Primary Antibodies
Secondary Antibodies
Proteins & Peptides
ELISA Kits
About Us
Contact Us
Sign In/Register
0
ISO 9001:2015 Certified
Live Customer Support
4.5/5 on Trustpilot
100% Quality Guarantee
Home
Primary Antibodies
SNX1 Antibodies
Anti-SNX1 Antibody (A46965)
Anti-SNX1 Antibody (A46965)
Overview
Specifications
Images
Enlarge Image
Enlarge Image
$430
Product Datasheet
Rabbit polyclonal antibody to SNX1 for IHC.
100% Guarantee
Price Match Guarantee
Product Size:
100µl
Quantity:
1
2
3
4
5
6
7
8
9
10
Add To Cart
Request a Quotation
Custom or Bulk Request
Shipping Information
Freight/Packing Charges:
$40
Dispatched from St. Louis, MO.
Lead Time: 6-9 business days.
Specifications
Name
Anti-SNX1 Antibody
Description
Rabbit polyclonal antibody to SNX1
Specificity
The antibody detects endogenous levels of total SNX1 protein.
Applications
IHC
Reactivity
Human, Rat
Immunogen
Synthetic peptide corresponding to a region derived from internal residues of human sorting nexin 1
Host
Rabbit
Clonality
Polyclonal
Conjugate
Unconjugated
Purification
Antigen affinity purification.
Concentration
2 mg/mL
Formulation
Supplied in PBS, pH 7.3, containing 0.05% sodium azide and 50% glycerol.
Storage
Shipped at 4°C. Upon delivery aliquot and store at -20°C. Avoid freeze/thaw cycles.
Synonyms
Sorting nexin-1
Suitable Secondaries
Goat Anti-Rabbit IgG H&L Antibody (AP) (A294874)
Goat Anti-Rabbit IgG H&L Antibody (Biotin) (A294795)
Goat Anti-Rabbit IgG H&L Antibody (FITC) (A294887)
Goat Anti-Rabbit IgG H&L Antibody (HRP) (A294888)
See all Anti-Rabbit IgG Secondaries →
Disclaimer
This product is for research use only. It is not intended for diagnostic or therapeutic use.
Scientific Validation Data
Validation Data
(2)
Enlarge Image
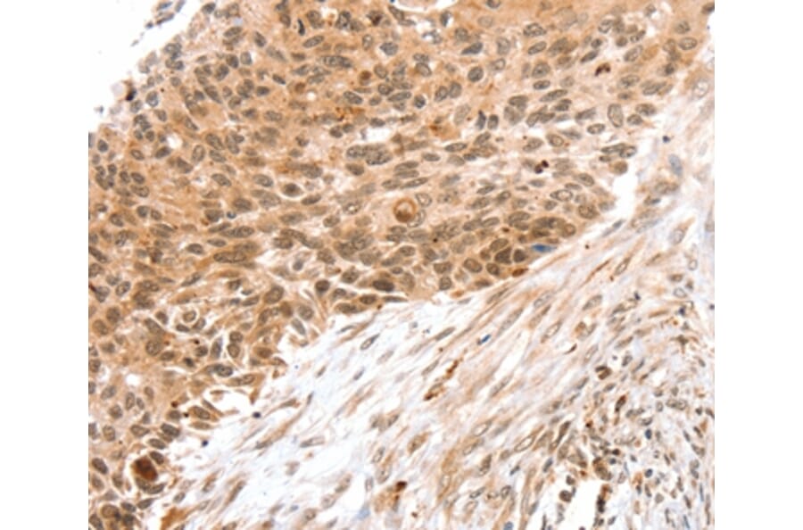
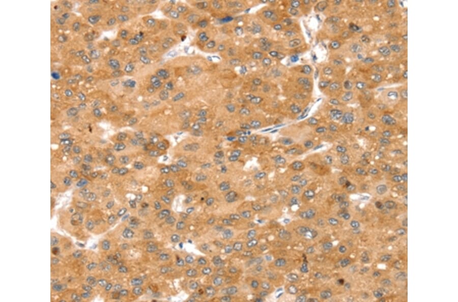
Immunohistochemistry - Anti-SNX1 Antibody (A46965)
Immunohistochemical analysis of paraffin-embedded Human liver cancer tissue using #37962 at dilution 1/30.
Enlarge Image
Immunohistochemistry - Anti-SNX1 Antibody (A46965)
Immunohistochemical analysis of paraffin-embedded Human oesophagus cancer tissue using #37962 at dilution 1/30.
Publishing research using Anti-SNX1 Antibody (A46965)? Please
let us know
so that we can list the citation on this page.
Alternative products to Anti-SNX1 Antibody (A46965)
(3)
A82618
Anti-SNX1 Antibody
Goat polyclonal antibody to SNX1 for ELISA, WB, IHC and ICC.
(3)
A16251
Anti-SNX1 Antibody
Rabbit polyclonal antibody to SNX1 for WB and ICC/IF.
A28170
Anti-SNX1 Antibody
Rabbit polyclonal antibody to SNX1 for WB and ICC.
A348442
Anti-SNX1 Antibody [24GB11945]
Recombinant rabbit monoclonal [24GB11945] antibody to SNX1 for WB, Flow Cytometry and ICC/IF.
A348443
Anti-SNX1 Antibody [24GB2595]
Recombinant rabbit monoclonal [24GB2595] antibody to SNX1 for WB, Flow Cytometry and ICC/IF.
A307010
Anti-SNX1 Antibody [ARC1969]
Rabbit monoclonal [ARC1969] antibody to SNX1 for WB.
(3)
A82618
Anti-SNX1 Antibody
Goat polyclonal antibody to SNX1 for ELISA, WB, IHC and ICC.
(3)
A16251
Anti-SNX1 Antibody
Rabbit polyclonal antibody to SNX1 for WB and ICC/IF.
A28170
Anti-SNX1 Antibody
Rabbit polyclonal antibody to SNX1 for WB and ICC.
A348442
Anti-SNX1 Antibody [24GB11945]
Recombinant rabbit monoclonal [24GB11945] antibody to SNX1 for WB, Flow Cytometry and ICC/IF.
A348443
Anti-SNX1 Antibody [24GB2595]
Recombinant rabbit monoclonal [24GB2595] antibody to SNX1 for WB, Flow Cytometry and ICC/IF.
A307010
Anti-SNX1 Antibody [ARC1969]
Rabbit monoclonal [ARC1969] antibody to SNX1 for WB.
See all SNX1 Antibodies
Proteins predicted to interact with SNX1
Predicted protein interactions based upon String database. Revelancy score correlates with probability of interaction.
VPS29 Antibodies
99.9% Relevancy Score
SNX2 Antibodies
99.9% Relevancy Score
VPS26A Antibodies
99.9% Relevancy Score
SNX5 Antibodies
99.9% Relevancy Score
VPS35 Antibodies
99.9% Relevancy Score
VPS26B Antibodies
99.6% Relevancy Score
FLJ30934 Antibodies
99.4% Relevancy Score
SNX27 Antibodies
99.1% Relevancy Score
SNX4 Antibodies
97.9% Relevancy Score
Top