Reconstitute with 100µl of sterile double-distilled water to bring antibody to 1mg/ml concentration. Gently shake to solubilize completely. Do not vortex!
Formulation
Lyophilized from 25mM Histadine, pH 6.2, with 8% Sucrose and 0.01% Tween80.
Storage
Shipped at 4°C. Lyophilized: Store at -20°C to -80°C. Reconstituted: Aliquot and store at -80°C. Product is stable for one year. Avoid freeze/thaw cycles.
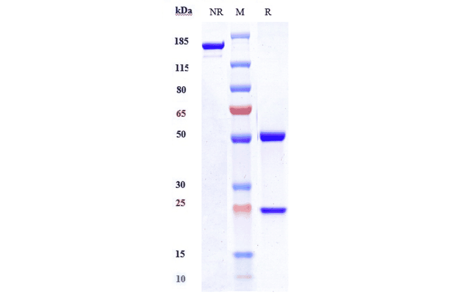
SDS-PAGE analysis of Secukinumab Biosimilar - Anti-IL-17A Antibody - Low endotoxin, Azide free (A323724) under reducing (R) conditions confirms that the purity of this antibody is greater than 95%.
SEC-HPLC analysis of Secukinumab Biosimilar - Anti-IL-17A Antibody - Low endotoxin, Azide free (A323724) confirms that the purity of this antibody is greater than 95%.
Immobilized recombinant human IL-17A protein (Fc tag) at 2 µg/ml is bound by Secukinumab Biosimilar - Anti-IL-17A Antibody - Low endotoxin, Azide free (A323724). EC50 = 0.04266 µg/ml.
Publishing research using Secukinumab Biosimilar - Anti-IL-17A Antibody - Low endotoxin, Azide free (A323724)? Please let us know so that we can list the citation on this page.
Alternative products to Secukinumab Biosimilar - Anti-IL-17A Antibody - Low endotoxin, Azide free (A323724)
Recombinant humanized monoclonal antibody to IL-17A for use as a research grade Ixekizumab biosimila for ELISA, Flow Cytometry, Functional Studies and in vivo Research.
Recombinant humanized monoclonal antibody to IL-17A for use as a research grade Xeligekimab biosimil for ELISA, Flow Cytometry, Functional Studies and in vivo Research.
Recombinant humanized monoclonal antibody to IL-17A for use as a research grade Gumokimab biosimilar for ELISA, Flow Cytometry, Functional Studies and in vivo Research.
Recombinant humanized monoclonal antibody to IL-17A for use as a research grade Netakimab biosimilar for ELISA, Flow Cytometry, Functional Studies and in vivo Research.
Recombinant human monoclonal antibody to IL-17A for use as a research grade Secukinumab biosimilar for ELISA, Flow Cytometry, Functional Studies and in vivo Research.
Recombinant humanized monoclonal antibody to IL-17A for use as a research grade Ixekizumab biosimila for ELISA, Flow Cytometry, Functional Studies and in vivo Research.
Recombinant humanized monoclonal antibody to IL-17A for use as a research grade Xeligekimab biosimil for ELISA, Flow Cytometry, Functional Studies and in vivo Research.
Recombinant humanized monoclonal antibody to IL-17A for use as a research grade Gumokimab biosimilar for ELISA, Flow Cytometry, Functional Studies and in vivo Research.
Recombinant humanized monoclonal antibody to IL-17A for use as a research grade Netakimab biosimilar for ELISA, Flow Cytometry, Functional Studies and in vivo Research.
Recombinant human monoclonal antibody to IL-17A for use as a research grade Secukinumab biosimilar for ELISA, Flow Cytometry, Functional Studies and in vivo Research.