
Raised against a 15 amino acid peptide near the carboxy terminus of the human TEM2.
Host
Rabbit
Clonality
Polyclonal
Conjugate
Unconjugated
Purification
Affinity chromatography purified via peptide column
Formulation
Supplied in phosphate-buffered saline with 0.02% Sodium Azide.
Storage
Shipped at 4°C. Upon delivery aliquot and store at -20°C. Avoid freeze/thaw cycles.
Synonyms
GTP-binding protein Rhes, Ras homolog enriched in striatum, Tumor endothelial marker 2
Suitable Secondaries
Goat Anti-Rabbit IgG H&L Antibody (AP) (A294874)
Goat Anti-Rabbit IgG H&L Antibody (Biotin) (A294795)
Goat Anti-Rabbit IgG H&L Antibody (FITC) (A294887)
Goat Anti-Rabbit IgG H&L Antibody (HRP) (A294888)
See all Anti-Rabbit IgG Secondaries →
Disclaimer
This product is for research use only. It is not intended for diagnostic or therapeutic use.
Scientific Validation Data
Validation Data
(2)
Enlarge Image
Anti-TEM2 Antibody (A48388)
Western blot analysis of TEM2 in human colon tissue lysate with TEM2 antibody at (A) 1 and (B) 2 µg/mL.
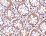
Enlarge Image
Immunohistochemistry - Anti-TEM2 Antibody (A48388)
Immunohistochemistry of TEM2 in human colon tissue with TEM2 antibody at 2.5 µg/mL.
Publishing research using Anti-TEM2 Antibody (A48388)? Please
let us know
so that we can list the citation on this page.
Alternative products to Anti-TEM2 Antibody (A48388)
(4)
A54901
Anti-RASD2 Antibody
Rabbit polyclonal antibody to RASD2 for ELISA, IHC ,IP and WB.
(2)
A48389
Anti-TEM2 Antibody
Rabbit polyclonal antibody to TEM2 for ELISA, WB and IHC.
A97297
Anti-RASD2 Antibody
Rabbit polyclonal antibody to RASD2 for WB and ELISA.
(2)
A46322
Anti-RASD2 Antibody
Rabbit polyclonal antibody to RASD2 for IHC.
(4)
A54901
Anti-RASD2 Antibody
Rabbit polyclonal antibody to RASD2 for ELISA, IHC ,IP and WB.
(2)
A48389
Anti-TEM2 Antibody
Rabbit polyclonal antibody to TEM2 for ELISA, WB and IHC.
A97297
Anti-RASD2 Antibody
Rabbit polyclonal antibody to RASD2 for WB and ELISA.
(2)
A46322
Anti-RASD2 Antibody
Rabbit polyclonal antibody to RASD2 for IHC.
Proteins predicted to interact with RASD2
Predicted protein interactions based upon String database. Revelancy score correlates with probability of interaction.
Huntingtin Antibodies
94.7% Relevancy Score
Beclin 1 Antibodies
91.2% Relevancy Score
TEM1 Antibodies
88.9% Relevancy Score
TEM7 Antibodies
77.7% Relevancy Score
Raf1 Antibodies
67.4% Relevancy Score
OXA1L Antibodies
66.8% Relevancy Score
DARPP32 Antibodies
66.5% Relevancy Score
VAPA Antibodies
61.3% Relevancy Score
Karyopherin beta 3 Antibodies
58.7% Relevancy Score
Top