Primary Antibodies
Secondary Antibodies
Proteins & Peptides
ELISA Kits
About Us
Contact Us
Sign In/Register
0
ISO 9001:2015 Certified
Live Customer Support
4.5/5 on Trustpilot
100% Quality Guarantee
Home
Primary Antibodies
alpha Synuclein Antibodies
Anti-SNCA Antibody (A46908)
Anti-SNCA Antibody (A46908)
Overview
Specifications
Images
Enlarge Image
Enlarge Image
$405
Rabbit polyclonal antibody to SNCA for IHC.
100% Guarantee
Price Match Guarantee
Product Size:
100µl
Quantity:
1
2
3
4
5
6
7
8
9
10
Add To Cart
Request a Quotation
Custom or Bulk Request
Shipping Information
Freight/Packing Charges:
$40
Dispatched from St. Louis, MO.
Lead Time: 6-9 business days.
Specifications
Name
Anti-SNCA Antibody
Description
Rabbit polyclonal antibody to SNCA
Specificity
The antibody detects endogenous levels of total SNCA protein.
Applications
IHC
Reactivity
Human, Mouse, Rat
Immunogen
Synthetic peptide corresponding to residues near the C terminal of human synuclein, alpha (non A4 component of amyloid precursor)
Host
Rabbit
Clonality
Polyclonal
Conjugate
Unconjugated
Purification
Antigen affinity purification.
Concentration
1.9mg / ml
Formulation
Rabbit IgG in pH7.3 PBS, 0.05% NaN3, 50% Glycerol.
Storage
Store at -20˚C
Synonyms
Alpha-synuclein, NACP, Non-A beta component of AD amyloid, Non-A4 component of amyloid precursor, PARK1
Suitable Secondaries
Goat Anti-Rabbit IgG H&L Antibody (AP) (A294874)
Goat Anti-Rabbit IgG H&L Antibody (Biotin) (A294795)
Goat Anti-Rabbit IgG H&L Antibody (FITC) (A294887)
Goat Anti-Rabbit IgG H&L Antibody (HRP) (A294888)
See all Anti-Rabbit IgG Secondaries →
Disclaimer
This product is for research use only. It is not intended for diagnostic or therapeutic use.
Scientific Validation Data
Validation Data
(2)
Enlarge Image
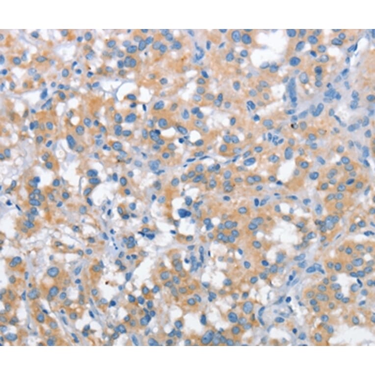
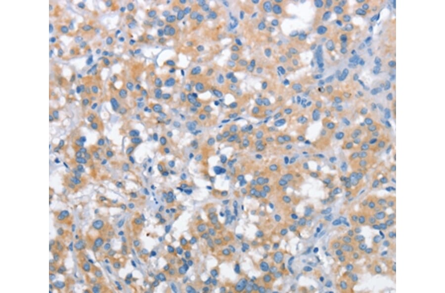
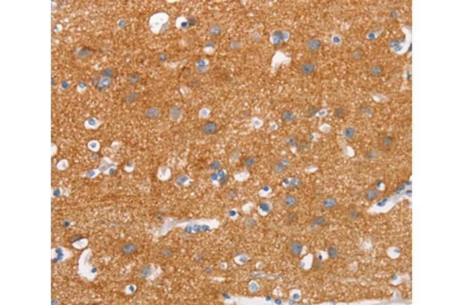
Immunohistochemistry - Anti-SNCA Antibody (A46908)
Immunohistochemical analysis of paraffin-embedded Human brain tissue using #37420 at dilution 1/30.
Enlarge Image
Immunohistochemistry - Anti-SNCA Antibody (A46908)
Immunohistochemical analysis of paraffin-embedded Human thyroid cancer tissue using #37420 at dilution 1/30.
Publishing research using Anti-SNCA Antibody (A46908)? Please
let us know
so that we can list the citation on this page.
Alternative products to Anti-SNCA Antibody (A46908)
(11)
A85290
Anti-alpha Synuclein Antibody [2A7]
Mouse monoclonal [2A7] antibody to alpha Synuclein for WB, ICC/IF and IHC.
(7)
A304933
Anti-alpha Synuclein (phospho Ser129) Antibody [J18]
Rabbit monoclonal [J18] antibody to alpha Synuclein (phospho Ser129) for ELISA, WB, ICC and IHC.
(5)
A85289
Anti-alpha Synuclein Antibody
Chicken polyclonal antibody to alpha Synuclein for WB, ICC/IF and IHC.
