ISO 9001:2015 Certified
Live Customer Support
4.5/5 on Trustpilot
100% Quality Guarantee

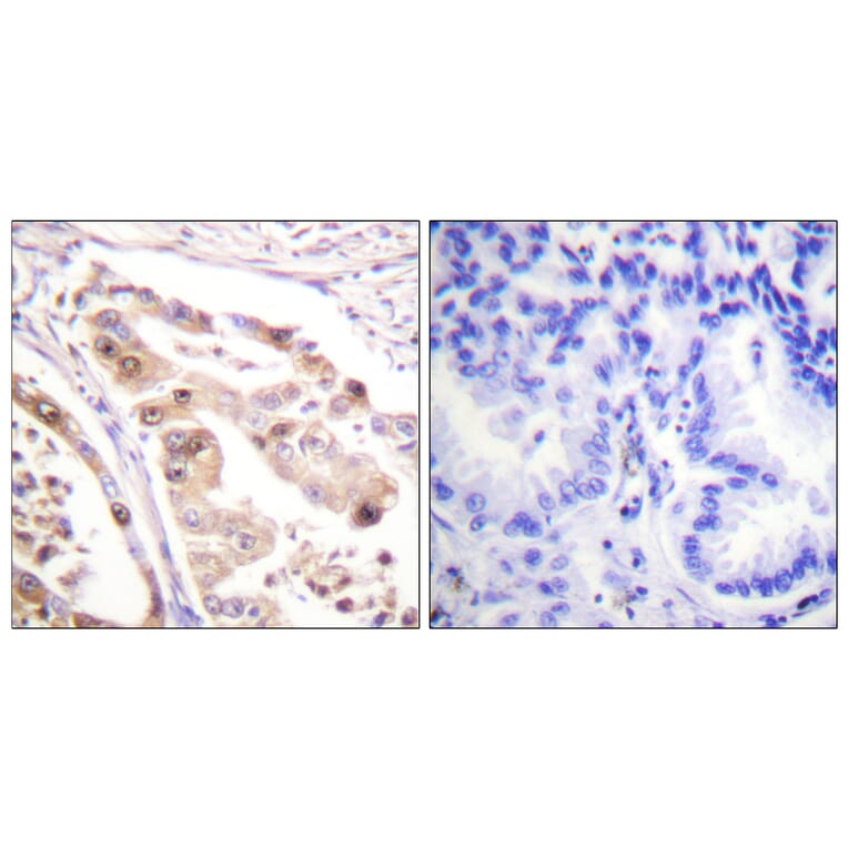
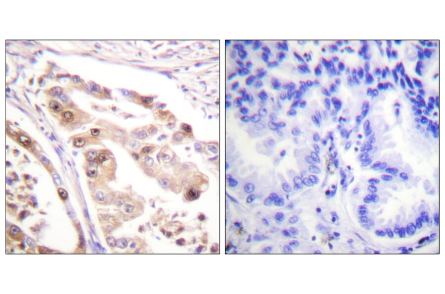
Anti-RFA2 Antibody (A96134)

Rabbit polyclonal antibody to RFA2 for WB, IHC, IF and ELISA.

Shipping Information

$40
Dispatched from St. Louis, MO.
Lead Time: 6-8 business days.
Name
Anti-RFA2 Antibody
Description
Rabbit polyclonal antibody to RFA2.
Applications
WB, IHC, IF, ELISA
Dilutions
WB: 1:500-1:1000, IHC: 1:50-1:100, IF: 1:100-1:500, ELISA: 1:1000
Reactivity
Human, Mouse
Immunogen
Synthetic peptide derived from human RFA2 (amino acids 10-59).
Host
Rabbit
Clonality
Polyclonal
Isotype
IgG
Conjugate

Unconjugated

Purification
Purified from rabbit serum by antigen affinity chromatography using the immunizing peptide.
Molecular Weight
29kDa
Product Form
Liquid
Formulation
Supplied in Phosphate Buffered Saline (without Mg2+ and Ca2+), pH 7.4, with 150mM NaCl, 0.02% Sodium Azide, and 50% Glycerol.
Storage
Shipped at 4°C. Upon delivery aliquot and store at -20°C. Avoid freeze / thaw cycles.
Synonyms
60S acidic ribosomal protein P1, AA409079, AI325195, AU020965, ik:tdsubc_2g1, M(2)21C, MGC137236, OTTHUMP00000004008, p32, p34, RCJMB04_6d17 replication protein A2, 32kDa, REPA2, Replication factor A protein 2, Replication protein A, Replication protein A 32 kDa subunit, Replication protein A 32kDa subunit, Replication protein A 34 kDa subunit, Replication protein A2, Replication Protein A2 (32kDa), Replication protein A2, 32kDa, RF-A protein 2, Rf-A2, RFA, RFA2_HUMAN, RP-A p32, RP-A p34, RP21C, RPA, RPA 2, RPA 32, Rpa2, RPA32, RPA34, RpLP1, RpP2, xx:tdsubc_2g1, zgc:109822
Disclaimer
This product is for research use only. It is not intended for diagnostic or therapeutic use.
Publishing research using Anti-RFA2 Antibody (A96134)? Please let us know so that we can list the citation on this page.

Alternative products to Anti-RFA2 Antibody (A96134)