Primary Antibodies
Secondary Antibodies
Proteins & Peptides
ELISA Kits
About Us
Contact Us
Sign In/Register
0
ISO 9001:2015 Certified
Live Customer Support
4.5/5 on Trustpilot
100% Quality Guarantee
Home
Primary Antibodies
Serglycin Antibodies
Anti-SRGN Antibody (A36392)
Anti-SRGN Antibody (A36392)
Overview
Specifications
Images
Enlarge Image
Enlarge Image
$430
Rabbit polyclonal antibody to SRGN for WB and IHC.
100% Guarantee
Price Match Guarantee
Product Size:
100µl
Quantity:
1
2
3
4
5
6
7
8
9
10
Add To Cart
Request a Quotation
Custom or Bulk Request
Shipping Information
Freight/Packing Charges:
$40
Dispatched from St. Louis, MO.
Lead Time: 6-9 business days.
Specifications
Name
Anti-SRGN Antibody
Description
Rabbit polyclonal antibody to SRGN
Specificity
The antibody detects endogenous level of total SRGN polyclonal antibody.
Applications
WB
,
IHC
Reactivity
Human
Immunogen
Recombinant human Serglycin protein(28-158aa)
Host
Rabbit
Clonality
Polyclonal
Conjugate
Unconjugated
Purification
Antigen Affinity Purified
Concentration
1.0mg / mL
Formulation
PBS with 0.02% sodium azide, 50% glycerol, pH7.3.
Storage
Store at -20˚C
Synonyms
Hematopoietic proteoglycan core protein, P.PG, Platelet proteoglycan core protein, PRG, PRG1, Secretory granule proteoglycan core protein
Suitable Secondaries
Goat Anti-Rabbit IgG H&L Antibody (AP) (A294874)
Goat Anti-Rabbit IgG H&L Antibody (Biotin) (A294795)
Goat Anti-Rabbit IgG H&L Antibody (FITC) (A294887)
Goat Anti-Rabbit IgG H&L Antibody (HRP) (A294888)
See all Anti-Rabbit IgG Secondaries →
Disclaimer
This product is for research use only. It is not intended for diagnostic or therapeutic use.
Scientific Validation Data
Validation Data
(2)
Enlarge Image
Anti-SRGN Antibody (A36392)
All lanes: Serglycin antibody at 9ug/ml. Lane 1: THP-1 whole cell lysate. Lane 2: HL-60 whole cell lysate. Secondary Goat polyclonal to rabbit at 1/10000 dilution predicted band size: 18kDaobserved band size: 18kDa
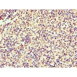
Enlarge Image
Immunohistochemistry - Anti-SRGN Antibody (A36392)
Immunohistochemical analysis of paraffin-embedded human spleen using #42330 at dilution of 1: 100.
Publishing research using Anti-SRGN Antibody (A36392)? Please
let us know
so that we can list the citation on this page.
Alternative products to Anti-SRGN Antibody (A36392)
(2)
A329839
Anti-Serglycin Antibody
Rabbit polyclonal antibody to Serglycin for WB, ICC/IF and ELISA.
A31771
Anti-SRGN Antibody
Rabbit polyclonal antibody to SRGN for WB, IHC and IF.
(2)
A12044
Anti-Serglycin Antibody
Rabbit polyclonal antibody to Serglycin for WB and IHC.
A88831
Anti-Serglycin Antibody
Rabbit polyclonal antibody to Serglycin for WB.
A46975
Anti-SRGN Antibody
Rabbit polyclonal antibody to SRGN for IHC.
(2)
A329839
Anti-Serglycin Antibody
Rabbit polyclonal antibody to Serglycin for WB, ICC/IF and ELISA.
A31771
Anti-SRGN Antibody
Rabbit polyclonal antibody to SRGN for WB, IHC and IF.
(2)
A12044
Anti-Serglycin Antibody
Rabbit polyclonal antibody to Serglycin for WB and IHC.
A88831
Anti-Serglycin Antibody
Rabbit polyclonal antibody to Serglycin for WB.
A46975
Anti-SRGN Antibody
Rabbit polyclonal antibody to SRGN for IHC.
See all SRGN Antibodies
Proteins predicted to interact with Serglycin
Predicted protein interactions based upon String database. Revelancy score correlates with probability of interaction.
CD44 Antibodies
96.6% Relevancy Score
Granzyme B Antibodies
96.4% Relevancy Score
Perforin Antibodies
95.6% Relevancy Score
LAPTM5 Antibodies
77.3% Relevancy Score
CPA3 Antibodies
73.8% Relevancy Score
CPA4 Antibodies
67.8% Relevancy Score
FLAP Antibodies
67% Relevancy Score
HCLS1 Antibodies
66.9% Relevancy Score
IL-1 beta Antibodies
65.7% Relevancy Score
Top