ISO 9001:2015 Certified
Live Customer Support
4.5/5 on Trustpilot
100% Quality Guarantee

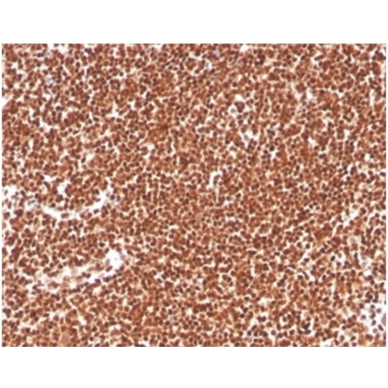
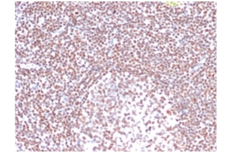
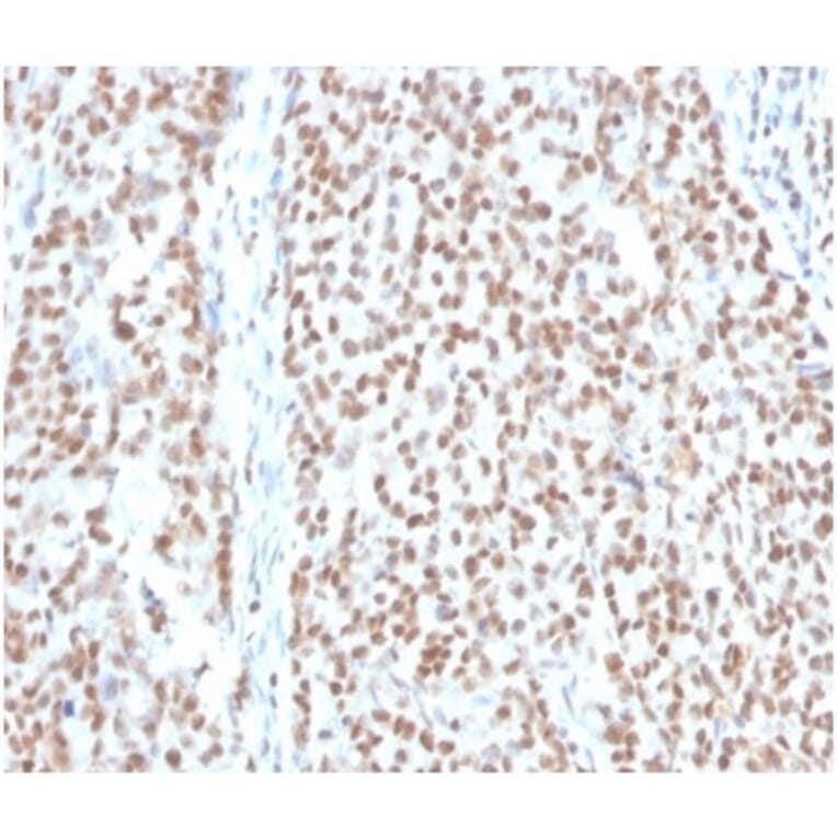
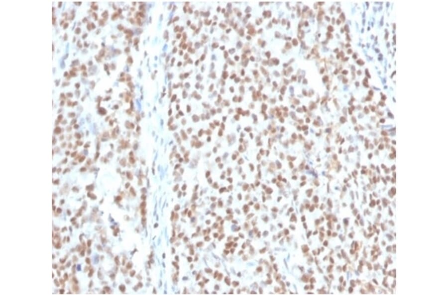
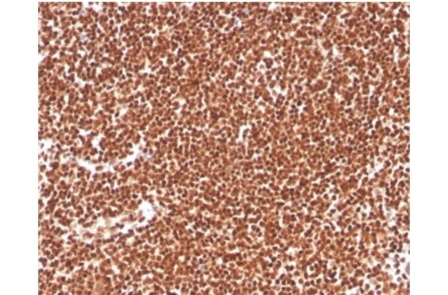
Anti-RPA2 Antibody [RPA2/4774] (A277777)

Mouse monoclonal [RPA2/4774] antibody to RPA2 for WB and IHC-P.

Alternative Formats and ConjugatesAlternative Formats

Shipping Information

$40
Dispatched from St. Louis, MO.
Lead Time: 5-8 business days.
Name
Anti-RPA2 Antibody [RPA2/4774]
Description
Mouse monoclonal [RPA2/4774] antibody to RPA2.
Specificity
This antibody recognizes a protein of 34kDa, identified as a subunit of Replication Protein A (RPA) (also known as human single-stranded DNA binding protein, or HSSB). RPA from human cells is a stable heterotrimer of 70kDa, 32-34kDa, and 11-14kDa subunits (RPA70, RPA32, and RPA14 respectively). It is involved in DNA replication, repair, and recombination. RPA is required for the SV40 large tumor antigen-catalyzed unwinding of SV40 DNA and stimulates DNA polymerase (pol) alpha and delta. RPA34 is phosphorylated at the G1/S boundary of the cell cycle or upon exposure of cells to DNA damage-inducing agents including ionizing and UV radiation.
Applications
WB, IHC-P
Dilutions
WB: 1-2 µg/ml, IHC-P: 1-2 µg/ml
Reactivity
Human
Immunogen
Recombinant full-length human RPA2 protein.
Host
Mouse
Clonality
Monoclonal
Clone ID
RPA2/4774
Isotype
IgG1
Light Chains
kappa
Conjugate

Unconjugated

Purification
Protein A/G chromatography.
Concentration
200 µg/ml
Molecular Weight
32-34 kDa
Product Form
Liquid
Formulation
Supplied in 10mM Phosphate Buffered Saline with 0.05% BSA and 0.05% Sodium Azide.
Storage
Shipped at 4°C. Upon delivery aliquot and store at -20°C. Avoid freeze / thaw cycles.
General Notes
This monoclonal antibody is also available in a different formulation without BSA and Sodium Azide - Anti-RPA2 Antibody [RPA2/4774] - BSA and Azide free (A278365).
Synonyms
REPA2, Replication factor A protein 2, Replication protein A 32 kDa subunit, Replication protein A 34 kDa subunit, RF-A protein 2, RP-A p32, RP-A p34, RPA32, RPA34
Disclaimer
This product is for research use only. It is not intended for diagnostic or therapeutic use.
Publishing research using Anti-RPA2 Antibody [RPA2/4774] (A277777)? Please let us know so that we can list the citation on this page.

Alternative products to Anti-RPA2 Antibody [RPA2/4774] (A277777)

Proteins predicted to interact with RPA2

Predicted protein interactions based upon String database. Revelancy score correlates with probability of interaction.
99.9% Relevancy Score
99.9% Relevancy Score
99.9% Relevancy Score
99.9% Relevancy Score
99.9% Relevancy Score
99.8% Relevancy Score
99.8% Relevancy Score
99.8% Relevancy Score
99.8% Relevancy Score