Western blot analysis of various lysates, using Anti-IL-17A Antibody (A89567) at 1:2,000 dilution. The secondary antibody was Goat Anti-Rabbit IgG H&L Antibody (HRP) at 1:10,000 dilution. Lysates/proteins were present at 25µg per lane. The blocking buffer used was 3% non-fat dry milk in TBST. Detection was with a ECL Basic Kit. Exposure time: 60s.
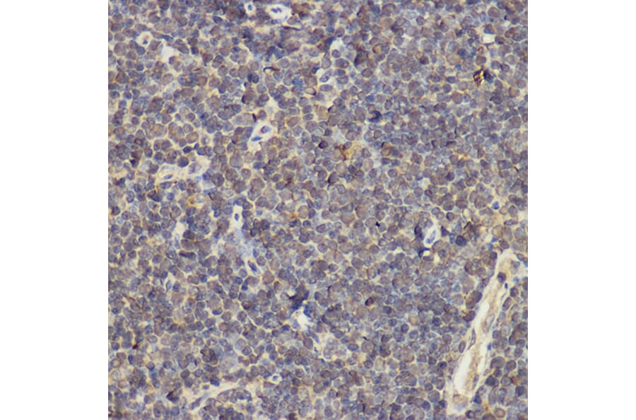
Immunohistochemistry analysis of paraffin-embedded human tonsil using Anti-IL-17A Antibody (A89567) at a dilution of 1:200 (40x lens). Perform high pressure antigen retrieval with 10 mM citrate buffer pH 6.0 before commencing with IHC staining protocol.
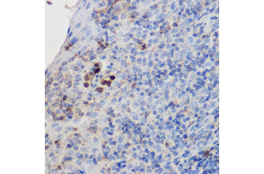
Immunohistochemistry analysis of paraffin-embedded mouse thymus using Anti-IL-17A Antibody (A89567) at a dilution of 1:200 (40x lens). Perform high pressure antigen retrieval with 10 mM citrate buffer pH 6.0 before commencing with IHC staining protocol.
Publishing research using Anti-IL-17A Antibody (A89567)? Please let us know so that we can list the citation on this page.
Alternative products to Anti-IL-17A Antibody (A89567)
Recombinant humanized monoclonal antibody to IL-17A for use as a research grade Ixekizumab biosimila for ELISA, Flow Cytometry, Functional Studies and in vivo Research.
Recombinant humanized monoclonal antibody to IL-17A for use as a research grade Xeligekimab biosimil for ELISA, Flow Cytometry, Functional Studies and in vivo Research.
Recombinant humanized monoclonal antibody to IL-17A for use as a research grade Gumokimab biosimilar for ELISA, Flow Cytometry, Functional Studies and in vivo Research.
Recombinant humanized monoclonal antibody to IL-17A for use as a research grade Netakimab biosimilar for ELISA, Flow Cytometry, Functional Studies and in vivo Research.
Recombinant human monoclonal antibody to IL-17A for use as a research grade Secukinumab biosimilar for ELISA, Flow Cytometry, Functional Studies and in vivo Research.
Recombinant humanized monoclonal antibody to IL-17A for use as a research grade Ixekizumab biosimila for ELISA, Flow Cytometry, Functional Studies and in vivo Research.
Recombinant humanized monoclonal antibody to IL-17A for use as a research grade Xeligekimab biosimil for ELISA, Flow Cytometry, Functional Studies and in vivo Research.
Recombinant humanized monoclonal antibody to IL-17A for use as a research grade Gumokimab biosimilar for ELISA, Flow Cytometry, Functional Studies and in vivo Research.
Recombinant humanized monoclonal antibody to IL-17A for use as a research grade Netakimab biosimilar for ELISA, Flow Cytometry, Functional Studies and in vivo Research.
Recombinant human monoclonal antibody to IL-17A for use as a research grade Secukinumab biosimilar for ELISA, Flow Cytometry, Functional Studies and in vivo Research.