Robo1 expression in HeLa cells analyzed by immunofluorescence. Cells were permeabilized with 0.15% Triton. Staining was performed with Anti-Robo1 Antibody (A83460) at 10µg/ml for 1 hour and Alexa Fluor 488 secondary antibody at 2µg/ml. Golgi apparatus and plasma membrane staining shown and nuclei were stained with DAPI (blue). Negative control: Goat IgG Isotype Control at 10µg/ml followed by Alexa Fluor 488 secondary antibody at 2µg/ml.
Robo1 expression in U2OS cells analyzed by immunofluorescence. Cells were permeabilized with 0.15% Triton. Staining was performed with Anti-Robo1 Antibody (A83460) at 10µg/ml for 1 hour and Alexa Fluor 488 secondary antibody at 2µg/ml. Plasma membrane and ER staining shown and nuclei were stained with DAPI (blue). Negative control: Goat IgG Isotype Control at 10µg/ml followed by Alexa Fluor 488 secondary antibody at 2µg/ml.
Robo1 expression in Human Cortex analyzed by immunohistochemistry. Tissue was paraffin-embedded, and antigen retrieval was achieved by heating in citrate buffer, pH 6. Staining was performed with Anti-Robo1 Antibody (A83460) at 5µg/ml and revealed with horseradish peroxidase (HRP).
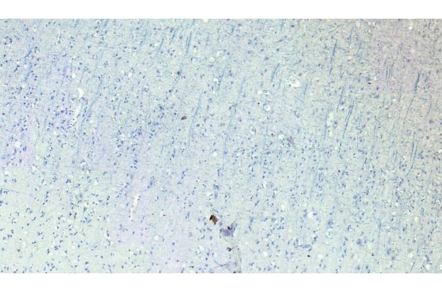
Negative control for Robo1 expression in Human Cortex analyzed by immunohistochemistry. Tissue was paraffin-embedded, and staining procedure was performed in the absence of primary antibody.
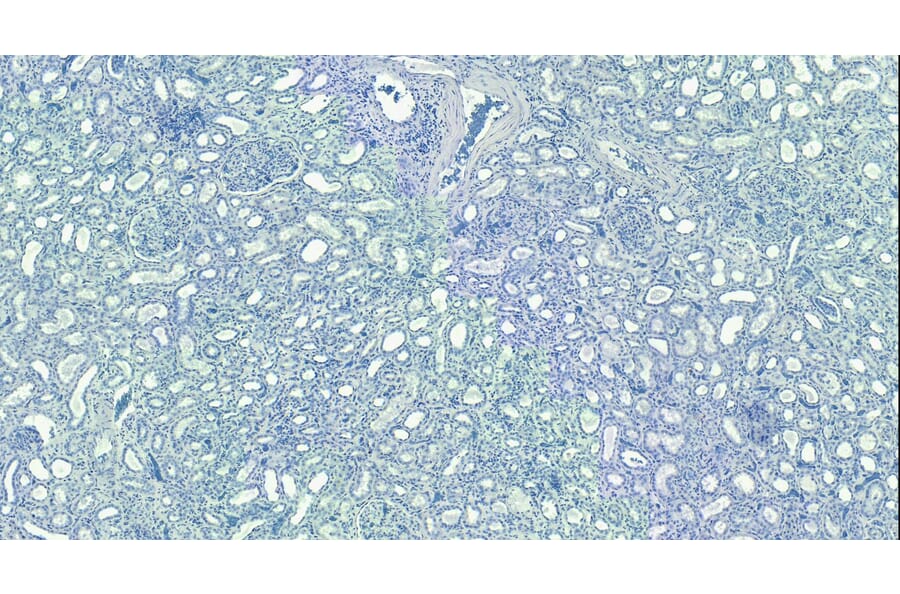
Robo1 expression in Human Kidney analyzed by immunohistochemistry. Tissue was paraffin-embedded, and antigen retrieval was achieved by heating in citrate buffer, pH 6. Staining was performed with Anti-Robo1 Antibody (A83460) at 6µg/ml and revealed with horseradish peroxidase (HRP).
Negative control for Robo1 expression in Human Kidney analyzed by immunohistochemistry. Tissue was paraffin-embedded, and staining procedure was performed in the absence of primary antibody.