(4)
A304959
Anti-alpha Synuclein Antibody [3C11]
Mouse monoclonal [3C11] antibody to alpha Synuclein for WB, Dot, ICC/IF and ELISA.
(3)
A304962
Anti-alpha Synuclein Antibody [4F1]
Mouse monoclonal [4F1] antibody to alpha Synuclein for WB, Dot, IHC, ICC/IF and ELISA.
(5)
A305044
Anti-alpha Synuclein (phospho Ser129) Antibody
Rabbit polyclonal antibody to alpha Synuclein (phospho Ser129) for WB, ELISA, ICC/IF and IHC.
(3)
A323678
Prasinezumab Biosimilar - Anti-alpha Synuclein Antibody - Low endotoxin, Azide free
Recombinant human monoclonal antibody to alpha Synuclein for ELISA, FACS, Functional Assay and In Vivo.
(3)
A304961
Anti-alpha Synuclein Antibody [3F8]
Mouse monoclonal [3F8] antibody to alpha Synuclein for WB, Dot, IHC, ICC/IF and ELISA.
(3)
A323357
Cinpanemab Biosimilar - Anti-alpha Synuclein Antibody - Low endotoxin, Azide free
Recombinant human monoclonal antibody to alpha Synuclein for ELISA, FACS, Functional Assay and In Vivo.
(4)
A304963
Anti-alpha Synuclein Antibody
Rabbit polyclonal antibody to alpha Synuclein for WB, ELISA and IHC.
(2)
A304960
Anti-alpha Synuclein Antibody [10H7]
Mouse monoclonal [10H7] antibody to alpha Synuclein for WB, Dot, ICC/IF and ELISA.
(4)
A15598
Anti-Alpha-synuclein Antibody
Rabbit polyclonal antibody to Alpha-synuclein for WB and ICC/IF.
(11)
A85290
Anti-alpha Synuclein Antibody [2A7]
Mouse monoclonal [2A7] antibody to alpha Synuclein for WB, ICC/IF and IHC.
(7)
A304933
Anti-alpha Synuclein (phospho Ser129) Antibody [J18]
Rabbit monoclonal [J18] antibody to alpha Synuclein (phospho Ser129) for ELISA, WB, ICC and IHC.
(5)
A85289
Anti-alpha Synuclein Antibody
Chicken polyclonal antibody to alpha Synuclein for WB, ICC/IF and IHC.
(4)
A304959
Anti-alpha Synuclein Antibody [3C11]
Mouse monoclonal [3C11] antibody to alpha Synuclein for WB, Dot, ICC/IF and ELISA.
(3)
A304962
Anti-alpha Synuclein Antibody [4F1]
Mouse monoclonal [4F1] antibody to alpha Synuclein for WB, Dot, IHC, ICC/IF and ELISA.
(5)
A305044
Anti-alpha Synuclein (phospho Ser129) Antibody
Rabbit polyclonal antibody to alpha Synuclein (phospho Ser129) for WB, ELISA, ICC/IF and IHC.
(3)
A323678
Prasinezumab Biosimilar - Anti-alpha Synuclein Antibody - Low endotoxin, Azide free
Recombinant human monoclonal antibody to alpha Synuclein for ELISA, FACS, Functional Assay and In Vivo.
(3)
A304961
Anti-alpha Synuclein Antibody [3F8]
Mouse monoclonal [3F8] antibody to alpha Synuclein for WB, Dot, IHC, ICC/IF and ELISA.
(3)
A323357
Cinpanemab Biosimilar - Anti-alpha Synuclein Antibody - Low endotoxin, Azide free
Recombinant human monoclonal antibody to alpha Synuclein for ELISA, FACS, Functional Assay and In Vivo.
(4)
A304963
Anti-alpha Synuclein Antibody
Rabbit polyclonal antibody to alpha Synuclein for WB, ELISA and IHC.
(2)
A304960
Anti-alpha Synuclein Antibody [10H7]
Mouse monoclonal [10H7] antibody to alpha Synuclein for WB, Dot, ICC/IF and ELISA.
(4)
A15598
Anti-Alpha-synuclein Antibody
Rabbit polyclonal antibody to Alpha-synuclein for WB and ICC/IF.
See all SNCA Antibodies
Proteins predicted to interact with alpha Synuclein
Predicted protein interactions based upon String database. Revelancy score correlates with probability of interaction.
Synphilin 1 Antibodies
99.9% Relevancy Score
Parkin Antibodies
99.9% Relevancy Score
Tyrosine Hydroxylase Antibodies
99.7% Relevancy Score
Dopamine Transporter Antibodies
99.6% Relevancy Score
ApoE Antibodies
99.6% Relevancy Score
Tau Antibodies
99.4% Relevancy Score
TDP43 Antibodies
99.4% Relevancy Score
HSPA4 Antibodies
99.4% Relevancy Score
DJ-1 Antibodies
99.4% Relevancy Score
Top