Primary Antibodies
Secondary Antibodies
Proteins & Peptides
ELISA Kits
About Us
Contact Us
Sign In/Register
0
ISO 9001:2015 Certified
Live Customer Support
4.5/5 on Trustpilot
100% Quality Guarantee
Home
Primary Antibodies
REC8 Antibodies
Anti-REC8 Antibody (A39015)
Anti-REC8 Antibody (A39015)
Overview
Specifications
Images
Enlarge Image
Enlarge Image
$405
Rabbit polyclonal antibody to REC8 for WB and IHC.
100% Guarantee
Price Match Guarantee
Product Size:
100µl
Quantity:
1
2
3
4
5
6
7
8
9
10
Add To Cart
Request a Quotation
Custom or Bulk Request
Shipping Information
Freight/Packing Charges:
$40
Dispatched from St. Louis, MO.
Lead Time: 6-9 business days.
Specifications
Name
Anti-REC8 Antibody
Description
Rabbit polyclonal antibody to REC8
Specificity
The antibody detects endogenous levels of total REC8 protein.
Applications
WB
,
IHC
Dilutions
Western blotting: 1:200-1:1000 Immunohistochemistry: 1:100-1:200
Reactivity
Human
Immunogen
Fusion protein of human REC8
Host
Rabbit
Clonality
Polyclonal
Conjugate
Unconjugated
Purification
Antigen affinity purification.
Concentration
1.3 mg/ml
Formulation
Rabbit IgG in pH7.4 PBS, 0.05% NaN3, 40% Glycerol.
Storage
Store at -20˚C
Synonyms
Cohesin Rec8p, Meiotic recombination protein REC8 homolog, REC8L1
Suitable Secondaries
Goat Anti-Rabbit IgG H&L Antibody (AP) (A294874)
Goat Anti-Rabbit IgG H&L Antibody (Biotin) (A294795)
Goat Anti-Rabbit IgG H&L Antibody (FITC) (A294887)
Goat Anti-Rabbit IgG H&L Antibody (HRP) (A294888)
See all Anti-Rabbit IgG Secondaries →
Disclaimer
This product is for research use only. It is not intended for diagnostic or therapeutic use.
Scientific Validation Data
Validation Data
(2)
Enlarge Image
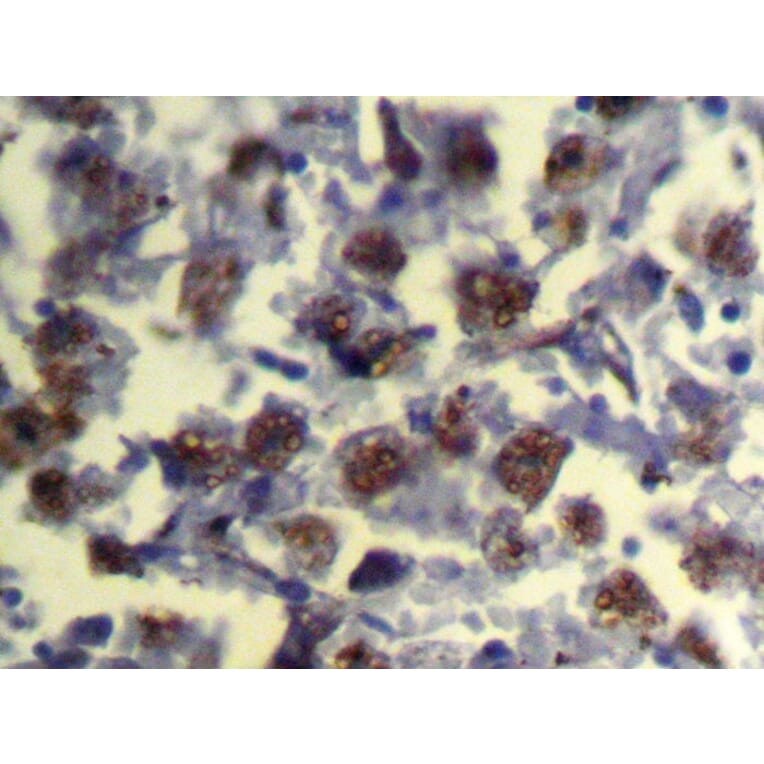
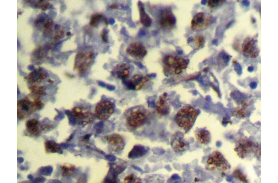
Immunohistochemistry - Anti-REC8 Antibody (A39015)
Immunohistochemical analysis of paraffin-embedded Human Liver cancer tissue using #43324 at dilution 1/100,
Enlarge Image
Anti-REC8 Antibody (A39015)
Gel: 8% SDS-PAGE Lysate: 40 μg Lane: 293T cells Primary antibody: 1/300 dilution Secondary antibody: Goat anti rabbit IgG at 1/8000 dilution Exposure time: 10 seconds
Publishing research using Anti-REC8 Antibody (A39015)? Please
let us know
so that we can list the citation on this page.
Alternative products to Anti-REC8 Antibody (A39015)
A101319
Anti-REC8 Antibody
Rabbit polyclonal antibody to REC8 for WB and ELISA.
A43744
Anti-REC8 Antibody
Rabbit polyclonal antibody to REC8 for WB.
A101318
Anti-REC8 Antibody
Rabbit polyclonal antibody to REC8 for WB and ELISA.
A92204
Anti-REC8 Antibody
Rabbit polyclonal antibody to REC8 for WB.
A101319
Anti-REC8 Antibody
Rabbit polyclonal antibody to REC8 for WB and ELISA.
A43744
Anti-REC8 Antibody
Rabbit polyclonal antibody to REC8 for WB.
A101318
Anti-REC8 Antibody
Rabbit polyclonal antibody to REC8 for WB and ELISA.
A92204
Anti-REC8 Antibody
Rabbit polyclonal antibody to REC8 for WB.
Proteins predicted to interact with REC8
Predicted protein interactions based upon String database. Revelancy score correlates with probability of interaction.
SMC3 Antibodies
99.9% Relevancy Score
STAG3 Antibodies
99.9% Relevancy Score
SMC1 Antibodies
99.9% Relevancy Score
SMC1A Antibodies
99.6% Relevancy Score
STAG1 Antibodies
99.4% Relevancy Score
Separase Antibodies
99.3% Relevancy Score
STAG2 Antibodies
99.3% Relevancy Score
SGOL2 Antibodies
97.9% Relevancy Score
PPP2R1A Antibodies
96.6% Relevancy Score
Top