Browse our catalog of extensively validated SLC25A26 antibodies suitable for Western Blotting (WB) and Immunohistochemistry (IHC) reactive with human and mouse samples.
Synonyms: Mitochondrial S-adenosylmethionine carrier protein, SAM carrier, SAMC and Solute carrier family 25 member 26
Anti-SLC25A26 Antibody (A89265) | |
100µl/$375 | |
| Description: | Rabbit polyclonal antibody to SLC25A26. |
| Applications: | WB |
| Reactivity: | Mouse |
| Conjugate: | Unconjugated |
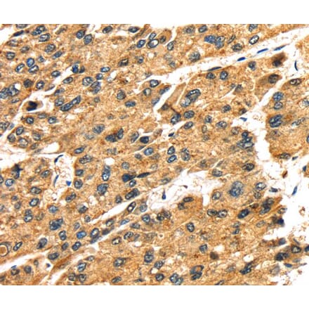
Anti-SLC25A26 Antibody (A45021) | |
100µl/$430 | |
| Description: | Rabbit polyclonal antibody to SLC25A26 |
| Applications: | IHC |
| Reactivity: | Human |
| Conjugate: | Unconjugated |
Showing 1-2 of 2 products