ISO 9001:2015 Certified
Live Customer Support
4.5/5 on Trustpilot
100% Quality Guarantee

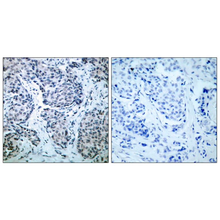
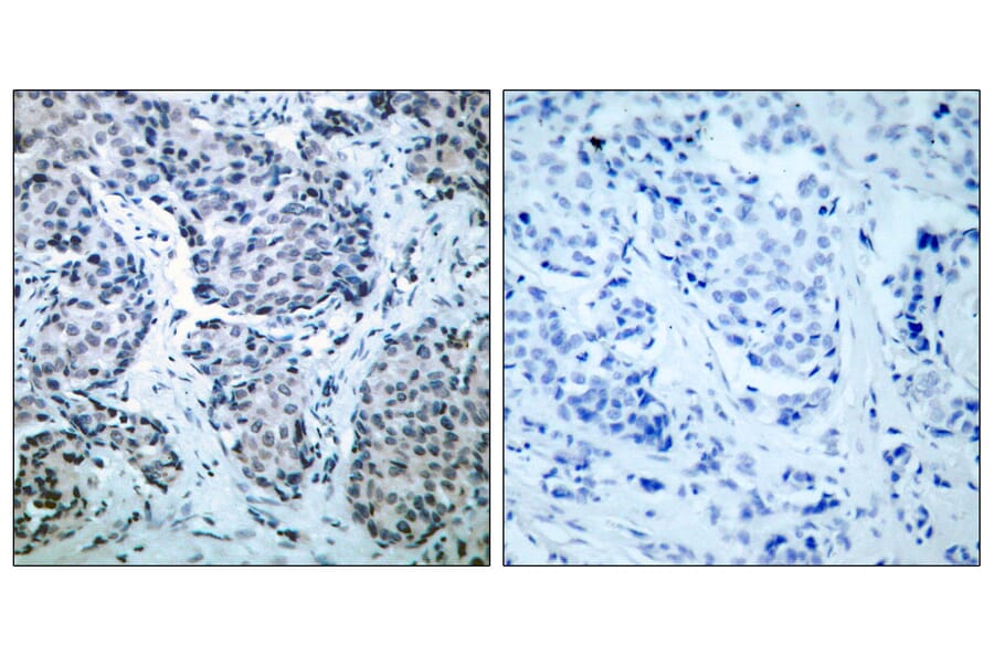
Anti-SEK1 (phospho Thr261) Antibody (A94408)

Rabbit polyclonal antibody to SEK1 (phospho Thr261) for WB, IHC, IF and ELISA.

Shipping Information

$40
Dispatched from St. Louis, MO.
Lead Time: 6-8 business days.
Name
Anti-SEK1 (phospho Thr261) Antibody
Description
Rabbit polyclonal antibody to SEK1 (phospho Thr261).
Specificity
This antibody detects endogenous levels of SEK1/MKK4 only when phosphorylated at Thr261.
Applications
WB, IHC, IF, ELISA
Dilutions
WB: 1:500~1:1000, IHC: 1:50~1:100, ELISA: 1:10000
Reactivity
Human, Mouse, Rat
Cross Reactivity
No reported cross-reactivity.
Immunogen
Synthetic peptide derived from human SEK1/MKK4 around the phosphorylation site of Thr261 (amino acids 227-276).
Host
Rabbit
Clonality
Polyclonal
Isotype
IgG
Conjugate

Unconjugated

Purification
Purified from rabbit serum by antigen affinity chromatography using the immunizing phospho peptide.
Molecular Weight
44kDa
Product Form
Liquid
Formulation
Supplied in Phosphate Buffered Saline (without Mg2+ and Ca2+), pH 7.4, with 150mM NaCl, 0.02% Sodium Azide, and 50% Glycerol.
Storage
Shipped at 4°C. Upon delivery aliquot and store at -20°C. Avoid freeze / thaw cycles.
Synonyms
c-Jun N-terminal kinase kinase 1, Dual specificity mitogen-activated protein kinase kinase 4, JNK-activating kinase 1, JNKK, JNKK1, MAP kinase kinase 4, MAP2K4, MAPK/ERK kinase 4, MAPKK 4, MEK 4, MEK4, PRKMK4, SAPK kinase 1, SAPK/ERK kinase 1, SAPKK-1, SAPKK1, SEK1, SERK1, SKK1, Stress-activated protein kinase kinase 1
Disclaimer
This product is for research use only. It is not intended for diagnostic or therapeutic use.
Publishing research using Anti-SEK1 (phospho Thr261) Antibody (A94408)? Please let us know so that we can list the citation on this page.

Alternative products to Anti-SEK1 (phospho Thr261) Antibody (A94408)

Proteins predicted to interact with MKK4

Predicted protein interactions based upon String database. Revelancy score correlates with probability of interaction.
99.9% Relevancy Score
99.9% Relevancy Score
99.8% Relevancy Score
99.8% Relevancy Score
99.8% Relevancy Score
99.5% Relevancy Score
98.7% Relevancy Score
98.4% Relevancy Score
97% Relevancy Score