ISO 9001:2015 Certified
Live Customer Support
4.5/5 on Trustpilot
100% Quality Guarantee

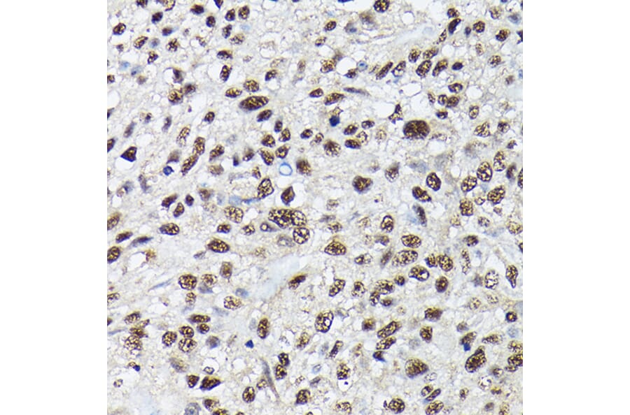
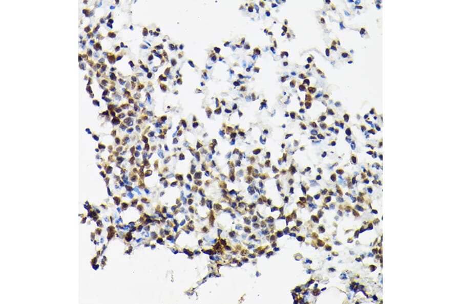
Anti-SC35 Antibody (A11667)

Rabbit polyclonal antibody to SC35 for WB and IHC.

Shipping Information

$40
Dispatched from St. Louis, MO.
Lead Time: 7-10 business days.
Name
Anti-SC35 Antibody
Description
Rabbit polyclonal antibody to SC35.
Applications
WB, IHC
Dilutions
WB: 1:500-1:2,000, IHC: 1:50-1:200
Reactivity
Human, Mouse, Rat
Immunogen
A synthetic peptide corresponding to a sequence within amino acids 1-100 of human SRSF2 (NP_003007.2).
Sequence
MSYGRPPPDVEGMTSLKVDNLTYRTSPDTLRRVFEKYGRVGDVYIPRDRYTKESRGFAFVRFHDKRDAEDAMDAMDGAVLDGRELRVQMARYGRPPDSHH
Host
Rabbit
Clonality
Polyclonal
Isotype
IgG
Conjugate

Unconjugated

Purification
Affinity purification.
Concentration
Lot Specific
Molecular Weight
28 kDa / 32 kDa
Product Form
Liquid
Formulation
Supplied in Phosphate Buffered Saline, pH 7.3, with 50% Glycerol and 0.01% Thiomersal.
Storage
Shipped at 4°C. Upon delivery aliquot and store at -20°C. Avoid freeze/thaw cycles.
Synonyms
35 kDa, arginine/serine-rich 2, PR264, Protein PR264, SC 35, SC-35, Serine/arginine-rich splicing factor 2, SFRS 2, SFRS2, SFRS2A, Splicing component, Splicing component 35 kDa, Splicing factor, Splicing factor arginine/serine rich 2, Splicing factor SC35, Splicing speckle, Splicing speckles, SR splicing factor 2, SRp30b, SRSF2, SRSF2_HUMAN
Disclaimer
This product is for research use only. It is not intended for diagnostic or therapeutic use.
Publishing research using Anti-SC35 Antibody (A11667)? Please let us know so that we can list the citation on this page.

Alternative products to Anti-SC35 Antibody (A11667)