ISO 9001:2015 Certified
Live Customer Support
4.5/5 on Trustpilot
100% Quality Guarantee

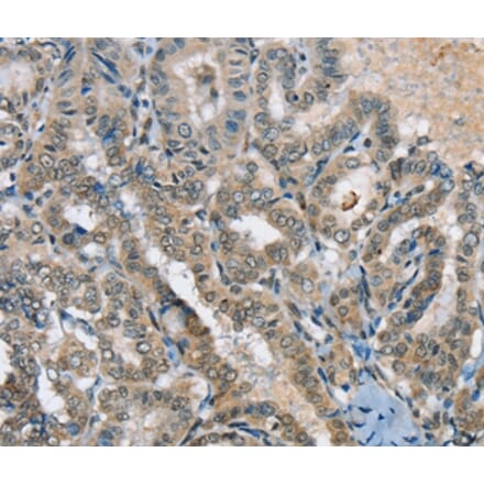
SEPN1 Antibodies

Discover our catalog of highly specific SEPN1 antibodies validated for Immunohistochemistry (IHC) reactive with human samples.

Synonyms: SELENON, Selenoprotein N and SelN

1 Product
Immunohistochemistry - SEPN1 Antibody from Signalway Antibody (37905) - Antibodies.com
(2)

 

Search Filters Contact Us 0Checkout