ISO 9001:2015 Certified
Live Customer Support
4.5/5 on Trustpilot
100% Quality Guarantee

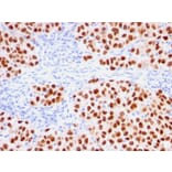
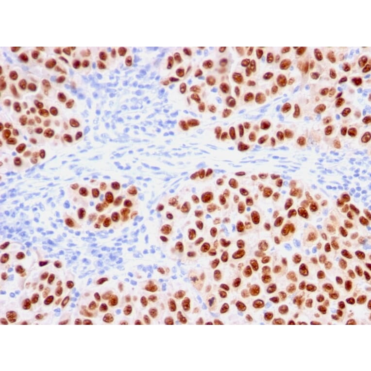
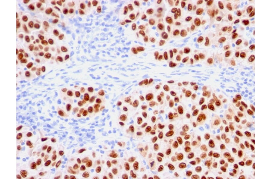
Recombinant Anti-SOX10 Antibody [rSOX10/1074] - BSA and Azide free (A253197)

Recombinant mouse monoclonal [rSOX10/1074] antibody to SOX10 for WB and IHC-P.

Alternative Formats and ConjugatesAlternative Formats

Shipping Information

$40
Dispatched from St. Louis, MO.
Lead Time: 5-8 business days.
Name
Anti-SOX10 Antibody [rSOX10/1074] - BSA and Azide free
Description
Recombinant mouse monoclonal [rSOX10/1074] antibody to SOX10.
Specificity
SOX genes comprise a family of genes that are related to the mammalian sex-determining gene SRY. These genes similarly contain sequences that encode for the HMG-box domain, which is responsible for the sequence-specific DNA-binding activity. SOX-10 is a sensitive marker of melanoma, including conventional, spindled, and desmoplastic subtypes. It is expressed by metastatic melanomas and nodal capsular nevus in sentinel lymph nodes, but not by other lymph node components such as dendritic cells, which usually express S100 protein. Commonly used melanoma markers, such as anti-HMB-45 and anti-Melan-A, are poorly expressed in desmoplastic melanomas while SOX-10 is moderately to strongly expressed in desmoplastic melanomas. SOX-10 is considered as a very reliable marker for recognizing residual desmoplastic melanomas. In normal tissues, it is expressed in Schwann cells, melanocytes, and myoepithelial cells of salivary, bronchial and mammary glands. SOX-10 expression is also observed in mast cells.
Applications
WB, IHC-P
Dilutions
WB: 2-4 µg/ml, IHC-P: 1-2 µg/ml
Reactivity
Human, Mouse
Immunogen
Recombinant fragment, within amino acids 115-269, of human SOX10 protein. The exact sequence is proprietary.
Host
Mouse
Clonality
Monoclonal
Clone ID
rSOX10/1074
Isotype
IgG1
Light Chains
kappa
Conjugate

Unconjugated

Purification
Protein A/G chromatography.
Concentration
1 mg/ml
Molecular Weight
49-58 kDa
Product Form
Liquid
Formulation
Supplied in 10mM Phosphate Buffered Saline; without Sodium Azide and carrier free.
Storage
Shipped at 4°C. Upon delivery aliquot and store at -20°C. Avoid freeze / thaw cycles.
General Notes
This monoclonal antibody is also available in a different formulation with BSA and Sodium Azide - Anti-SOX10 Antibody [rSOX10/1074] (A250017).
Synonyms
Transcription factor SOX-10
Disclaimer
This product is for research use only. It is not intended for diagnostic or therapeutic use.
Publishing research using Recombinant Anti-SOX10 Antibody [rSOX10/1074] - BSA and Azide free (A253197)? Please let us know so that we can list the citation on this page.

Alternative products to Anti-SOX10 Antibody [rSOX10/1074] - BSA and Azide free (A253197)

Proteins predicted to interact with SOX10

Predicted protein interactions based upon String database. Revelancy score correlates with probability of interaction.
99.7% Relevancy Score
98.6% Relevancy Score
94.1% Relevancy Score
94% Relevancy Score
93.7% Relevancy Score
93.3% Relevancy Score
92.4% Relevancy Score
92.1% Relevancy Score
90.9% Relevancy Score