Primary Antibodies
Secondary Antibodies
Proteins & Peptides
ELISA Kits
About Us
Contact Us
Sign In/Register
0
ISO 9001:2015 Certified
Live Customer Support
4.5/5 on Trustpilot
100% Quality Guarantee
Home
Primary Antibodies
Nav1.7 Antibodies
Anti-SCN9A Antibody (A96994)
Anti-SCN9A Antibody (A96994)
Overview
Specifications
Images
Enlarge Image
Enlarge Image
$190
Product Datasheet
Rabbit polyclonal antibody to SCN9A for IHC and ELISA.
100% Guarantee
Price Match Guarantee
Product Size:
10µg
100µg
Quantity:
1
2
3
4
5
6
7
8
9
10
Add To Cart
Request a Quotation
Custom or Bulk Request
Shipping Information
Freight/Packing Charges:
$40
Dispatched from St. Louis, MO.
Lead Time: 6-8 business days.
Specifications
Name
Anti-SCN9A Antibody
Description
Rabbit polyclonal antibody to SCN9A.
Applications
IHC
,
ELISA
Dilutions
IHC: 1:50~1:100, ELISA: 1:40000
Reactivity
Human, Mouse, Rat
Immunogen
Synthetic peptide derived from human SCN9A (amino acids 651-700).
Host
Rabbit
Clonality
Polyclonal
Isotype
IgG
Conjugate
Unconjugated
Purification
Purified from rabbit serum by antigen affinity chromatography using the immunizing peptide.
Molecular Weight
226kDa
Product Form
Liquid
Formulation
Supplied in Phosphate Buffered Saline (without Mg2+ and Ca2+), pH 7.4, with 150mM NaCl, 0.02% Sodium Azide, and 50% Glycerol.
Storage
Shipped at 4°C. Upon delivery aliquot and store at -20°C. Avoid freeze / thaw cycles.
Synonyms
hNE-Na, NENA, Neuroendocrine sodium channel, Peripheral sodium channel 1, PN1, SCN9A, Sodium channel protein type 9 subunit alpha, Sodium channel protein type IX subunit alpha, Voltage-gated sodium channel subunit alpha Nav1.7
Isotype Controls
Rabbit IgG (A82272)
Rabbit IgG (A17360)
Suitable Secondaries
Goat Anti-Rabbit IgG H&L Antibody (AP) (A294874)
Goat Anti-Rabbit IgG H&L Antibody (Biotin) (A294795)
Goat Anti-Rabbit IgG H&L Antibody (FITC) (A294887)
Goat Anti-Rabbit IgG H&L Antibody (HRP) (A294888)
See all Anti-Rabbit IgG Secondaries →
Disclaimer
This product is for research use only. It is not intended for diagnostic or therapeutic use.
Scientific Validation Data
Validation Data
(2)
Enlarge Image
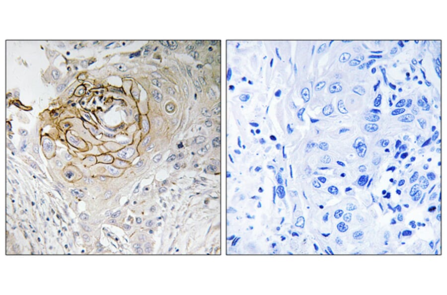
Immunohistochemistry - Anti-SCN9A Antibody (A96994)
Immunohistochemical analysis of paraffin-embedded human lung carcinoma tissue using Anti-SCN9A Antibody. The right hand panel represents a negative control, where the antibody was pre-incubated with the immunising peptide.
Enlarge Image
Western Blot - Anti-SCN9A Antibody (A96994)
Western blot analysis of various cells using Anti-SCN9A Antibody.
Publishing research using Anti-SCN9A Antibody (A96994)? Please
let us know
so that we can list the citation on this page.
Alternative products to Anti-SCN9A Antibody (A96994)
(5)
A304801
Anti-Nav1.7 Antibody [N68/6]
Mouse monoclonal [N68/6] antibody to Nav17 for WB, IHC, ICC/IF, IP and Antibody Microarray.
(2)
A324160
Anti-Nav1.7 Antibody [Research Grade Biosimilar] - Low endotoxin, Azide free
Recombinant human monoclonal antibody to Nav17 for ELISA, FACS, Functional Assay and In Vivo.
(2)
A37766
Anti-SCN9A Antibody
Rabbit polyclonal antibody to SCN9A for WB and IHC.
A340794
Anti-Nav1.7 Antibody [Duke anti-NAv1.7] Biosimilar - BSA and Azide free
Human antibody to Nav17 Research grade Duke anti-NAv17 biosimilar for ELISA, Flow Cytometry, Functional Studies and in vivo Research.
(5)
A304801
Anti-Nav1.7 Antibody [N68/6]
Mouse monoclonal [N68/6] antibody to Nav17 for WB, IHC, ICC/IF, IP and Antibody Microarray.
(2)
A324160
Anti-Nav1.7 Antibody [Research Grade Biosimilar] - Low endotoxin, Azide free
Recombinant human monoclonal antibody to Nav17 for ELISA, FACS, Functional Assay and In Vivo.
(2)
A37766
Anti-SCN9A Antibody
Rabbit polyclonal antibody to SCN9A for WB and IHC.
A340794
Anti-Nav1.7 Antibody [Duke anti-NAv1.7] Biosimilar - BSA and Azide free
Human antibody to Nav17 Research grade Duke anti-NAv17 biosimilar for ELISA, Flow Cytometry, Functional Studies and in vivo Research.
Proteins predicted to interact with Nav1.7
Predicted protein interactions based upon String database. Revelancy score correlates with probability of interaction.
SCN1B Antibodies
99.8% Relevancy Score
SCN2B Antibodies
99.5% Relevancy Score
pan Sodium Channel Antibodies
94.3% Relevancy Score
CALHM1 Antibodies
92.9% Relevancy Score
SCN4B Antibodies
87.8% Relevancy Score
GABRG2 Antibodies
86.4% Relevancy Score
MPV17 Antibodies
81% Relevancy Score
AGL Antibodies
81% Relevancy Score
SCN3B Antibodies
79.6% Relevancy Score
Top