ISO 9001:2015 Certified
Live Customer Support
4.5/5 on Trustpilot
100% Quality Guarantee

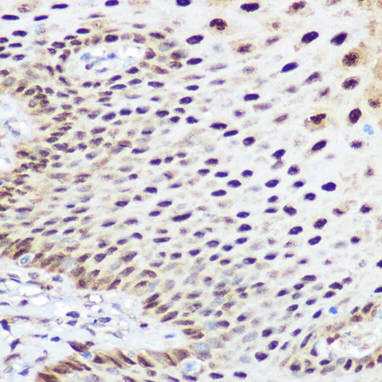
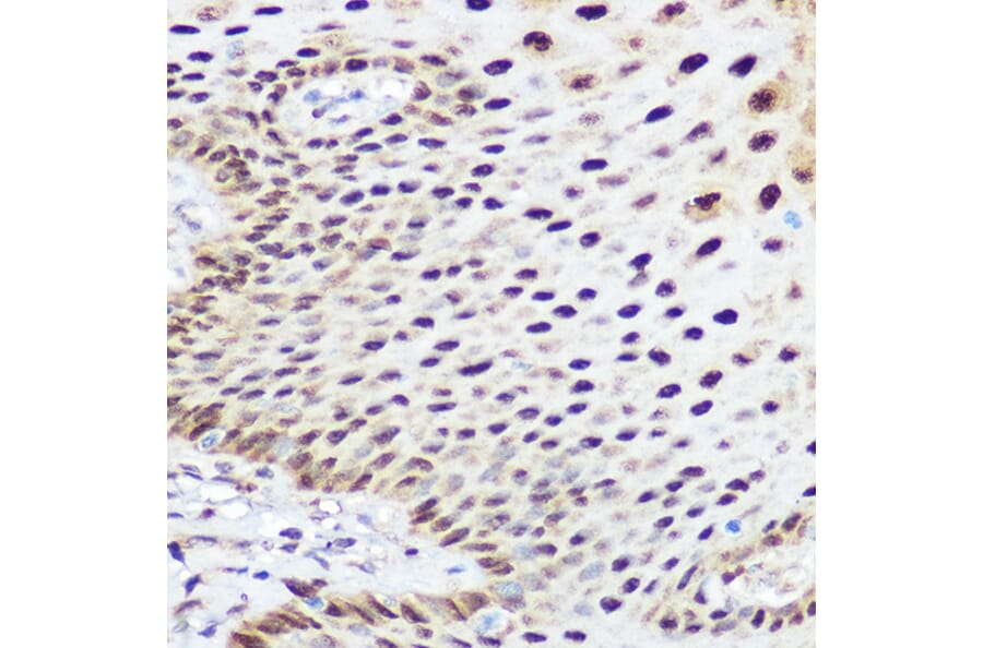
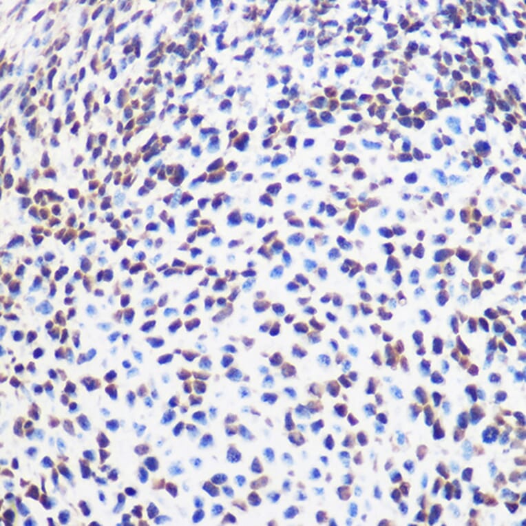
Anti-SOX2 Antibody (A11928)

This product is discontinued

Anti-SOX2 Antibody (A11928) has been discontinued and is no longer available.

View all SOX2 Antibodies.

Name
Anti-SOX2 Antibody
Description
Rabbit polyclonal antibody to SOX2.
Applications
WB, IHC, ICC/IF
Dilutions
WB: 1:500-1:2,000, IHC: 1:50-1:200, ICC/IF: 1:50-1:200
Reactivity
Human, Mouse, Rat
Immunogen
Recombinant fusion protein containing a sequence corresponding to amino acids 1-140 of human SOX2 (NP_003097.1).
Sequence
MYNMMETELKPPGPQQTSGGGGGNSTAAAAGGNQKNSPDRVKRPMNAFMVWSRGQRRKMAQENPKMHNSEISKRLGAEWKLLSETEKRPFIDEAKRLRALHMKEHPDYKYRPRRKTKTLMKKDKYTLPGGLLAPGGNSMA
Host
Rabbit
Clonality
Polyclonal
Isotype
IgG
Conjugate

Unconjugated

Purification
Affinity purification.
Molecular Weight
36 kDa
Product Form
Liquid
Formulation
Supplied in Phosphate Buffered Saline, pH 7.3, with 50% Glycerol and 0.01% Thiomersal.
Storage
Shipped at 4°C. Upon delivery aliquot and store at -20°C. Avoid freeze / thaw cycles.
Synonyms
Transcription factor SOX-2
Disclaimer
This product is for research use only. It is not intended for diagnostic or therapeutic use.

Alternative products to Anti-SOX2 Antibody (A11928)

Proteins predicted to interact with SOX2

Predicted protein interactions based upon String database. Revelancy score correlates with probability of interaction.
99.9% Relevancy Score
99.9% Relevancy Score
99.8% Relevancy Score
99.1% Relevancy Score
98.3% Relevancy Score
98.3% Relevancy Score
97.7% Relevancy Score
97.3% Relevancy Score
96.6% Relevancy Score