ISO 9001:2015 Certified
Live Customer Support
4.5/5 on Trustpilot
100% Quality Guarantee

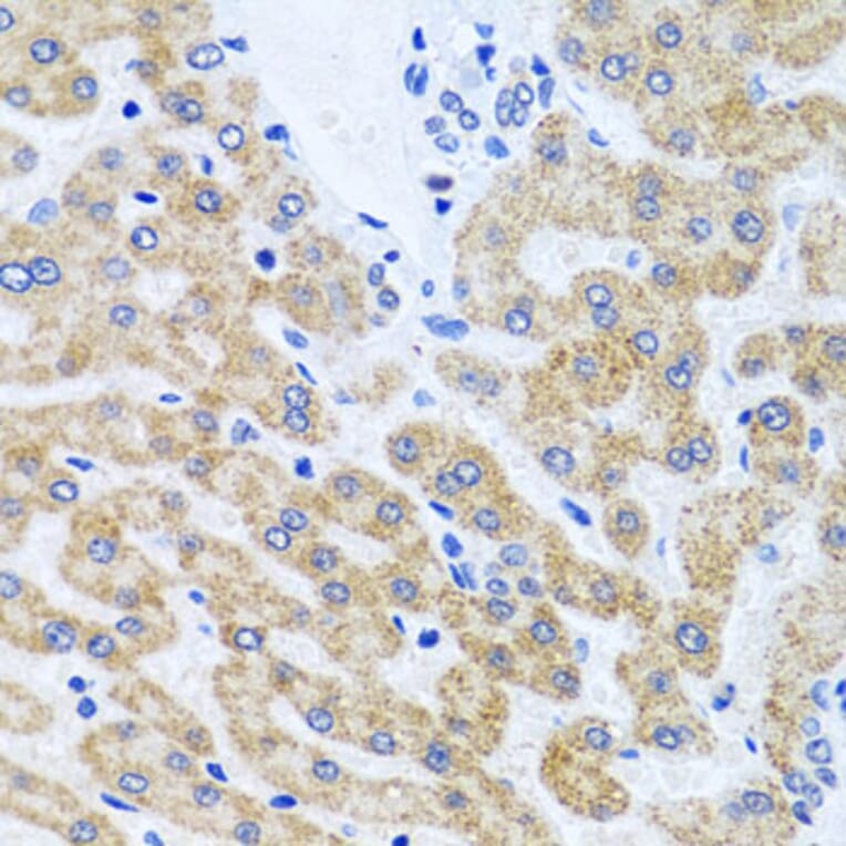
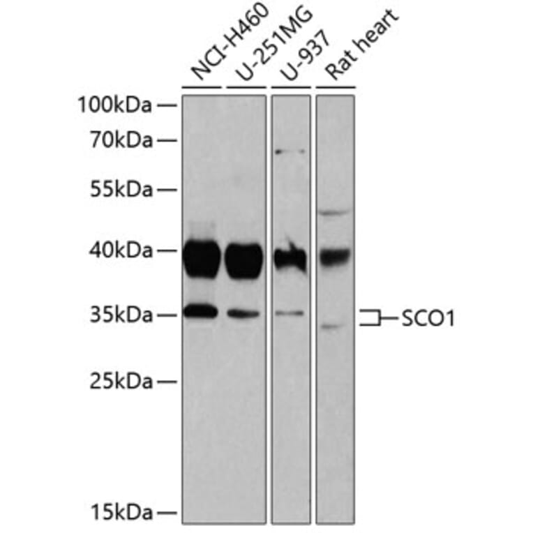
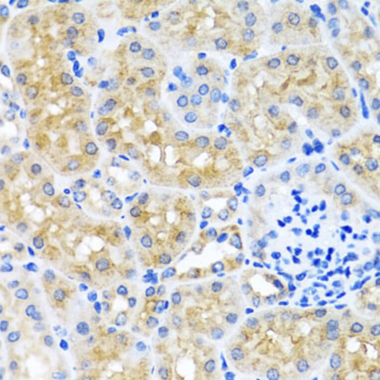
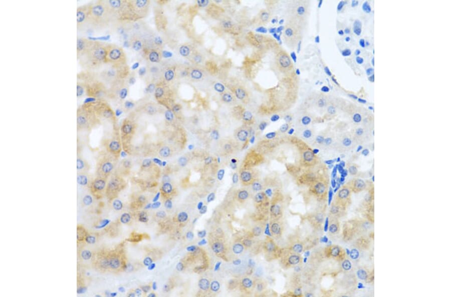
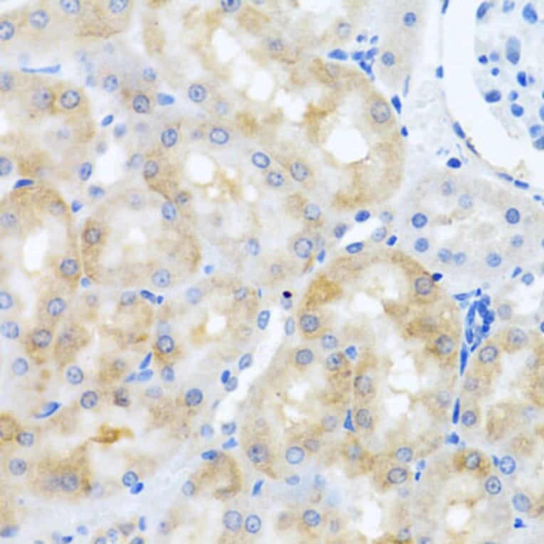
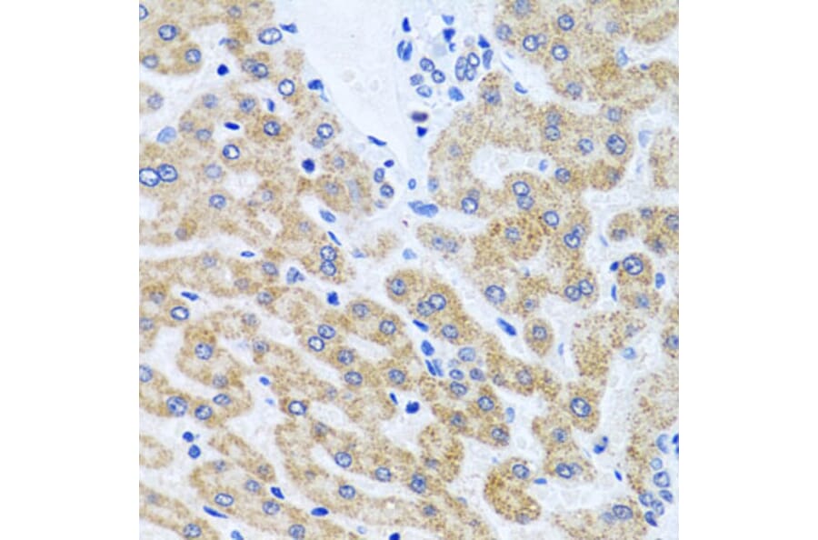
Anti-SCO1 Antibody (A15356)

