ISO 9001:2015 Certified
Live Customer Support
4.5/5 on Trustpilot
100% Quality Guarantee

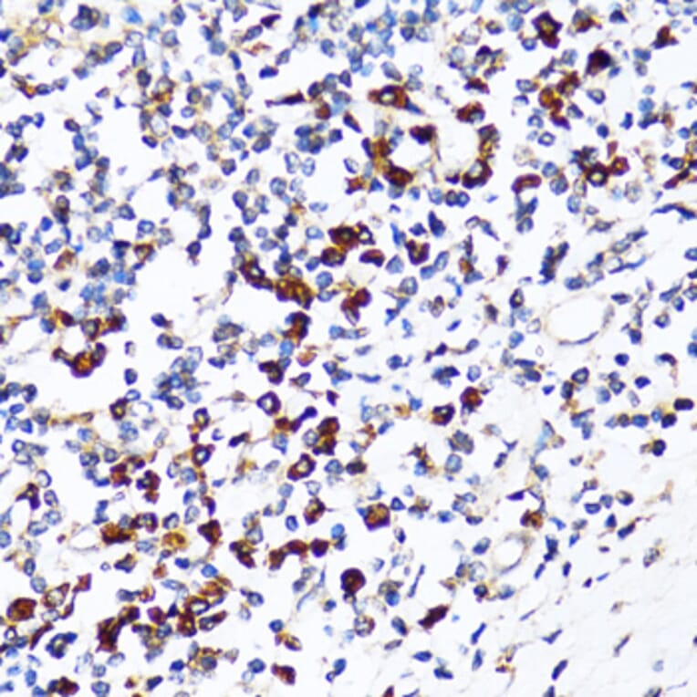
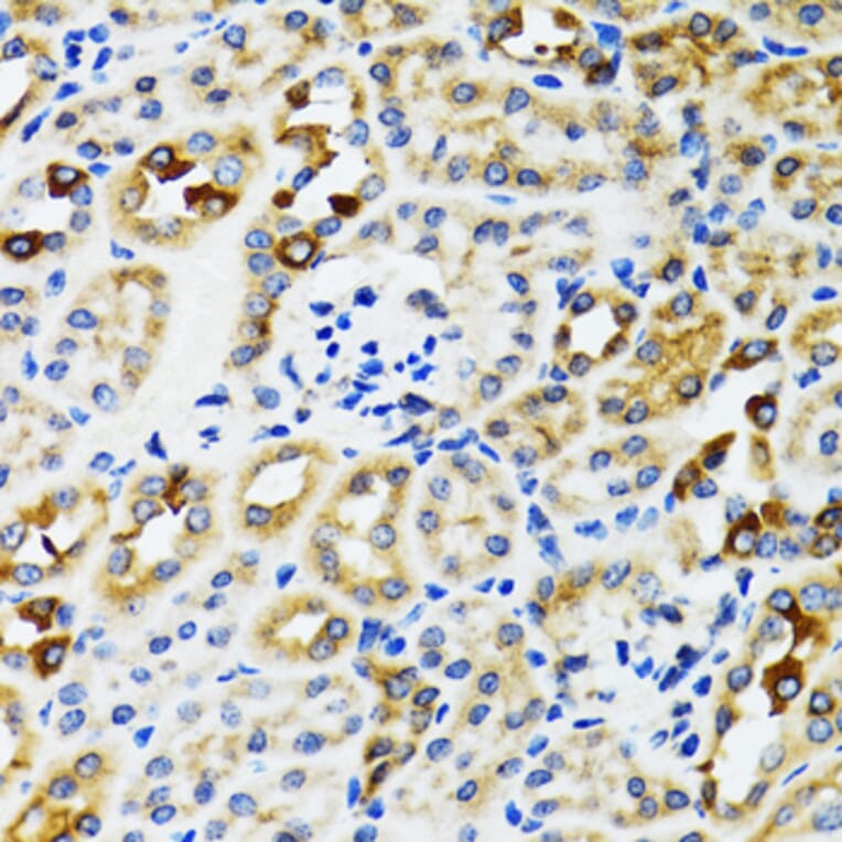
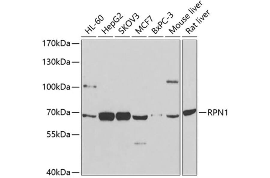
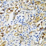
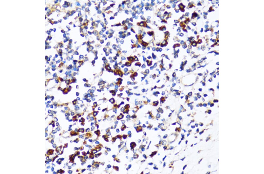
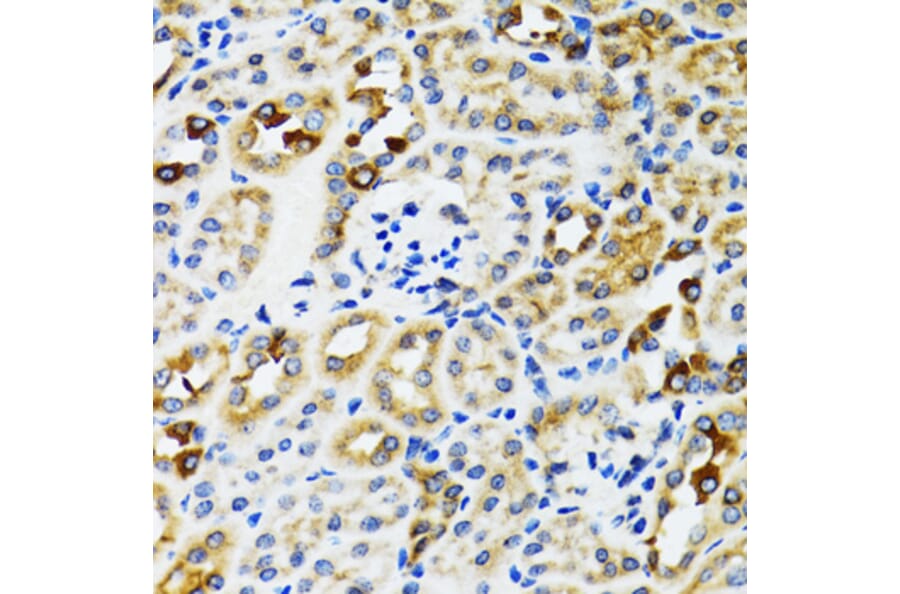
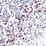
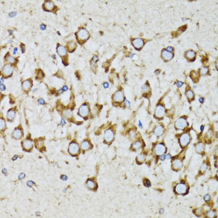
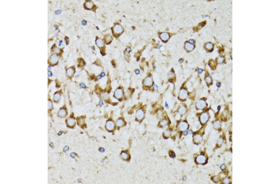
Anti-Ribophorin I Antibody (A90900)

