ISO 9001:2015 Certified
Live Customer Support
4.5/5 on Trustpilot
100% Quality Guarantee

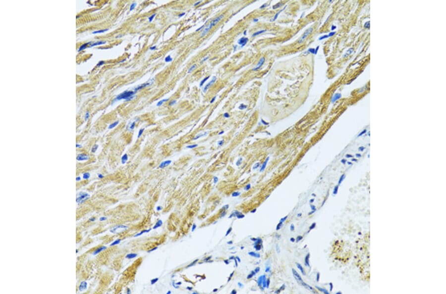
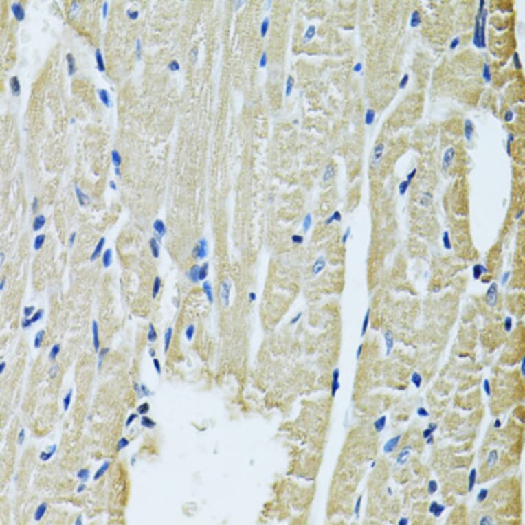
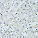
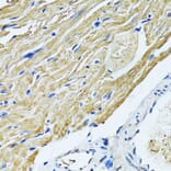
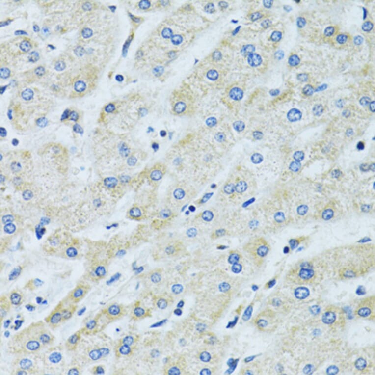
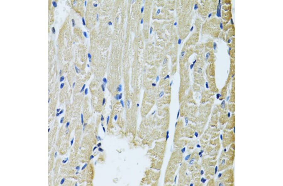
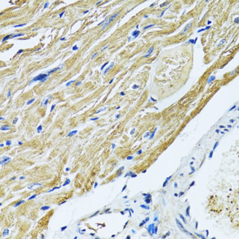
Anti-SLC5A6 Antibody (A91630)

This product is discontinued

Anti-SLC5A6 Antibody (A91630) has been discontinued and is no longer available.

View all SLC5A6 Antibodies.

Name
Anti-SLC5A6 Antibody
Description
Rabbit polyclonal antibody to SLC5A6.
Applications
IHC
Dilutions
IHC: 1:50-1:200
Reactivity
Human, Mouse, Rat
Immunogen
A synthetic peptide corresponding to a sequence within amino acids 500 to the C-terminus of human SLC5A6 (NP_066918.2).
Sequence
TVATVTTLMPLTTFSKPTGLQRFYSLSYLWYSAHNSTTVIVVGLIVSLLTGRMRGRSLNPATIYPVLPKLLSLLPLSCQKRLHCRSYGQDHLDTGLFPEKPRNGVLGDSRDKEAMALDGTAYQGSSSTCILQETSL
Host
Rabbit
Clonality
Polyclonal
Isotype
IgG
Conjugate

Unconjugated

Purification
Affinity purification.
Formulation
Supplied in Phosphate Buffered Saline, pH 7.30, with 0.02% Sodium Azide and 50% Glycerol.
Storage
Shipped at 4°C. Upon delivery aliquot and store at -20°C. Avoid freeze / thaw cycles.
Synonyms
Na(+)-dependent multivitamin transporter, SMVT, Sodium-dependent multivitamin transporter, Solute carrier family 5 member 6
Disclaimer
This product is for research use only. It is not intended for diagnostic or therapeutic use.

Alternative products to Anti-SLC5A6 Antibody (A91630)

Proteins predicted to interact with SLC5A6

Predicted protein interactions based upon String database. Revelancy score correlates with probability of interaction.
65.5% Relevancy Score
63.5% Relevancy Score
63.1% Relevancy Score
55.5% Relevancy Score
51.1% Relevancy Score
47.1% Relevancy Score
46.9% Relevancy Score
46.7% Relevancy Score
46.1% Relevancy Score