Rabbit polyclonal antibody to SCO1 for WB and IHC.

Shipping Information

$40
Dispatched from St. Louis, MO.
Lead Time: 7-10 business days.
Name
Anti-SCO1 Antibody
Description
Rabbit polyclonal antibody to SCO1.
Applications
WB, IHC
Dilutions
WB: 1:500-1:2,000, IHC: 1:50-1:200
Reactivity
Human, Mouse, Rat
Immunogen
Recombinant fusion protein containing a sequence corresponding to amino acids 1-160 of human SCO1 (NP_004580.1).
Sequence
MAMLVLVPGRVMRPLGGQLWRFLPRGLEFWGPAEGTARVLLRQFCARQAEAWRASGRPGYCLGTRPLSTARPPPPWSQKGPGDSTRPSKPGPVSWKSLAITFAIGGALLAGMKHVKKEKAEKLEKERQRHIGKPLLGGPFSLTTHTGERKTDKDYLGQWL
Host
Rabbit
Clonality
Polyclonal
Isotype
IgG
Conjugate

Unconjugated

Purification
Affinity purification.
Concentration
Lot Specific
Molecular Weight
34 kDa
Product Form
Liquid
Formulation
Supplied in Phosphate Buffered Saline, pH 7.3, with 50% Glycerol and 0.02% Sodium Azide.
Storage
Shipped at 4°C. Upon delivery aliquot and store at -20°C. Avoid freeze/thaw cycles.
Synonyms
Protein SCO1 homolog, mitochondrial, SCOD1
Disclaimer
This product is for research use only. It is not intended for diagnostic or therapeutic use.
Publishing research using Anti-SCO1 Antibody (A15356)? Please let us know so that we can list the citation on this page.

Alternative products to Anti-SCO1 Antibody (A15356)

Proteins predicted to interact with SCO1

Predicted protein interactions based upon String database. Revelancy score correlates with probability of interaction.
99.6% Relevancy Score
99.4% Relevancy Score
98% Relevancy Score
97.4% Relevancy Score
96.7% Relevancy Score
96.4% Relevancy Score
96.1% Relevancy Score
91.9% Relevancy Score
87.9% Relevancy Score