Western blot analysis of extracts of various cell lines, using Anti-STAT5 Antibody (A306449) at 1:1,000 dilution. The secondary antibody was Goat Anti-Rabbit IgG H&L Antibody (HRP) at 1:10,000 dilution. Lysates/proteins were present at 25µg per lane. The blocking buffer used was 3% non-fat dry milk in TBST. Detection was with a ECL Basic Kit. Exposure time: 1s.
Western blot analysis of extracts from wild type (WT) and STAT5B knockout (KO) HeLa cells, using Anti-STAT5 Antibody (A306449) at 1:1,000 dilution. The secondary antibody was Goat Anti-Rabbit IgG H&L Antibody (HRP) at 1:10,000 dilution. Lysates/proteins were present at 25µg per lane. The blocking buffer used was 3% non-fat dry milk in TBST. Detection was with a ECL Basic Kit. Exposure time: 10s.
Immunohistochemistry analysis of paraffin-embedded human colon carcinoma tissue using Anti-STAT5 Antibody (A306449) at a dilution of 1:100 (40x lens). Perform high pressure antigen retrieval with 10 mM citrate buffer pH 6.0 before commencing with IHC staining protocol.
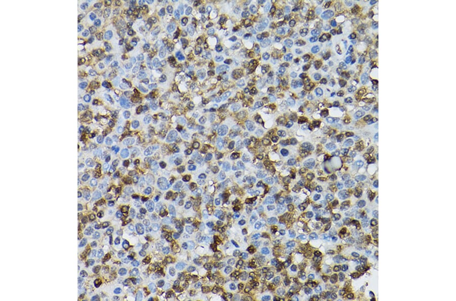
Immunohistochemistry analysis of paraffin-embedded human tonsil using Anti-STAT5 Antibody (A306449) at a dilution of 1:100 (40x lens). Perform high pressure antigen retrieval with 10 mM citrate buffer pH 6.0 before commencing with IHC staining protocol.
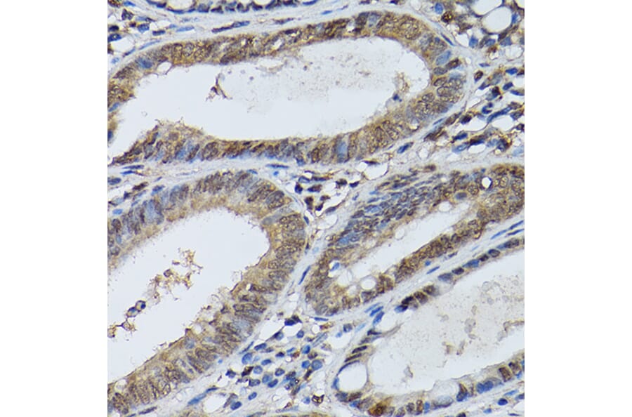
Immunohistochemistry analysis of paraffin-embedded mouse intestin using Anti-STAT5 Antibody (A306449) at a dilution of 1:100 (40x lens). Perform high pressure antigen retrieval with 10 mM citrate buffer pH 6.0 before commencing with IHC staining protocol.
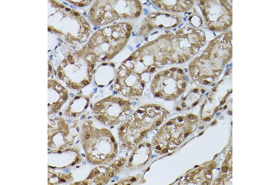
Immunohistochemistry analysis of paraffin-embedded mouse kidney using Anti-STAT5 Antibody (A306449) at a dilution of 1:100 (40x lens). Perform high pressure antigen retrieval with 10 mM citrate buffer pH 6.0 before commencing with IHC staining protocol.
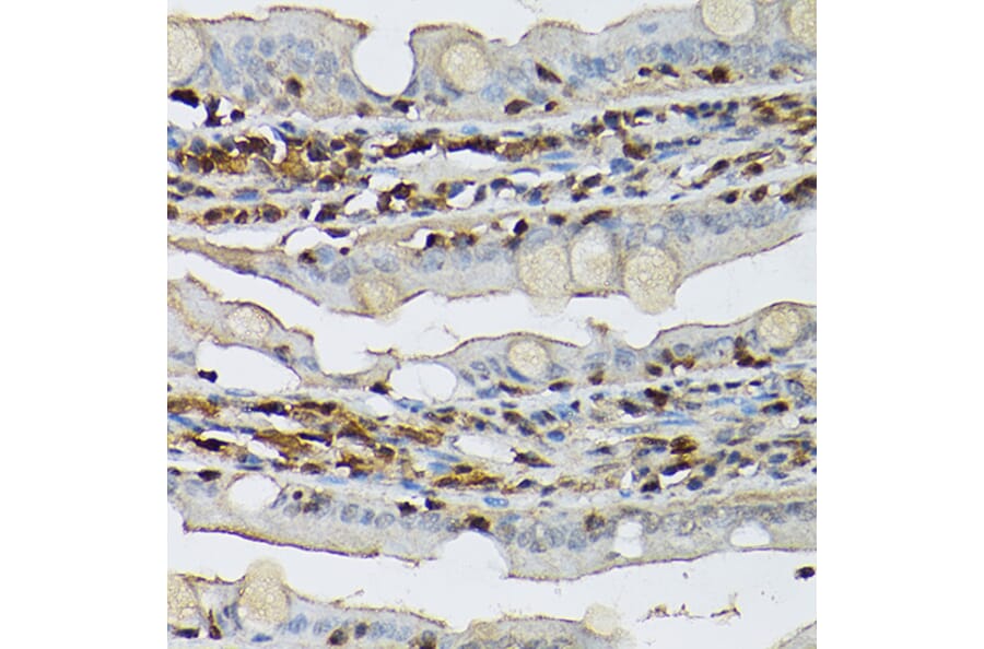
Immunohistochemistry analysis of paraffin-embedded rat intestine using Anti-STAT5 Antibody (A306449) at a dilution of 1:100 (40x lens). Perform high pressure antigen retrieval with 10 mM citrate buffer pH 6.0 before commencing with IHC staining protocol.
Immunofluorescence analysis of NIH/3T3 cells using Anti-STAT5 Antibody (A306449) at a dilution of 1:100 (40x lens). DAPI was used to stain the cell nuclei (blue).
Immunofluorescence analysis of PC-12 cells using Anti-STAT5 Antibody (A306449) at a dilution of 1:100 (40x lens). DAPI was used to stain the cell nuclei (blue).
Immunofluorescence analysis of U2OS cells using Anti-STAT5 Antibody (A306449) at a dilution of 1:100 (40x lens). DAPI was used to stain the cell nuclei (blue).
Immunoprecipitation analysis of 600µg extracts of mouse thymus cells using 3µg of Anti-STAT5 Antibody (A306449). This Western blot was performed on the immunoprecipitate using Anti-STAT5 Antibody (A306449) at a dilution of 1:1000.