ISO 9001:2015 Certified
Live Customer Support
4.5/5 on Trustpilot
100% Quality Guarantee

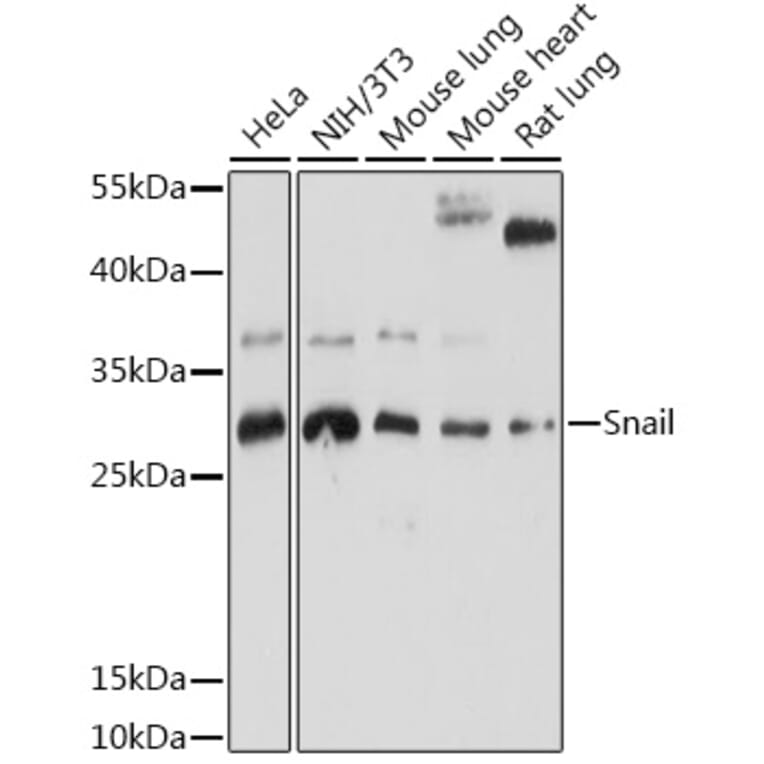
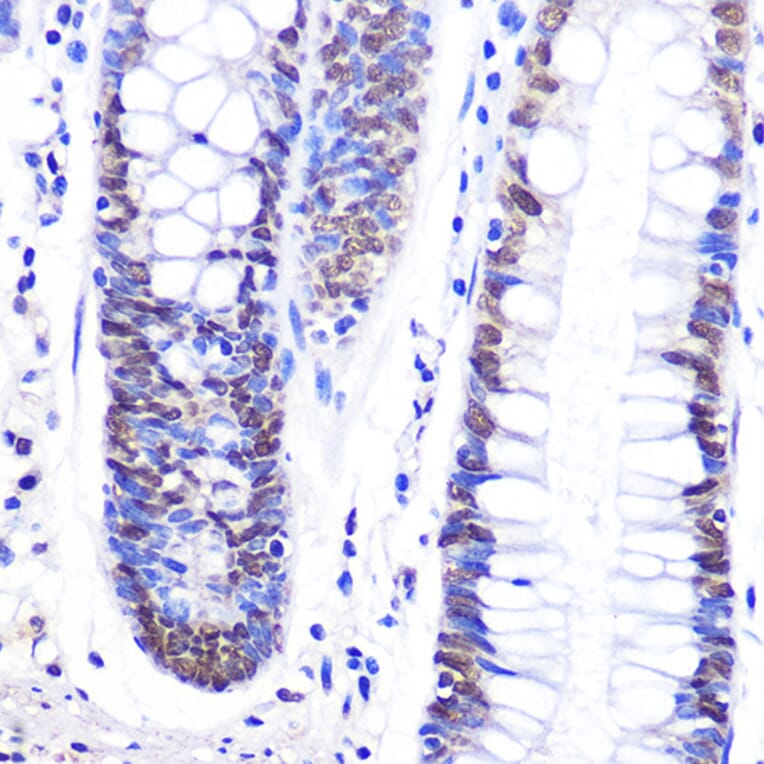
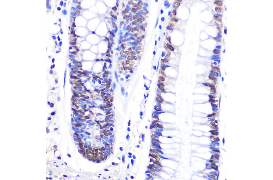
Anti-SNAIL Antibody (A91583)

This product is discontinued

Anti-SNAIL Antibody (A91583) has been discontinued and is no longer available.

View all SNAIL Antibodies.

Name
Anti-SNAIL Antibody
Description
Rabbit polyclonal antibody to SNAIL.
Applications
WB, IHC
Dilutions
WB: 1:500-1:2,000, IHC: 1:50-1:200
Reactivity
Human, Mouse, Rat
Immunogen
Recombinant fusion protein containing a sequence corresponding to amino acids 1-264 of human Snail (O95863).
Sequence
MPRSFLVRKPSDPNRKPNYSELQDSNPEFTFQQPYDQAHLLAAIPPPEILNPTASLPMLIWDSVLAPQAQPIAWASLRLQESPRVAELTSLSDEDSGKGSQPPSPPSPAPSSFSSTSVSSLEAEAYAAFPGLGQVPKQLAQLSEAKDLQARKAFNCKYCNKEYLSLGALKMHIRSHTLPCVCGTCGKAFSRPWLLQGHVRTHTGEKPFSCPHCSRAFADRSNLRAHLQTHSDVKKYQCQACARTFSRMSLLHKHQESGCSGCPR
Host
Rabbit
Clonality
Polyclonal
Isotype
IgG
Conjugate

Unconjugated

Purification
Affinity purification.
Molecular Weight
29 kDa
Product Form
Liquid
Formulation
Supplied in Phosphate Buffered Saline, pH 7.3, with 50% Glycerol and 0.01% Thiomersal.
Storage
Shipped at 4°C. Upon delivery aliquot and store at -20°C. Avoid freeze / thaw cycles.
Synonyms
Protein sna, Protein snail homolog 1, SNAH, SNAI1, Zinc finger protein SNAI1
Disclaimer
This product is for research use only. It is not intended for diagnostic or therapeutic use.

Alternative products to Anti-SNAIL Antibody (A91583)

Proteins predicted to interact with SNAIL

Predicted protein interactions based upon String database. Revelancy score correlates with probability of interaction.
99.9% Relevancy Score
99.8% Relevancy Score
99.8% Relevancy Score
99.8% Relevancy Score
99.5% Relevancy Score
99.4% Relevancy Score
99.2% Relevancy Score
99% Relevancy Score
98.7% Relevancy Score