Primary Antibodies
Secondary Antibodies
Proteins & Peptides
ELISA Kits
About Us
Contact Us
Sign In/Register
0
ISO 9001:2015 Certified
Live Customer Support
4.5/5 on Trustpilot
100% Quality Guarantee
Home
Primary Antibodies
RYR2 Antibodies
Anti-RyR2 Antibody (A97762)
Anti-RyR2 Antibody (A97762)
Overview
Specifications
Images
Enlarge Image
Enlarge Image
$200
Product Datasheet
Rabbit polyclonal antibody to RyR2 for IHC and ELISA.
100% Guarantee
Price Match Guarantee
Product Size:
10µg
100µg
Quantity:
1
2
3
4
5
6
7
8
9
10
Add To Cart
Request a Quotation
Custom or Bulk Request
Shipping Information
Freight/Packing Charges:
$40
Dispatched from St. Louis, MO.
Lead Time: 6-8 business days.
Specifications
Name
Anti-RyR2 Antibody
Description
Rabbit polyclonal antibody to RyR2.
Applications
IHC
,
ELISA
Dilutions
IHC: 1:50~1:100, ELISA: 1:1000
Reactivity
Human, Mouse, Rat
Immunogen
Synthetic peptide derived from human RyR2 (amino acids 2774-2823).
Host
Rabbit
Clonality
Polyclonal
Isotype
IgG
Conjugate
Unconjugated
Purification
Purified from rabbit serum by antigen affinity chromatography using the immunizing peptide.
Molecular Weight
564kDa
Product Form
Liquid
Formulation
Supplied in Phosphate Buffered Saline (without Mg2+ and Ca2+), pH 7.4, with 150mM NaCl, 0.02% Sodium Azide, and 50% Glycerol.
Storage
Shipped at 4°C. Upon delivery aliquot and store at -20°C. Avoid freeze / thaw cycles.
Synonyms
Cardiac muscle ryanodine receptor, Cardiac muscle ryanodine receptor-calcium release channel, hRYR-2, Ryanodine receptor 2, RYR-2, Type 2 ryanodine receptor
Isotype Controls
Rabbit IgG (A82272)
Rabbit IgG (A17360)
Suitable Secondaries
Goat Anti-Rabbit IgG H&L Antibody (AP) (A294874)
Goat Anti-Rabbit IgG H&L Antibody (Biotin) (A294795)
Goat Anti-Rabbit IgG H&L Antibody (FITC) (A294887)
Goat Anti-Rabbit IgG H&L Antibody (HRP) (A294888)
See all Anti-Rabbit IgG Secondaries →
Disclaimer
This product is for research use only. It is not intended for diagnostic or therapeutic use.
Scientific Validation Data
Validation Data
(2)
Enlarge Image
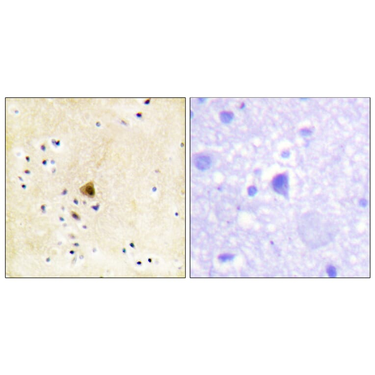
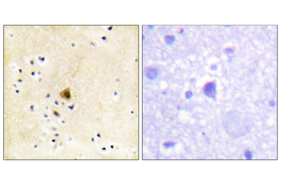
Immunohistochemistry - Anti-RyR2 Antibody (A97762)
Immunohistochemical analysis of paraffin-embedded human brain tissue using Anti-RyR2 Antibody. The right hand panel represents a negative control, where the antibody was pre-incubated with the immunising peptide.
Enlarge Image
Western Blot - Anti-RyR2 Antibody (A97762)
Western blot analysis of HepG2 UV mouse brain AD293 PC 3 cells using Anti-RyR2 Antibody.
Publishing research using Anti-RyR2 Antibody (A97762)? Please
let us know
so that we can list the citation on this page.
Alternative products to Anti-RyR2 Antibody (A97762)
A93691
Anti-RyR2 (phospho Ser2808) Antibody
Rabbit polyclonal antibody to RyR2 (phospho Ser2808) for IHC and ELISA.
(4)
A329818
Anti-RYR2 Antibody
Rabbit polyclonal antibody to RYR2 for WB, IHC-P, ICC/IF and ELISA.
A34455
Anti-RyR-2 Antibody
Rabbit polyclonal antibody to RyR-2 for WB, IHC, IF and ELISA.
A27565
Anti-RyR2 (phospho-S2808) Antibody
Rabbit polyclonal antibody to RyR2 (phospho-S2808) for IHC.
A25788
Anti-RyR2 (N2802) Antibody
Rabbit polyclonal antibody to RyR2 (N2802) for IHC and IF.
A93691
Anti-RyR2 (phospho Ser2808) Antibody
Rabbit polyclonal antibody to RyR2 (phospho Ser2808) for IHC and ELISA.
(4)
A329818
Anti-RYR2 Antibody
Rabbit polyclonal antibody to RYR2 for WB, IHC-P, ICC/IF and ELISA.
A34455
Anti-RyR-2 Antibody
Rabbit polyclonal antibody to RyR-2 for WB, IHC, IF and ELISA.
A27565
Anti-RyR2 (phospho-S2808) Antibody
Rabbit polyclonal antibody to RyR2 (phospho-S2808) for IHC.
A25788
Anti-RyR2 (N2802) Antibody
Rabbit polyclonal antibody to RyR2 (N2802) for IHC and IF.
See all RYR2 Antibodies
Proteins predicted to interact with RYR2
Predicted protein interactions based upon String database. Revelancy score correlates with probability of interaction.
CALML6 Antibodies
99.9% Relevancy Score
CALML5 Antibodies
99.9% Relevancy Score
Aspartate beta Hydroxylase Antibodies
99.8% Relevancy Score
Calsequestrin 2 Antibodies
99.8% Relevancy Score
PKA C alpha Antibodies
99.4% Relevancy Score
PRKACG Antibodies
99.3% Relevancy Score
PRKACB Antibodies
99.3% Relevancy Score
AKAP6 Antibodies
99.2% Relevancy Score
FKBP12 Antibodies
98.2% Relevancy Score
Top