Immunofluorescent analysis of a rat brain cerebellum section stained with Anti-Secretagogin Antibody (A85357), dilution 1:1,000, in green, and co-stained with Anti-Calbindin Antibody (A85360), dilution 1:1,000, in red. The blue is DAPI staining of nuclear DNA. Following transcardial perfusion with 4% paraformaldehyde, the brain was post-fixed for 24 hours, cut to 45 µm, and free-floating sections were stained with the above antibodies. Anti-Secretagogin Antibody stains granule cells and interneurons while calbindin antibody reveals proteins expressed in dendrites and perikarya of Purkinje cells in the molecular layer of the cerebellum.
Western Blot - Anti-Secretagogin Antibody (A85357)
Western blot analysis of different tissue lysates using Anti-Secretagogin Antibody (A85357), dilution 1:1,000, in green. The lanes contain: [Lane 1] protein standard (red), [Lane 2] rat pancreas, [Lane 3] rat olfactory bulb, and [Lane 4] mouse olfactory bulb lysates. Bands at ~27 kDa correspond to secretagogin protein.
Adult mouse olfactory bulb floating section stained with Anti-Secretagogin Antibody, at a dilution of 1:1,000, in red, and Anti-Calretinin Antibody (A85365 | 1: 1,000, in green. Secretagogin is predominantly expressed in cells in external plexiform lay (EPL) and granular cell lay (GCL) in olfactory bulb. Secretagogin coexists with calretinin in some cells in GCL, so these cells appear yellow. Secretagogin is found in both cell body and processes. Blue is a DNA stain.
Western Blot - Anti-Secretagogin Antibody (A85357)
Blot of rat pancreas lysate probed with Anti-Secretagogin Antibody, at a dilution of 1:1,000). The antibody recognizes a clear band at ~27 kDa as expected.
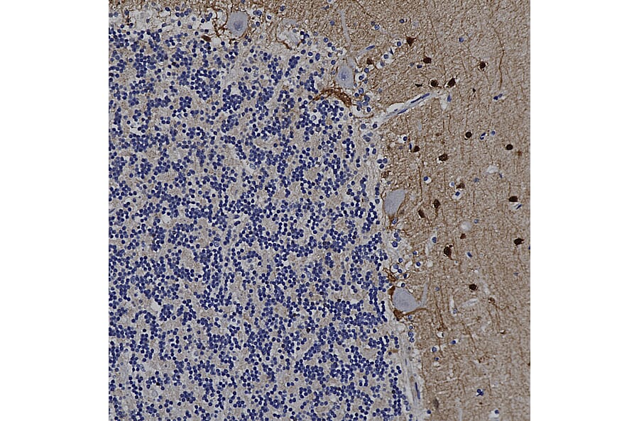
Immunohistochemistry analysis of a formalin fixed paraffin embedded human cerebellum section with Anti-Secretagogin Antibody (A85357) at a dilution of 1:2,000. Anti-Secretagogin Antibody (A85357) strongly labels basket cells and interneurons. Note: this antibody performs well in testing with both 4% PFA and standard NBF fixed rat, mouse and human tissues.
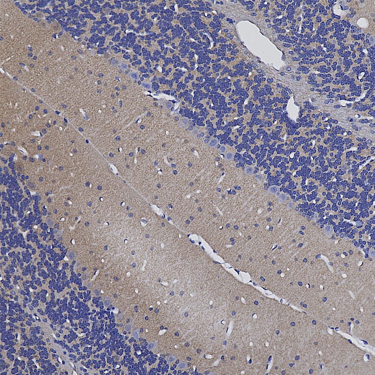
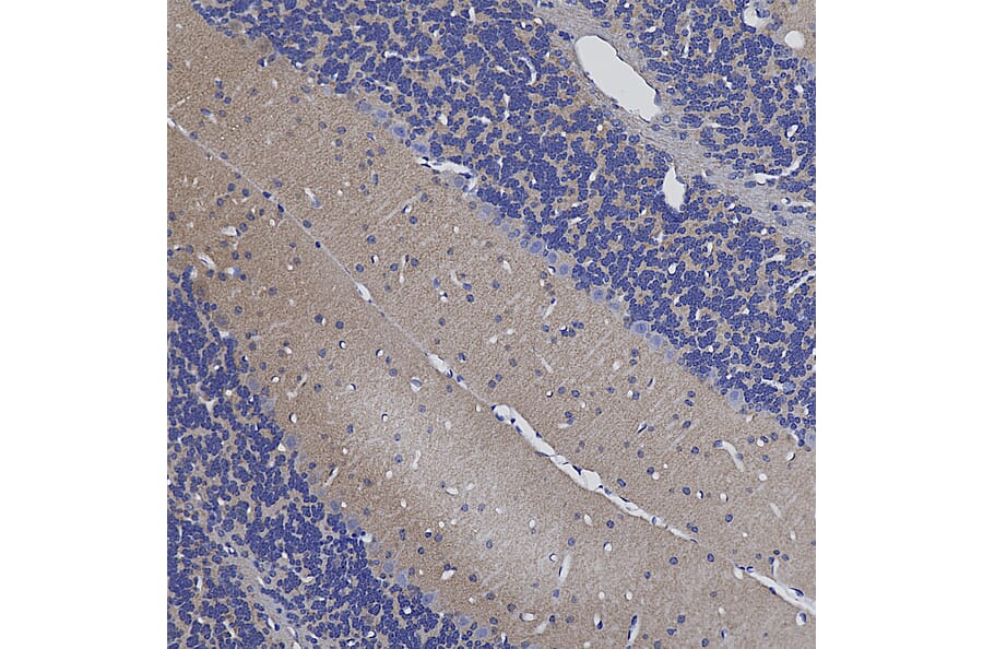
Immunohistochemistry analysis of a formalin fixed paraffin embedded mouse cerebellum section with Anti-Secretagogin Antibody (A85357) at a dilution of 1:2,000. Anti-Secretagogin Antibody (A85357) strongly labels basket cells and interneurons. Note: this antibody performs well in testing with both 4% PFA and standard NBF fixed rat, mouse and human tissues.