Primary Antibodies
Secondary Antibodies
Proteins & Peptides
ELISA Kits
About Us
Contact Us
Sign In/Register
0
ISO 9001:2015 Certified
Live Customer Support
4.5/5 on Trustpilot
100% Quality Guarantee
Home
Primary Antibodies
SEPN1 Antibodies
Anti-SEPN1 Antibody (A46286)
Anti-SEPN1 Antibody (A46286)
Overview
Specifications
Images
Enlarge Image
Enlarge Image
$430
Product Datasheet
Rabbit polyclonal antibody to SEPN1 for IHC.
100% Guarantee
Price Match Guarantee
Product Size:
100µl
Quantity:
1
2
3
4
5
6
7
8
9
10
Add To Cart
Request a Quotation
Custom or Bulk Request
Shipping Information
Freight/Packing Charges:
$40
Dispatched from St. Louis, MO.
Lead Time: 6-9 business days.
Specifications
Name
Anti-SEPN1 Antibody
Description
Rabbit polyclonal antibody to SEPN1
Specificity
The antibody detects endogenous levels of total SEPN1 protein.
Applications
IHC
Reactivity
Human
Immunogen
Synthetic peptide corresponding to a region derived from internal residues of human selenoprotein N, 1
Host
Rabbit
Clonality
Polyclonal
Conjugate
Unconjugated
Purification
Antigen affinity purification.
Concentration
0.5 mg/mL
Formulation
Supplied in PBS, pH 7.3, containing 0.05% sodium azide and 50% glycerol.
Storage
Shipped at 4°C. Upon delivery aliquot and store at -20°C. Avoid freeze/thaw cycles.
Synonyms
SELENON, Selenoprotein N, SelN
Suitable Secondaries
Goat Anti-Rabbit IgG H&L Antibody (AP) (A294874)
Goat Anti-Rabbit IgG H&L Antibody (Biotin) (A294795)
Goat Anti-Rabbit IgG H&L Antibody (FITC) (A294887)
Goat Anti-Rabbit IgG H&L Antibody (HRP) (A294888)
See all Anti-Rabbit IgG Secondaries →
Disclaimer
This product is for research use only. It is not intended for diagnostic or therapeutic use.
Scientific Validation Data
Validation Data
(2)
Enlarge Image
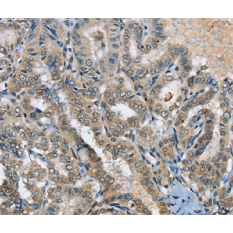
Immunohistochemistry - Anti-SEPN1 Antibody (A46286)
Immunohistochemical analysis of paraffin-embedded Human thyroid cancer tissue using #37905 at dilution 1/20.
Enlarge Image
Immunohistochemistry - Anti-SEPN1 Antibody (A46286)
Immunohistochemical analysis of paraffin-embedded Human tonsil tissue using #37905 at dilution 1/20.
Publishing research using Anti-SEPN1 Antibody (A46286)? Please
let us know
so that we can list the citation on this page.
Proteins predicted to interact with SEPN1
Predicted protein interactions based upon String database. Revelancy score correlates with probability of interaction.
SELK Antibodies
91.3% Relevancy Score
SELS Antibodies
87.1% Relevancy Score
SECISBP2 Antibodies
86.1% Relevancy Score
Selenoprotein M Antibodies
85.9% Relevancy Score
RYR1 Antibodies
85.6% Relevancy Score
Selenophosphate Synthetase 2 Antibodies
80.3% Relevancy Score
Methionine Sulfoxide Reductase B Antibodies
79.7% Relevancy Score
Myotilin Antibodies
78.8% Relevancy Score
alpha Skeletal Muscle Actin Antibodies
76.8% Relevancy Score
Top