Primary Antibodies
Secondary Antibodies
Proteins & Peptides
ELISA Kits
About Us
Contact Us
Sign In/Register
0
ISO 9001:2015 Certified
Live Customer Support
4.5/5 on Trustpilot
100% Quality Guarantee
Home
Primary Antibodies
Ribophorin I Antibodies
Anti-RPN1 Antibody (A38708)
Anti-RPN1 Antibody (A38708)
Overview
Specifications
Images
Enlarge Image
Enlarge Image
$430
Product Datasheet
Rabbit polyclonal antibody to RPN1 for WB and IHC.
100% Guarantee
Price Match Guarantee
Product Size:
100µl
Quantity:
1
2
3
4
5
6
7
8
9
10
Add To Cart
Request a Quotation
Custom or Bulk Request
Shipping Information
Freight/Packing Charges:
$40
Dispatched from St. Louis, MO.
Lead Time: 6-9 business days.
Specifications
Name
Anti-RPN1 Antibody
Description
Rabbit polyclonal antibody to RPN1
Specificity
The antibody detects endogenous levels of total RPN1 protein.
Applications
WB
,
IHC
Reactivity
Human
Immunogen
Fusion protein corresponding to a region derived from internal residues of human ribophorin I
Host
Rabbit
Clonality
Polyclonal
Conjugate
Unconjugated
Purification
Antigen affinity purification.
Concentration
1.4 mg/mL
Formulation
Supplied in PBS, pH 7.3, containing 0.05% sodium azide and 50% glycerol.
Storage
Shipped at 4°C. Upon delivery aliquot and store at -20°C. Avoid freeze/thaw cycles.
Synonyms
Dolichyl-diphosphooligosaccharide--protein glycosyltransferase 67 kDa subunit, Dolichyl-diphosphooligosaccharide--protein glycosyltransferase subunit 1, Ribophorin-1, RPN-I
Suitable Secondaries
Goat Anti-Rabbit IgG H&L Antibody (AP) (A294874)
Goat Anti-Rabbit IgG H&L Antibody (Biotin) (A294795)
Goat Anti-Rabbit IgG H&L Antibody (FITC) (A294887)
Goat Anti-Rabbit IgG H&L Antibody (HRP) (A294888)
See all Anti-Rabbit IgG Secondaries →
Disclaimer
This product is for research use only. It is not intended for diagnostic or therapeutic use.
Scientific Validation Data
Validation Data
(2)
Enlarge Image
Anti-RPN1 Antibody (A38708)
Gel: 8% SDS-PAGE Lysates (from left to right): Hela and A549 cell, human liver cancer tissue Amount of lysate: 40ug per lane Primary antibody: 1/350 dilution Secondary antibody dilution: 1/8000 Exposure time: 30 seconds
Enlarge Image
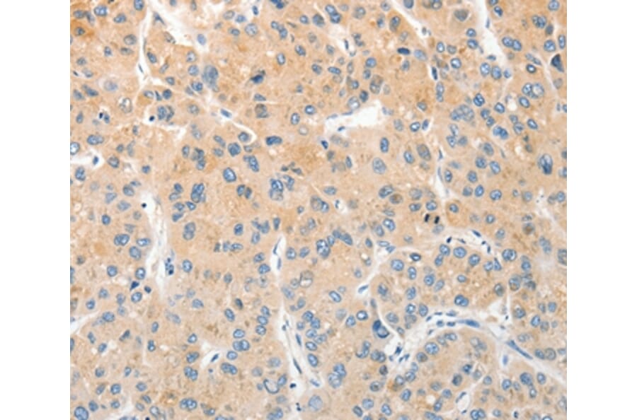
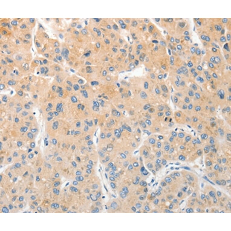
Immunohistochemistry - Anti-RPN1 Antibody (A38708)
Immunohistochemical analysis of paraffin-embedded Human liver cancer tissue using #36173 at dilution 1/30.
Publishing research using Anti-RPN1 Antibody (A38708)? Please
let us know
so that we can list the citation on this page.
Alternative products to Anti-RPN1 Antibody (A38708)
(4)
A90900
Anti-Ribophorin I Antibody
Rabbit polyclonal antibody to Ribophorin I for WB and IHC.
A329803
Anti-Ribophorin I Antibody
Rabbit polyclonal antibody to Ribophorin I for WB and ELISA.
A348199
Anti-Ribophorin I Antibody [24GB1090]
Recombinant rabbit monoclonal [24GB1090] antibody to Ribophorin I for WB, Flow Cytometry and ICC/IF.
A348200
Anti-Ribophorin I Antibody [24GB11970]
Recombinant rabbit monoclonal [24GB11970] antibody to Ribophorin I for WB, Flow Cytometry and ICC/IF.
A31555
Anti-RPN1 Antibody
Rabbit polyclonal antibody to RPN1 for WB and IHC.
A15350
Anti-Ribophorin I Antibody
Rabbit polyclonal antibody to Ribophorin I for WB and ICC/IF.
A44127
Anti-RPN1 Antibody
Rabbit polyclonal antibody to RPN1 for WB.
A285
Anti-Rpn1 Antibody
Rabbit polyclonal antibody to Rpn1 for WB.
(4)
A90900
Anti-Ribophorin I Antibody
Rabbit polyclonal antibody to Ribophorin I for WB and IHC.
A329803
Anti-Ribophorin I Antibody
Rabbit polyclonal antibody to Ribophorin I for WB and ELISA.
A348199
Anti-Ribophorin I Antibody [24GB1090]
Recombinant rabbit monoclonal [24GB1090] antibody to Ribophorin I for WB, Flow Cytometry and ICC/IF.
A348200
Anti-Ribophorin I Antibody [24GB11970]
Recombinant rabbit monoclonal [24GB11970] antibody to Ribophorin I for WB, Flow Cytometry and ICC/IF.
A31555
Anti-RPN1 Antibody
Rabbit polyclonal antibody to RPN1 for WB and IHC.
A15350
Anti-Ribophorin I Antibody
Rabbit polyclonal antibody to Ribophorin I for WB and ICC/IF.
A44127
Anti-RPN1 Antibody
Rabbit polyclonal antibody to RPN1 for WB.
A285
Anti-Rpn1 Antibody
Rabbit polyclonal antibody to Rpn1 for WB.
See all RPN1 Antibodies
Proteins predicted to interact with Ribophorin I
Predicted protein interactions based upon String database. Revelancy score correlates with probability of interaction.
SEC61A Antibodies
99.9% Relevancy Score
STT3B Antibodies
99.9% Relevancy Score
MAGT1 Antibodies
99.9% Relevancy Score
DDOST Antibodies
99.9% Relevancy Score
DAD1 Antibodies
99.9% Relevancy Score
RPN2 Antibodies
99.9% Relevancy Score
Malectin Antibodies
99.7% Relevancy Score
TUSC3 Antibodies
99.6% Relevancy Score
SEC61B Antibodies
99% Relevancy Score
Top