ISO 9001:2015 Certified
Live Customer Support
4.5/5 on Trustpilot
100% Quality Guarantee

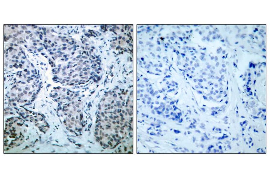
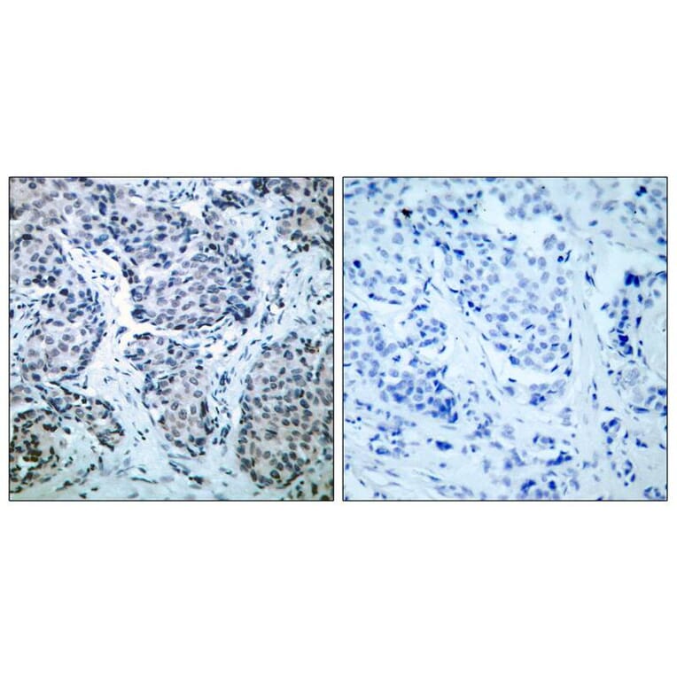
Anti-SEK1 / MKK4 (Phospho-Thr261) Antibody (A51404)

$290

Rabbit polyclonal antibody to SEK1 / MKK4 (Phospho-Thr261) for IHC and IF.

Shipping Information

$40
Dispatched from St. Louis, MO.
Lead Time: 6-9 business days.
Name
Anti-SEK1 / MKK4 (Phospho-Thr261) Antibody
Description
Rabbit polyclonal antibody to SEK1 / MKK4 (Phospho-Thr261)
Specificity
The antibody detects endogenous level of SEK1 / MKK4 only when phosphorylated at threonine 261.
Applications
IHC, IF
Reactivity
Human, Mouse, Rat
Immunogen
Peptide sequence around phosphorylation site of threonine261 (A-K-T(p)-RD) derived from Human SEK1 / MKK4.
Host
Rabbit
Clonality
Polyclonal
Conjugate

Unconjugated

Purification
Antibodies were produced by immunizing rabbits with synthetic phosphopeptide and KLH conjugates. Antibodies were purified by affinity-chromatography using epitope-specific phosphopeptide. Non-phospho specific antibodies were removed by chromatogramphy using non-phosphopeptide.
Concentration
1 mg/ml
Formulation
Supplied at 1.0mg / mL in phosphate buffered saline (without Mg2+ and Ca2+), pH 7.4, 150mM NaCl, 0.02% sodium azide and 50% glycerol.
Storage
Store at -20°C for long term preservation (recommended). Store at 4°C for short term use.
Synonyms
c-Jun N-terminal kinase kinase 1, Dual specificity mitogen-activated protein kinase kinase 4, JNK-activating kinase 1, JNKK, JNKK1, MAP kinase kinase 4, MAP2K4, MAPK/ERK kinase 4, MAPKK 4, MEK 4, MEK4, PRKMK4, SAPK kinase 1, SAPK/ERK kinase 1, SAPKK-1, SAPKK1, SERK1, SKK1, Stress-activated protein kinase kinase 1
Disclaimer
This product is for research use only. It is not intended for diagnostic or therapeutic use.
Publishing research using Anti-SEK1 / MKK4 (Phospho-Thr261) Antibody (A51404)? Please let us know so that we can list the citation on this page.

Alternative products to Anti-SEK1 / MKK4 (Phospho-Thr261) Antibody (A51404)

Proteins predicted to interact with MKK4

Predicted protein interactions based upon String database. Revelancy score correlates with probability of interaction.
99.9% Relevancy Score
99.9% Relevancy Score
99.8% Relevancy Score
99.8% Relevancy Score
99.8% Relevancy Score
99.5% Relevancy Score
98.7% Relevancy Score
98.4% Relevancy Score
97% Relevancy Score