Primary Antibodies
Secondary Antibodies
Proteins & Peptides
ELISA Kits
About Us
Contact Us
Sign In/Register
0
ISO 9001:2015 Certified
Live Customer Support
4.5/5 on Trustpilot
100% Quality Guarantee
Home
Primary Antibodies
SLC25A26 Antibodies
Anti-SLC25A26 Antibody (A45021)
Anti-SLC25A26 Antibody (A45021)
Overview
Specifications
Images
Enlarge Image
$430
Product Datasheet
Rabbit polyclonal antibody to SLC25A26 for IHC.
100% Guarantee
Price Match Guarantee
Product Size:
100µl
Quantity:
1
2
3
4
5
6
7
8
9
10
Add To Cart
Request a Quotation
Custom or Bulk Request
Shipping Information
Freight/Packing Charges:
$40
Dispatched from St. Louis, MO.
Lead Time: 6-9 business days.
Specifications
Name
Anti-SLC25A26 Antibody
Description
Rabbit polyclonal antibody to SLC25A26
Specificity
The antibody detects endogenous levels of total SLC25A26 protein.
Applications
IHC
Reactivity
Human
Immunogen
Fusion protein corresponding to residues near the C terminal of human solute carrier family 25 (S-adenosylmethionine carrier), member 26
Host
Rabbit
Clonality
Polyclonal
Conjugate
Unconjugated
Purification
Antigen affinity purification.
Concentration
1.8 mg/mL
Formulation
Rabbit IgG in pH7.4 PBS, 0.05% NaN3, 40% Glycerol.
Storage
Shipped at 4°C. Upon delivery aliquot and store at -20°C. Avoid freeze/thaw cycles.
Synonyms
Mitochondrial S-adenosylmethionine carrier protein, SAM carrier, SAMC, Solute carrier family 25 member 26
Suitable Secondaries
Goat Anti-Rabbit IgG H&L Antibody (AP) (A294874)
Goat Anti-Rabbit IgG H&L Antibody (Biotin) (A294795)
Goat Anti-Rabbit IgG H&L Antibody (FITC) (A294887)
Goat Anti-Rabbit IgG H&L Antibody (HRP) (A294888)
See all Anti-Rabbit IgG Secondaries →
Disclaimer
This product is for research use only. It is not intended for diagnostic or therapeutic use.
Scientific Validation Data
Validation Data
(1)
Enlarge Image
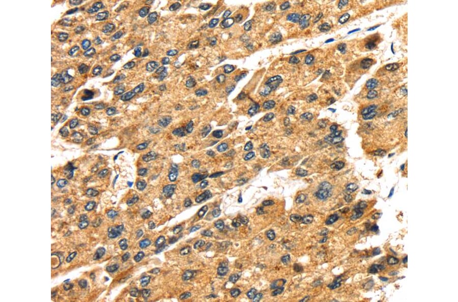
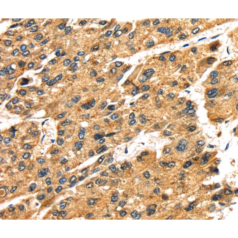
Immunohistochemistry - Anti-SLC25A26 Antibody (A45021)
Immunohistochemical analysis of paraffin-embedded Human liver cancer tissue using #40108 at dilution 1/30.
Publishing research using Anti-SLC25A26 Antibody (A45021)? Please
let us know
so that we can list the citation on this page.
Alternative products to Anti-SLC25A26 Antibody (A45021)
A89265
Anti-SLC25A26 Antibody
Rabbit polyclonal antibody to SLC25A26 for WB.
A89265
Anti-SLC25A26 Antibody
Rabbit polyclonal antibody to SLC25A26 for WB.
Proteins predicted to interact with SLC25A26
Predicted protein interactions based upon String database. Revelancy score correlates with probability of interaction.
NFS1 Antibodies
77.1% Relevancy Score
MTCH2 Antibodies
70.5% Relevancy Score
Transaldolase 1 Antibodies
58.1% Relevancy Score
THOC7 Antibodies
52.8% Relevancy Score
SPACA1 Antibodies
47.6% Relevancy Score
SLC25A38 Antibodies
47.4% Relevancy Score
PSMD6 Antibodies
46.9% Relevancy Score
SLC25A21 Antibodies
41.7% Relevancy Score
SLC25A3 Antibodies
39.8% Relevancy Score
Top