ISO 9001:2015 Certified
Live Customer Support
4.5/5 on Trustpilot
100% Quality Guarantee

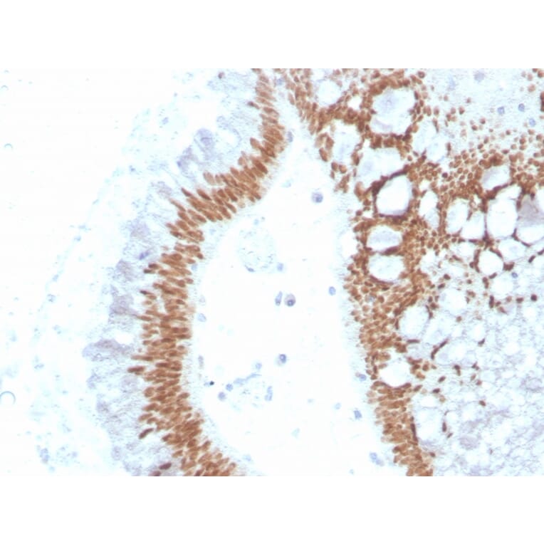
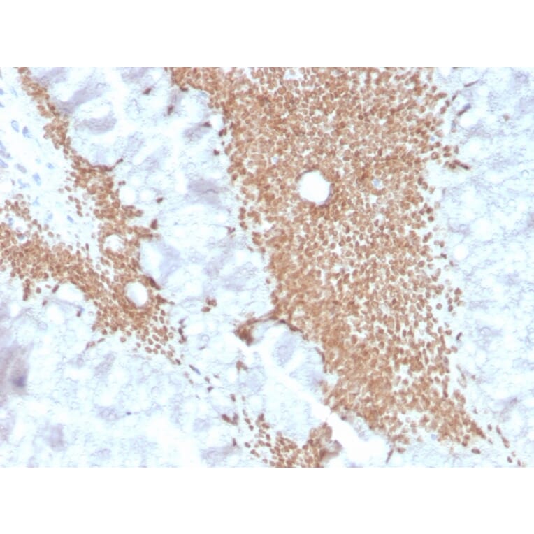
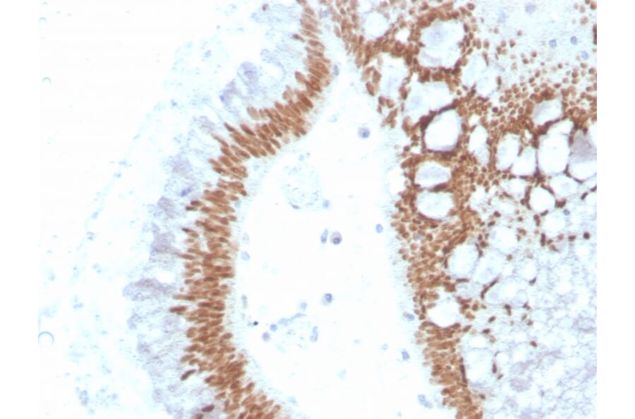
Recombinant Anti-SATB2 Antibody [SATB2/4374R] - BSA and Azide free (A251760)

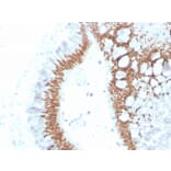
Recombinant rabbit monoclonal [SATB2/4374R] antibody to SATB2 for IHC-P.

Alternative Formats and ConjugatesAlternative Formats

Shipping Information

$40
Dispatched from St. Louis, MO.
Lead Time: 5-8 business days.
Name
Anti-SATB2 Antibody [SATB2/4374R] - BSA and Azide free
Description
Recombinant rabbit monoclonal [SATB2/4374R] antibody to SATB2.
Specificity
SATB2 is a DNA binding protein that specifically binds nuclear matrix attachment regions. It is involved in transcription regulation and chromatin remodeling. SATB2 expression in colorectal carcinomas (CRC) is correlated with good prognosis and in laryngeal squamous cell carcinoma it functions as a tumor suppressor wherein loss of expression is positively correlated with high tumor grade and recurrence. Moreover, SATB2, in combination with CK20, could identify almost all CRC s. Upper gastrointestinal (GI) carcinomas and pancreatic ductal carcinomas are usually negative for SATB2, and ovarian carcinomas, lung adenocarcinomas, and adenocarcinomas from other origin are rarely positive for SATB2. Additionally, SATB2 antibody can identify neuroendocrine neoplasms of colon and rectum because SATB2 is usually negative in neuroendocrine neoplasms of the GI tract, pancreas, and lung. More recently, it has been reported that SATB2 is a sensitive marker for tumors with osteoblastic differentiation.
Applications
IHC-P
Dilutions
IHC-P: 1-2 µg/ml
Reactivity
Human
Immunogen
Synthetic peptide corresponding to amino acids within 200-300 of human SATB2.
Host
Rabbit
Clonality
Monoclonal
Clone ID
SATB2/4374R
Isotype
IgG
Conjugate

Unconjugated

Purification
Protein A/G chromatography.
Concentration
1 mg/ml
Molecular Weight
83 kDa
Product Form
Liquid
Formulation
Supplied in 10mM Phosphate Buffered Saline; without Sodium Azide and carrier free.
Storage
Shipped at 4°C. Upon delivery aliquot and store at -20°C. Avoid freeze / thaw cycles.
General Notes
This monoclonal antibody is also available in a different formulation with BSA and Sodium Azide - Anti-SATB2 Antibody [SATB2/4374R] (A248578).
Synonyms
DNA-binding protein SATB2, KIAA1034, Special AT-rich sequence-binding protein 2
Disclaimer
This product is for research use only. It is not intended for diagnostic or therapeutic use.
Publishing research using Recombinant Anti-SATB2 Antibody [SATB2/4374R] - BSA and Azide free (A251760)? Please let us know so that we can list the citation on this page.

Alternative products to Anti-SATB2 Antibody [SATB2/4374R] - BSA and Azide free (A251760)

Proteins predicted to interact with SATB2

Predicted protein interactions based upon String database. Revelancy score correlates with probability of interaction.
89.8% Relevancy Score
88.2% Relevancy Score
84.8% Relevancy Score
81% Relevancy Score
75.5% Relevancy Score
75.5% Relevancy Score
74.2% Relevancy Score
73.5% Relevancy Score
73.1% Relevancy Score