Primary Antibodies
Secondary Antibodies
Proteins & Peptides
ELISA Kits
About Us
Contact Us
Sign In/Register
0
ISO 9001:2015 Certified
Live Customer Support
4.5/5 on Trustpilot
100% Quality Guarantee
Home
Primary Antibodies
SCO1 Antibodies
Anti-SCO1 Antibody (A48363)
Anti-SCO1 Antibody (A48363)
Overview
Specifications
Images
Enlarge Image
Enlarge Image
$780
Product Datasheet
Rabbit polyclonal antibody to SCO1 for ELISA, WB and IHC.
100% Guarantee
Price Match Guarantee
Product Size:
100µl
Quantity:
1
2
3
4
5
6
7
8
9
10
Add To Cart
Request a Quotation
Custom or Bulk Request
Shipping Information
Freight/Packing Charges:
$40
Dispatched from St. Louis, MO.
Lead Time: 6-9 business days.
Specifications
Name
Anti-SCO1 Antibody
Description
Rabbit polyclonal antibody to SCO1
Applications
ELISA
,
WB
,
IHC
Reactivity
Human, Mouse, Rat
Immunogen
Raised against a 14 amino acid peptide from near the center of human SCO1.
Host
Rabbit
Clonality
Polyclonal
Conjugate
Unconjugated
Purification
Affinity chromatography purified via peptide column
Formulation
Supplied in phosphate-buffered saline with 0.02% Sodium Azide.
Storage
Shipped at 4°C. Upon delivery aliquot and store at -20°C. Avoid freeze/thaw cycles.
Synonyms
Protein SCO1 homolog, mitochondrial, SCOD1
Suitable Secondaries
Goat Anti-Rabbit IgG H&L Antibody (AP) (A294874)
Goat Anti-Rabbit IgG H&L Antibody (Biotin) (A294795)
Goat Anti-Rabbit IgG H&L Antibody (FITC) (A294887)
Goat Anti-Rabbit IgG H&L Antibody (HRP) (A294888)
See all Anti-Rabbit IgG Secondaries →
Disclaimer
This product is for research use only. It is not intended for diagnostic or therapeutic use.
Scientific Validation Data
Validation Data
(2)
Enlarge Image
Anti-SCO1 Antibody (A48363)
Western blot analysis of SCO1 in human brain tissue lysate with SCO1 antibody at (A) 0.5 and (B) 1 µg/mL.
Enlarge Image
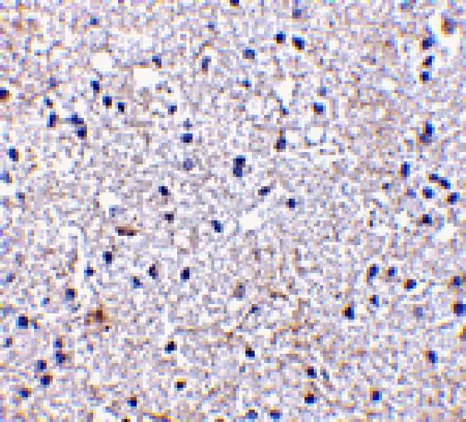
Immunohistochemistry - Anti-SCO1 Antibody (A48363)
Immunohistochemistry of SCO1 in human brain tissue with SCO1 antibody at 2.5 µg/mL.
Publishing research using Anti-SCO1 Antibody (A48363)? Please
let us know
so that we can list the citation on this page.
Alternative products to Anti-SCO1 Antibody (A48363)
(4)
A15356
Anti-SCO1 Antibody
Rabbit polyclonal antibody to SCO1 for WB and IHC.
(3)
A31560
Anti-SCO1 Antibody
Rabbit polyclonal antibody to SCO1 for WB and IHC.
(4)
A15356
Anti-SCO1 Antibody
Rabbit polyclonal antibody to SCO1 for WB and IHC.
(3)
A31560
Anti-SCO1 Antibody
Rabbit polyclonal antibody to SCO1 for WB and IHC.
Proteins predicted to interact with SCO1
Predicted protein interactions based upon String database. Revelancy score correlates with probability of interaction.
MTCO2 Antibodies
99.6% Relevancy Score
COX17 Antibodies
99.4% Relevancy Score
COX15 Antibodies
98% Relevancy Score
MTCO1 Antibodies
97.4% Relevancy Score
SURF1 Antibodies
96.7% Relevancy Score
COX10 Antibodies
96.4% Relevancy Score
COX11 Antibodies
96.1% Relevancy Score
COX6B1 Antibodies
91.9% Relevancy Score
UQCRFS1 Antibodies
87.9% Relevancy Score
Top