ISO 9001:2015 Certified
Live Customer Support
4.5/5 on Trustpilot
100% Quality Guarantee

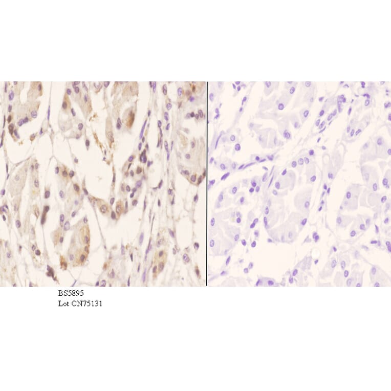
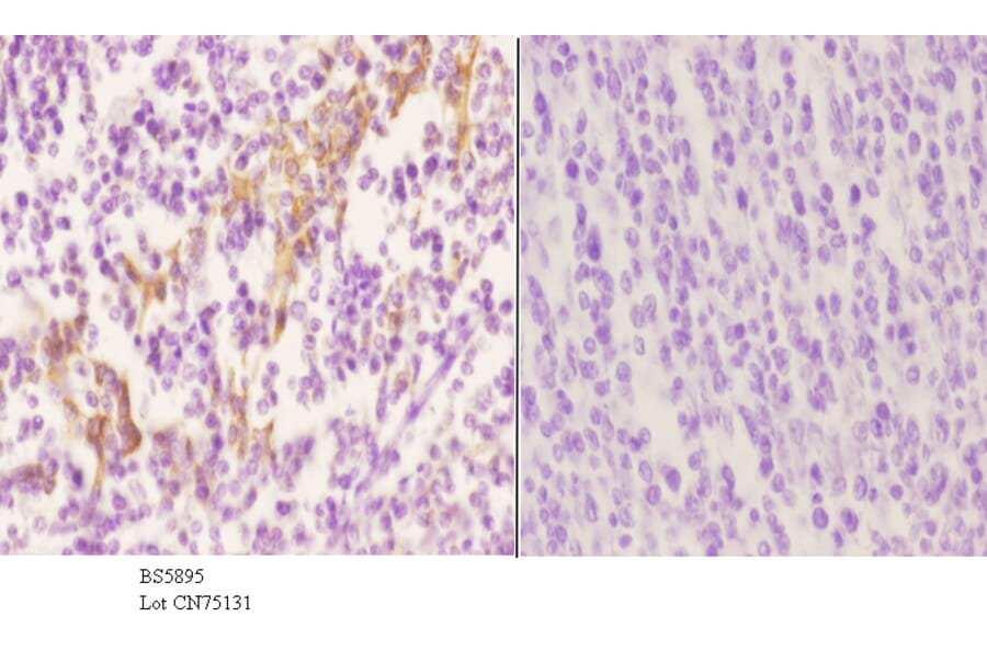
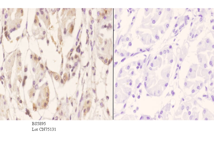
Anti-RGS10 Antibody (A28129)

$390

Rabbit polyclonal antibody to RGS10 for WB and IHC.

Shipping Information

$40
Dispatched from St. Louis, MO.
Lead Time: 7-10 business days.
Name
Anti-RGS10 Antibody
Description
Rabbit polyclonal antibody to RGS10
Specificity
RGS10 pAb detects endogenous levels of RGS10 protein.
Applications
WB, IHC
Reactivity
Human, Mouse, Rat
Immunogen
Synthetic peptide, corresponding to amino acids 357-402 of Human RGS10.
Host
Rabbit
Clonality
Polyclonal
Conjugate

Unconjugated

Molecular Weight
~ 20 kDa
Purity
The antibody was affinity-purified from rabbit antiserum by affinity-chromatography using epitope-specific immunogen and the purity is > 95% (by SDS-PAGE).
Product Form
1 mg/ml in Phosphate buffered saline (PBS) with 0.05% sodium azide, approx. pH 7.2.
Synonyms
Regulator of G-protein signaling 10
Disclaimer
This product is for research use only. It is not intended for diagnostic or therapeutic use.
Publishing research using Anti-RGS10 Antibody (A28129)? Please let us know so that we can list the citation on this page.

Alternative products to Anti-RGS10 Antibody (A28129)

Proteins predicted to interact with RGS10

Predicted protein interactions based upon String database. Revelancy score correlates with probability of interaction.
97.5% Relevancy Score
94.7% Relevancy Score
84.7% Relevancy Score
79.8% Relevancy Score
79.1% Relevancy Score
77.8% Relevancy Score
77.6% Relevancy Score
76.1% Relevancy Score
76% Relevancy Score