Rabbit polyclonal antibody to Ribophorin I for WB and IHC.

Shipping Information

$40
Dispatched from St. Louis, MO.
Lead Time: 7-10 business days.
Name
Anti-Ribophorin I Antibody
Description
Rabbit polyclonal antibody to Ribophorin I.
Applications
WB, IHC
Dilutions
WB: 1:500-1:2,000, IHC: 1:50-1:200
Reactivity
Human, Mouse, Rat
Immunogen
Recombinant fusion protein containing a sequence corresponding to amino acids 20-280 of human RPN1 (NP_002941.1).
Sequence
APGSASSEAPPLINEDVKRTVDLSSHLAKVTAEVVLAHLGGGSTSRATSFLLALEPELEARLAHLGVQVKGEDEEENNLEVRETKIKGKSGRFFTVKLPVALDPGAKISVIVETVYTHVLHPYPTQITQSEKQFVVFEGNHYFYSPYPTKTQTMRVKLASRNVESYTKLGNPTRSEDLLDYGPFRDVPAYSQDTFKVHYENNSPFLTITSMTRVIEVSHWGNIAVEENVDLKHTGAVLKGPFSRYDYQRQPDSGISSIRSF
Host
Rabbit
Clonality
Polyclonal
Isotype
IgG
Conjugate

Unconjugated

Purification
Affinity purification.
Concentration
Lot Specific
Molecular Weight
68 kDa
Product Form
Liquid
Formulation
Supplied in Phosphate Buffered Saline, pH 7.3, with 50% Glycerol and 0.02% Sodium Azide.
Storage
Shipped at 4°C. Upon delivery aliquot and store at -20°C. Avoid freeze/thaw cycles.
Synonyms
Dolichyl-diphosphooligosaccharide--protein glycosyltransferase 67 kDa subunit, Dolichyl-diphosphooligosaccharide--protein glycosyltransferase subunit 1, Ribophorin-1, RPN-I, RPN1
Disclaimer
This product is for research use only. It is not intended for diagnostic or therapeutic use.
Publishing research using Anti-Ribophorin I Antibody (A90900)? Please let us know so that we can list the citation on this page.

Alternative products to Anti-Ribophorin I Antibody (A90900)

Proteins predicted to interact with Ribophorin I

Predicted protein interactions based upon String database. Revelancy score correlates with probability of interaction.
99.9% Relevancy Score
99.9% Relevancy Score
99.9% Relevancy Score
99.9% Relevancy Score
99.9% Relevancy Score
99.9% Relevancy Score
99.7% Relevancy Score
99.6% Relevancy Score
99% Relevancy Score