ISO 9001:2015 Certified
Live Customer Support
4.5/5 on Trustpilot
100% Quality Guarantee

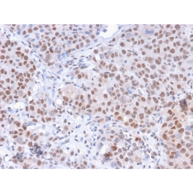
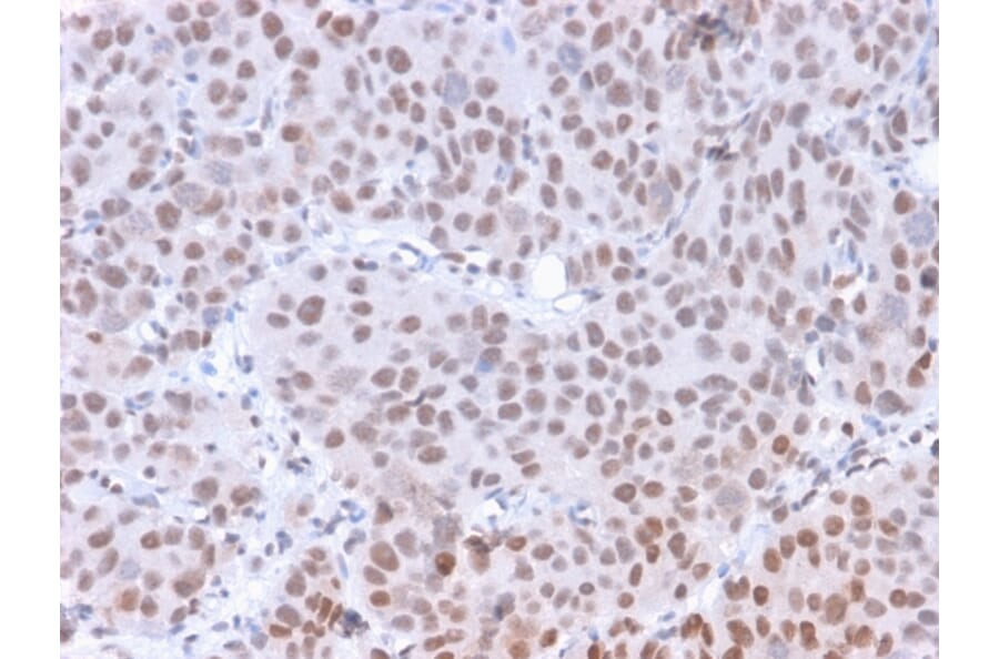
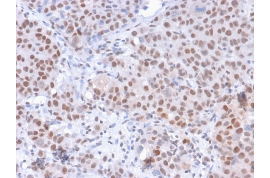
Anti-RNA Polymerase II CTD repeat YSPTSPS (phospho Ser5) Antibody [CTD 8A7] - BSA and Azide free (A254333)

Mouse monoclonal [CTD 8A7] antibody to RNA Polymerase II CTD repeat YSPTSPS (phospho Ser5) for Flow Cytometry, IF, WB and IHC-P.

Alternative Formats and ConjugatesAlternative Formats

Shipping Information

$40
Dispatched from St. Louis, MO.
Lead Time: 5-8 business days.
Name
Anti-RNA Polymerase II CTD repeat YSPTSPS (phospho Ser5) Antibody [CTD 8A7] - BSA and Azide free
Description
Mouse monoclonal [CTD 8A7] antibody to RNA Polymerase II CTD repeat YSPTSPS (phospho Ser5).
Specificity
RNA polymerase II (Pol II) is an enzyme that is composed of 12 subunits and is responsible for the transcription of protein-coding genes. Transcription initiation requires Pol II-mediated recruitment of transcription machinery to a target promoter, thereby allowing transcription to begin. The largest subunit of Pol II (referred to as RPB1 or RPB205) is a 1,840 amino acid protein that contains one C2H2-type zinc finger and a C-terminal domain comprised of several heptapeptide repeats. Although Pol II function requires the cooperation of all twelve subunits, the largest subunit conveys Pol II catalytic activity and, together with the second largest subunit, forms the active center of the Pol II enzyme. Additionally, the large subunit participates in forming the DNA-binding domain of Pol II, a groove that is necessary for transcription of the DNA template. Without proper function of the large subunit, mRNA synthesis and subsequent transcription elongation cannot occur.
Applications
Flow Cytometry, IF, WB, IHC-P
Dilutions
Flow Cytometry: 1-2 µg/million cells, IF: 1-2 µg/ml, WB: 1-2 µg/ml, IHC-P: 1-2 µg/ml
Reactivity
Human, Saccharomyces cerevisiae
Immunogen
Ten repeats of synthetic peptide YSPTSPS using chemically synthesized phospho Ser5.
Host
Mouse
Clonality
Monoclonal
Clone ID
CTD 8A7
Isotype
IgM
Light Chains
kappa
Conjugate

Unconjugated

Concentration
1 mg/ml
Product Form
Liquid
Formulation
Supplied in 10mM Phosphate Buffered Saline; without Sodium Azide and carrier free.
Storage
Shipped at 4°C. Upon delivery aliquot and store at -20°C. Avoid freeze / thaw cycles.
General Notes
This monoclonal antibody is also available in a different formulation with BSA and Sodium Azide - Anti-RNA Polymerase II CTD repeat YSPTSPS (phospho Ser5) Antibody [CTD 8A7] (A251056).
Synonyms
DNA directed RNA polymerase II A, DNA-directed RNA polymerase II largest subunit RNA polymerase II 220 kd subunit, DNA-directed RNA polymerase II subunit A, DNA-directed RNA polymerase II subunit RPB1, DNA-directed RNA polymerase III largest subunit, hRPB220, hsRPB1, POLR2, Polr2a, POLRA, Polymerase (RNA) II (DNA directed) polypeptide A, Polymerase (RNA) II (DNA directed) polypeptide A 220kDa, RNA polymerase II subunit B1, RNA-directed RNA polymerase II subunit RPB1, RPB1, RPB1_HUMAN, RPBh1, RpIILS, RPO2, RPOL2
Isotype Controls
Disclaimer
This product is for research use only. It is not intended for diagnostic or therapeutic use.
Publishing research using Anti-RNA Polymerase II CTD repeat YSPTSPS (phospho Ser5) Antibody [CTD 8A7] - BSA and Azide free (A254333)? Please let us know so that we can list the citation on this page.

Alternative products to Anti-RNA Polymerase II CTD repeat YSPTSPS (phospho Ser5) Antibody [CTD 8A7] - BSA and Azide free (A254333)