ISO 9001:2015 Certified
Live Customer Support
4.5/5 on Trustpilot
100% Quality Guarantee

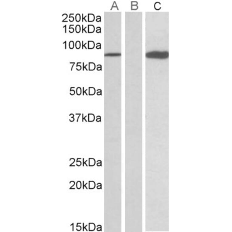
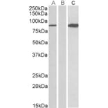
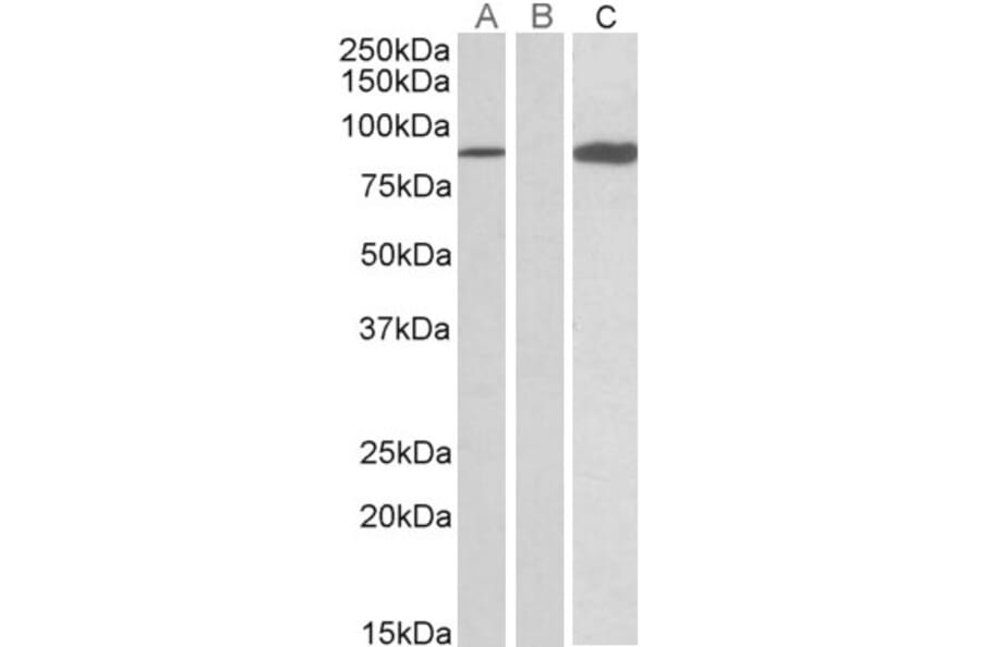
Anti-STAT4 Antibody (A84779)

This product is discontinued

Anti-STAT4 Antibody (A84779) has been discontinued and is no longer available.

View all STAT4 Antibodies.

Name
Anti-STAT4 Antibody
Description
Goat polyclonal antibody to STAT4.
Applications
ELISA, WB
Reactivity
Human
Immunogen
Synthetic peptide corresponding to Human STAT4 (internal region).
Sequence
C-DHSESGEVRFHSVEP
Host
Goat
Clonality
Polyclonal
Isotype
IgG
Conjugate

Unconjugated

Purification
Purified from goat serum by ammonium sulphate precipitation followed by antigen affinity chromatography using the immunizing peptide.
Concentration
100 µg at 500 µg/ml.
Product Form
Liquid
Formulation
Supplied in Tris Buffered Saline, pH 7.30, with 0.02% Sodium Azide and 0.5% BSA.
Storage
Shipped at 4°C. Upon delivery aliquot and store at -20°C. Avoid freeze / thaw cycles.
Synonyms
Signal transducer and activator of transcription 4
Isotype Controls
Disclaimer
This product is for research use only. It is not intended for diagnostic or therapeutic use.

Alternative products to Anti-STAT4 Antibody (A84779)

Proteins predicted to interact with STAT4

Predicted protein interactions based upon String database. Revelancy score correlates with probability of interaction.
99.6% Relevancy Score
99.4% Relevancy Score
99% Relevancy Score
98.8% Relevancy Score
98.1% Relevancy Score
97.7% Relevancy Score
97.7% Relevancy Score
97.3% Relevancy Score
97.3% Relevancy Score