ISO 9001:2015 Certified
Live Customer Support
4.5/5 on Trustpilot
100% Quality Guarantee

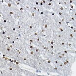
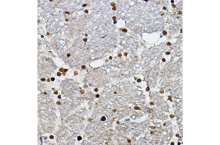
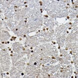
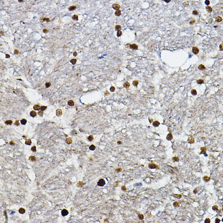
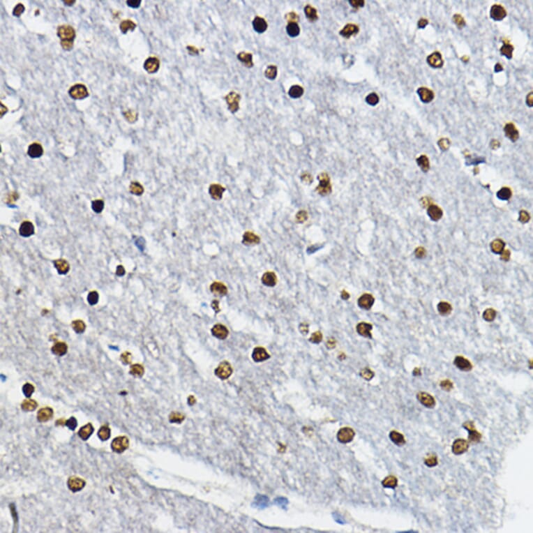
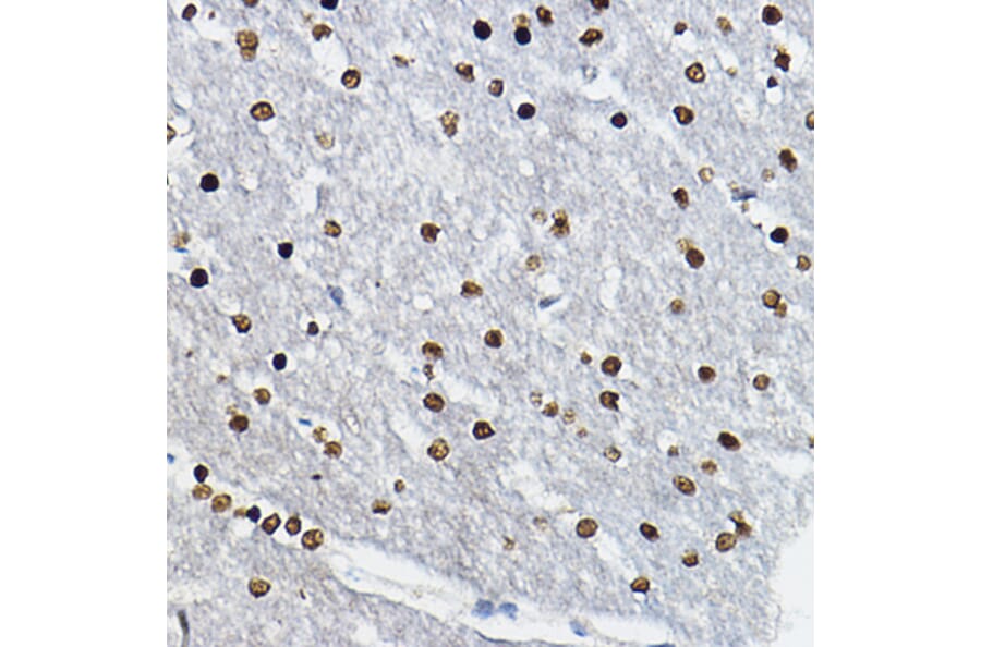
Anti-SOX10 Antibody (A16253)

Rabbit polyclonal antibody to SOX10 for WB, IHC and ICC/IF.

Shipping Information

$40
Dispatched from St. Louis, MO.
Lead Time: 7-10 business days.
Name
Anti-SOX10 Antibody
Description
Rabbit polyclonal antibody to SOX10.
Applications
WB, IHC, ICC/IF
Dilutions
WB: 1:500-1:1,000, IHC: 1:50-1:200, ICC/IF: 1:50-1:200
Reactivity
Human, Mouse, Rat
Immunogen
Recombinant fusion protein containing a sequence corresponding to amino acids 270-360 of human SOX10 (NP_008872.1).
Sequence
HIDFGNVDIGEISHEVMSNMETFDVAELDQYLPPNGHPGHVSSYSAAGYGLGSALAVASGHSAWISKPPGVALPTVSPPGVDAKAQVKTET
Host
Rabbit
Clonality
Polyclonal
Isotype
IgG
Conjugate

Unconjugated

Purification
Affinity purification.
Concentration
Lot Specific
Molecular Weight
55 kDa
Product Form
Liquid
Formulation
Supplied in Phosphate Buffered Saline, pH 7.3, with 50% Glycerol and 0.01% Thiomersal.
Storage
Shipped at 4°C. Upon delivery aliquot and store at -20°C. Avoid freeze/thaw cycles.
Synonyms
Transcription factor SOX-10
Disclaimer
This product is for research use only. It is not intended for diagnostic or therapeutic use.
Publishing research using Anti-SOX10 Antibody (A16253)? Please let us know so that we can list the citation on this page.

Alternative products to Anti-SOX10 Antibody (A16253)

Proteins predicted to interact with SOX10

Predicted protein interactions based upon String database. Revelancy score correlates with probability of interaction.
99.7% Relevancy Score
98.6% Relevancy Score
94.1% Relevancy Score
94% Relevancy Score
93.7% Relevancy Score
93.3% Relevancy Score
92.4% Relevancy Score
92.1% Relevancy Score
90.9% Relevancy Score