ISO 9001:2015 Certified
Live Customer Support
4.5/5 on Trustpilot
100% Quality Guarantee

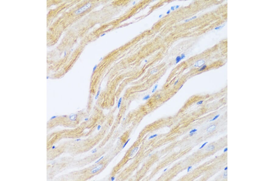
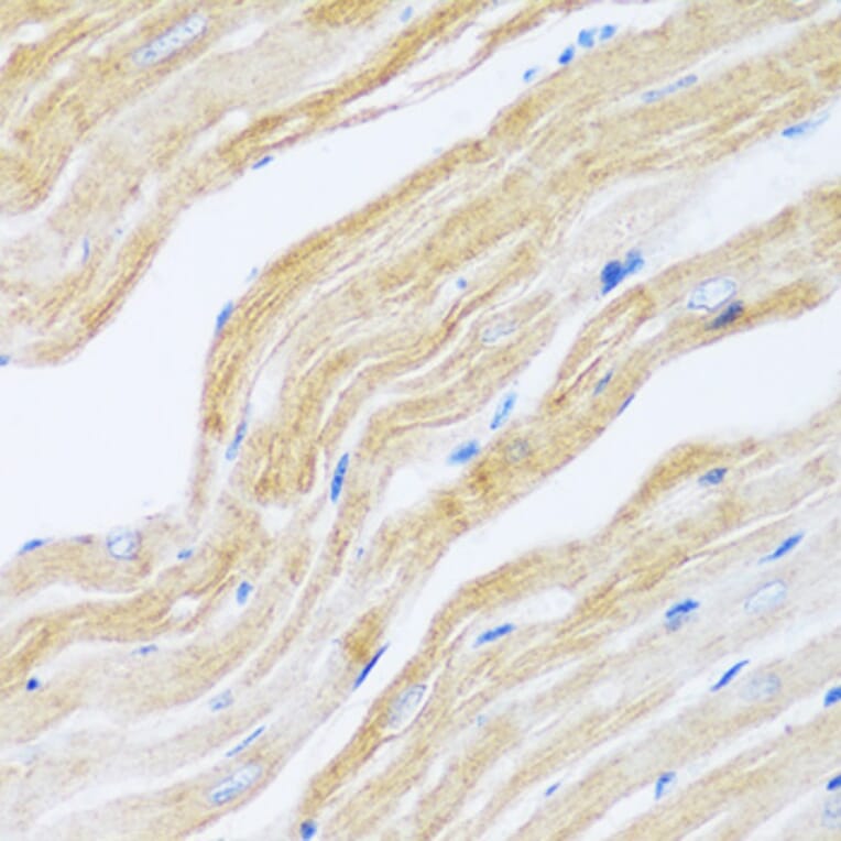
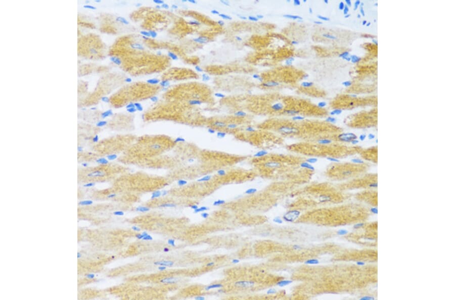
Anti-SERCA2 ATPase Antibody (A88093)

Rabbit polyclonal antibody to SERCA2 ATPase for WB and IHC.

Shipping Information

$40
Dispatched from St. Louis, MO.
Lead Time: 7-10 business days.
Name
Anti-SERCA2 ATPase Antibody
Description
Rabbit polyclonal antibody to SERCA2 ATPase.
Applications
WB, IHC
Dilutions
WB: 1:500-1:2,000, IHC: 1:50-1:100
Reactivity
Mouse, Rat
Immunogen
Recombinant fusion protein containing a sequence corresponding to amino acids 111-253 of human SERCA2/ATP2A2 (NP_733765.1).
Sequence
NAENAIEALKEYEPEMGKVYRQDRKSVQRIKAKDIVPGDIVEIAVGDKVPADIRLTSIKSTTLRVDQSILTGESVSVIKHTDPVPDPRAVNQDKKNMLFSGTNIAAGKAMGVVVATGVNTEIGKIRDEMVATEQERTPLQQKL
Host
Rabbit
Clonality
Polyclonal
Isotype
IgG
Conjugate

Unconjugated

Purification
Affinity purification.
Concentration
Lot Specific
Molecular Weight
114 kDa
Product Form
Liquid
Formulation
Supplied in Phosphate Buffered Saline, pH 7.3, with 50% Glycerol and 0.01% Thiomersal.
Storage
Shipped at 4°C. Upon delivery aliquot and store at -20°C. Avoid freeze/thaw cycles.
Synonyms
AT2A2_HUMAN, Atp2a2, ATP2B, ATPase Ca++ transporting cardiac muscle slow twitch 2, Calcium pump 2, Calcium-transporting ATPase sarcoplasmic reticulum type, Calcium-transporting ATPase sarcoplasmic reticulum type slow twitch skeletal muscle isoform, Cardiac Ca2+ ATPase, DAR, DD, Endoplasmic reticulum class 1/2 Ca(2+) ATPase, MGC45367, Sarcoplasmic/endoplasmic reticulum calcium ATPase 2, SERCA 2, SERCA2, serca2a, slow twitch skeletal muscle isoform, SR Ca(2+)-ATPase 2
Disclaimer
This product is for research use only. It is not intended for diagnostic or therapeutic use.
Publishing research using Anti-SERCA2 ATPase Antibody (A88093)? Please let us know so that we can list the citation on this page.

Alternative products to Anti-SERCA2 ATPase Antibody (A88093)